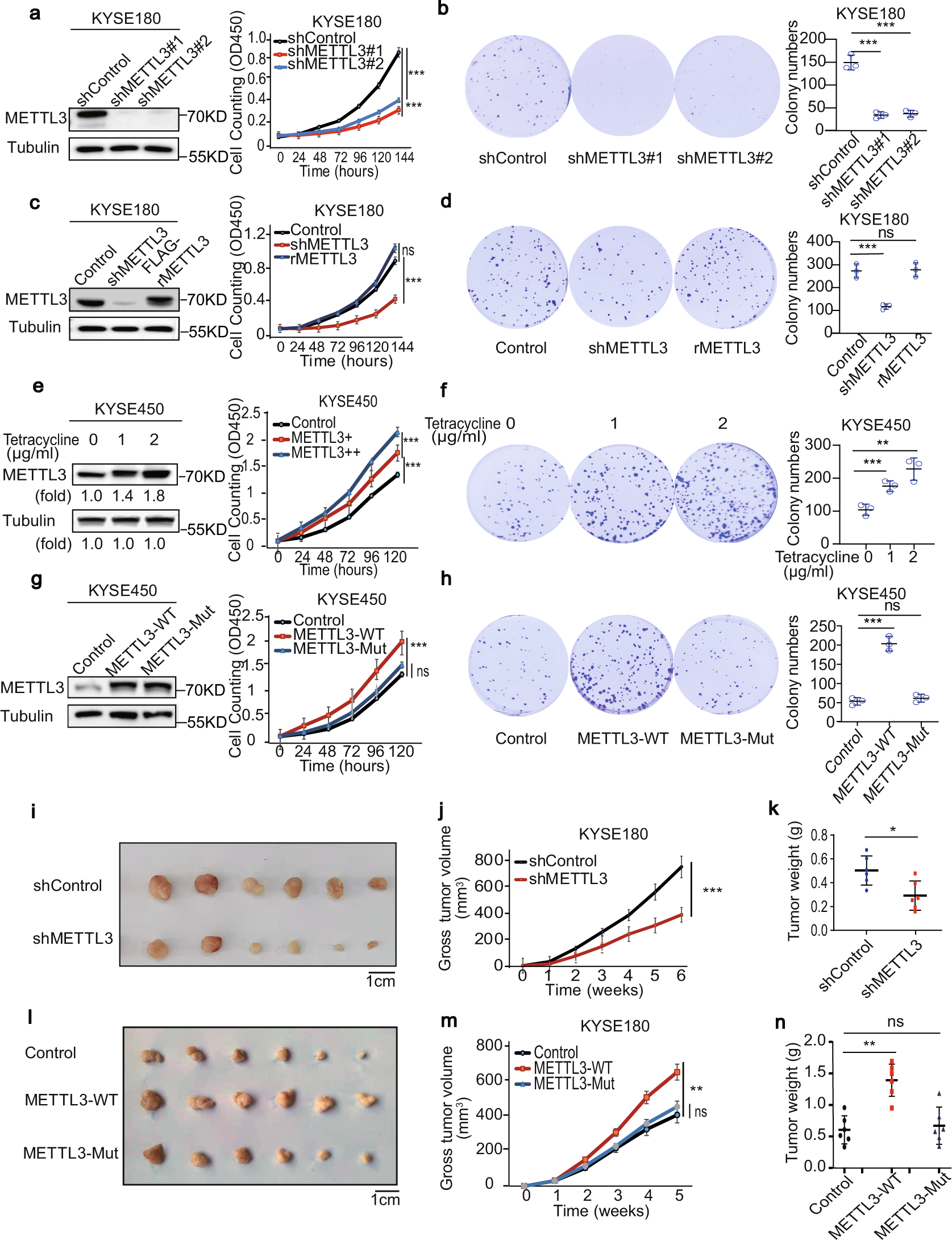
Fig. 2: METTL3 promotes ESCC cell proliferation and tumour growth in mice.

a–d KYSE180 cells with or without METTL3 depletion (a), or with reconstituted expression of an RNAi-resistant (r) METTL3 (c) were analysed by immunoblotting analyses. The cell proliferation (a, c) and colony formation (b, d) assays were performed. Data represent means ± SD of triplicate samples. a ***p = 0.0004 (top), 0.0002 (bottom). b ***p = 0. 0004 (left), 0.0004 (right) (two-tailed t-test). c ***p = 4.72E − 05. d ***p = 0.0007. Two-tailed t-test; ns, not significant. e, f KYSE450 cells expressing the METTL3 expression-inducible Tet-on lentiviral vector were treated with or without the indicated dosages of tetracycline, followed by immunoblotting analyses. The cell proliferation (e) and colony formation (f) assays were performed. Data represent means ± SD of triplicate samples. e ***p = 6.37E − 04 (top), ***p = 9.58E − 04 (bottom). f ***p = 9.24E − 04 (left), **p = 0.0095 (right). Two-tailed t-test. g, h KYSE450 cells with or without expressing WT METTL3 or an inactive METTL3 mutant were analysed by immunoblotting analyses. The cell proliferation (g) and colony formation (h) assays were performed. Data represent means ± SD of triplicate samples. ***p = 0.0004 (g), ***p = 0.0003 (h). Two-tailed t-test; ns, not significant. i–k KYSE180 cells with or without METTL3 depletion were subcutaneously injected into the mice (n = 6). Six weeks later, tumour sizes (i), volumes (j) and weight (k) were measured. Scale bar, 1 cm. Data represent means ± SD of six mice per group. ***p = 2.58E − 06 (j), *p = 0.0138 (k) (two-tailed t-test). l–n KYSE180 cells with or without expressing WT METTL3 or an inactive METTL3 mutant were subcutaneously injected into the mice (n = 6). Five weeks later, tumour sizes (l), volumes (m) and weight (n) were measured. Scale bar, 1 cm. Data represent means ± SD of six mice per group. **p = 0.0015 (m), 0.0013 (n) (two-tailed t-test). ns, not significant. Source data are provided as a Source Data file.