Fig. 3: RelA interacts with RNA through a specific sequence.
From: RNA binding of Hfq monomers promotes RelA-mediated hexamerization in a limiting Hfq environment

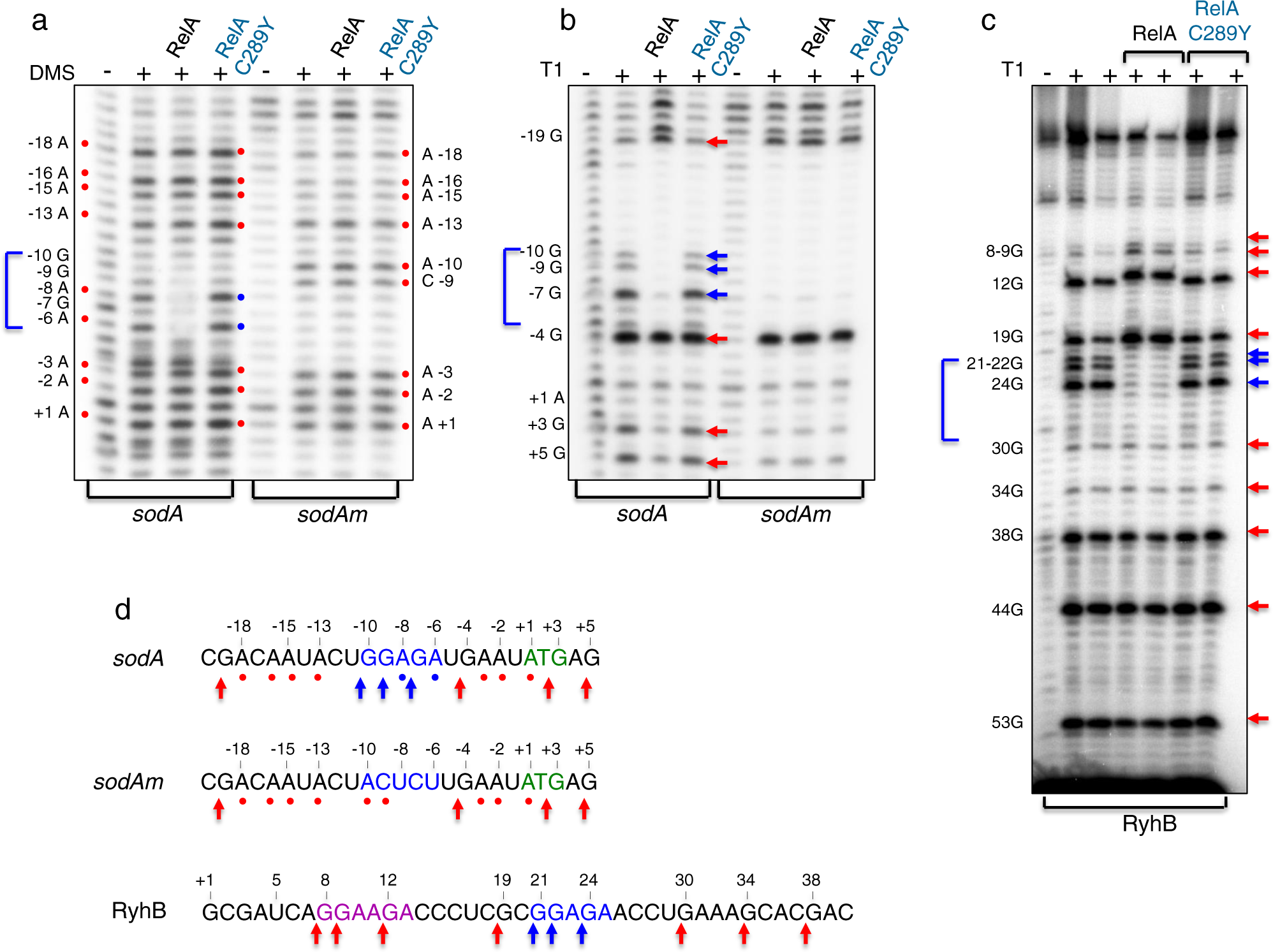
a Footprinting of RelA using DMS modification. Wild type (black) and mutant (blue) RelA proteins (5 pmol) incubated with (0.5 pmol) RNAs (RyhB 90 nt; sodA 98 nt) were exposed to DMS modification (0.3%) for 5 min at 25 °C. sodA carries an intact GGAGA sequence while sodAm carries ACUCU. Reverse transcription of untreated (−) and DMS treated (+) RNA samples. The red circles indicate the positions methylated by DMS. The numbers on the right and left indicate the sequence position relative to the nucleotide A of the start codon of sodA (+1). Wild type RelA protects residues A-8 and A-6 from methylation (blue circles). Nucleotides A-10 and C-9 in sodAm RNA are methylated (red circles) in the presence of either wild type or RelA:C289Y mutant. b, c Footprinting of RelA using RNase T1. RNAs and proteins incubated as in a were treated by RNase T1 (0.1 U) for 5 min at 37 °C (b) or with 0.2 U and 0.4 U (c). Reverse transcription of untreated (−) and RNase T1 treated (+) RNA samples. The numbers on the left indicate the sequence position relative to the nucleotide A of the start codon of sodA (b) and the transcription start site +1 of RyhB (c). The red arrows indicate the positions of the G residues cleaved by RNase T1, while the blue arrows represent the regions of protection. d RelA protects GGAGA sequence of RyhB and sodA. The sequences GGAGA (blue), AUG (green), and variant GGAAGA (purple) are denoted. In sodAm GGAGA was changed to ACUCU. Red circles and arrows indicate strong modification and cleavage sites. Blue circles and arrows indicate the region protected by RelA. The products were analyzed in 6% acrylamide 8 M urea-sequencing gel. Source data with MW labeled marker (pUC18) and sequencing reactions is provided as a source data file.