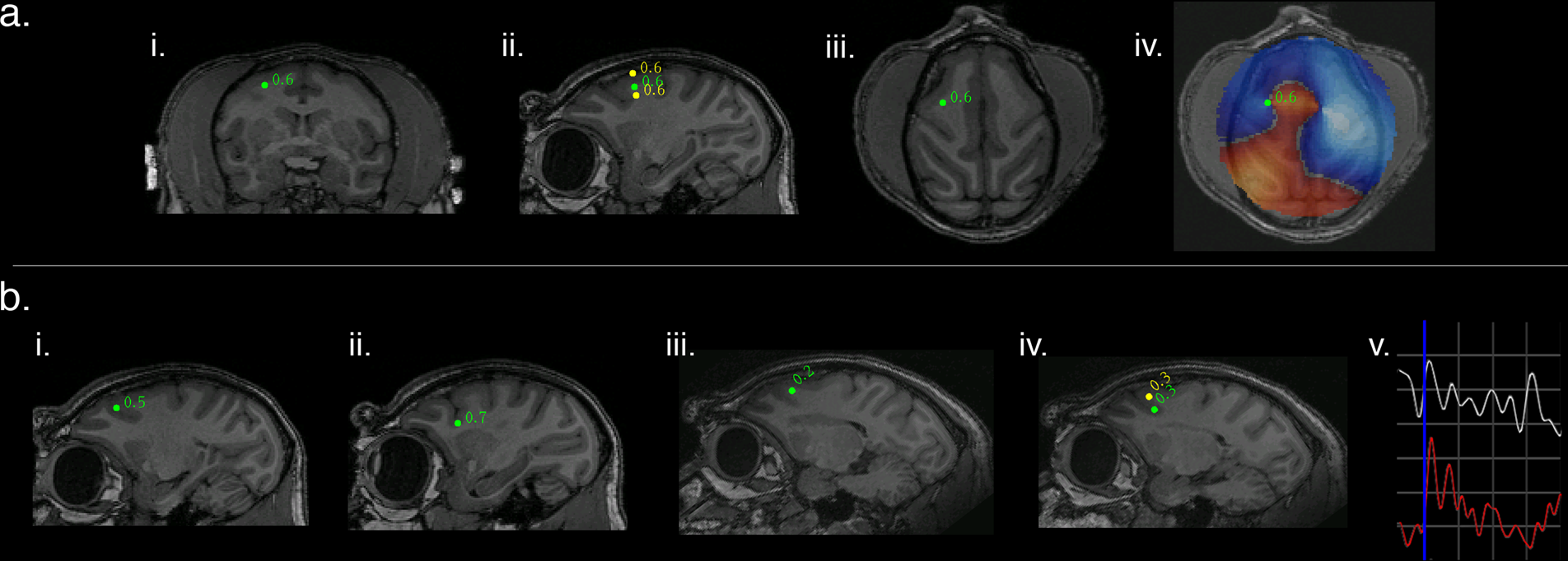
Fig. 2: SAM source localization of optogenetically evoked MEG responses in the right arcuate sulcus in two representative animals and stimulation types.
From: MEG source imaging detects optogenetically-induced activity in cortical and subcortical networks

a An example of optogenetic stimulation localized by dual-state SAM to the posterior bank of right arcuate sulcus for NHP M1 in the coronal (i), sagittal (ii), and axial planes (iii), for a stimulus of 50 ms square light pulses. The whole brain, un-thresholded, dual-state SAM SPM (voxel size of 750 µm3, iv) reveals synchronized activity (red voxels) arising from the stimulation site and surrounded by desynchronization (blue voxels). Green dot and number indicate a peak in the SPM plus the associated pseudo-t value. b Right SAM arcuate peaks for four additional and different optical stimuli in two different NHPs. (bi–ii) present arcuate activations for M1 and (iii-iv) shows arcuate stimulation for M2. (bi–ii) is the same subject (M1) as presented in (ai–iv); (i) depicts the arcuate peak for 8 Hz sine waves, and (ii) shows the arcuate peak for 40 Hz sine waves. Arcuate stimulations in M2 are presented in (iii–iv); (iii) shows the arcuate peak for 10 ms square pulses and (iv) shows the arcuate peak for 20 Hz square wave pulse trains. A single trial (v) of an LFP recorded by the optrode and a simultaneous SAM virtual electrode for an arcuate peak (as seen in biii). Blue vertical line indicates stimulus onset (10 ms pulses). Both the LFP (white) and virtual electrode (red) exhibit a rapid peak following stimulation and have similar features and time courses. One gray square in the graph = 100 ms on the abscissa and for the ordinate, 35 μV for the LFP or 15 nA m for the virtual electrode. All maps follow radiological conventions.