Fig. 5: Noc4l restrained TRIF pathway by inhibiting TLR4 endocytosis.
From: Macrophage deletion of Noc4l triggers endosomal TLR4/TRIF signal and leads to insulin resistance

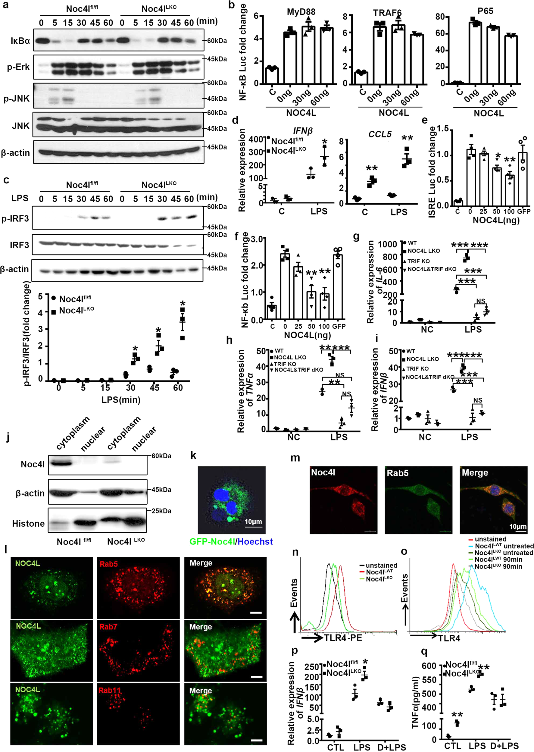
a Protein expression of IκBα, p-Erk, p-JNK, and JNK. Total cell lysates from Noc4lfl/fl and Noc4lLKO BMDMs were extracted at 0, 5, 15, 30, 45, and 60 min after treatment with 100 ng/mL LPS. Data represented two independent experiments. b Luciferase assay of HeLa cells transfected with the NF-κB reporter plasmid and MyD88, TRAF6 or P65 expression plasmid, co-transfected with the increasing amount of NOC4L plasmid (n = 3 biological replicates). Data represented three independent experiments. c Protein expression of IRF3 and p-IRF3 in BMDMs from Noc4lfl/fl and Noc4lLKO mice. Quantification of the phosphorylation of IRF3 (p-IRF3) was shown in the bottom panel. Data represented three independent experiments. Two-tailed Student’s t test. *p = 0.036 (30 min), *p = 0.014 (45 min), *p = 0.042 (60 min). d Relative mRNA expression of IFNβ and CCL5 of BMDMs from Noc4lfl/fl and Noc4lLKO mice incubated with 100 ng/mL LPS for 24 h (n = 3 per group). Two-tailed Student’s t test. *p = 0.0462 (IFNβ); **p = 0.0020 (C- CCL5), **p = 0.0021(LPS- CCL5). e, f Luciferase assay of HeLa cells transfected with the ISRE e and NF-κB f reporter plasmid and TRIF, co-transfected with the increasing amount of NOC4L plasmid or GFP plasmid (negative control) (n = 4 biological replicates). Data represented three independent experiments. Two-tailed Student’s t test. *p = 0.0176 (50 ng), **p = 0.0062 (100 ng) e; **p = 0.0017 (50 ng), **p = 0.0012 (100 ng) f. g–i Relative mRNA expression of IL-6 g, TNFα h, and IFNβ i of BMDMs from Noc4lfl/fl, Noc4lLKO, TRIF KO and Noc4l&TRIF dKO mice incubated with 100 ng/mL LPS for 6 h (n = 3 per group). Statistical analysis was performed with two-way ANOVA. ***p = 0.0002 (Noc4lLKO vs WT), ***p = 0.0003 (TRIF KO vs WT), ***p = 0.0003 (Noc4l&TRIF dKO vs WT) g; **p = 0.0019 (Noc4lLKO vs WT), **p = 0.0020 (TRIF KO vs WT), *p = 0.0432 (Noc4l&TRIF dKO vs WT) h; ***p = 0.0006 (Noc4lLKO vs WT), ***p = 0.0002 (TRIF KO vs WT), ***p = 0.0004 (Noc4l&TRIF dKO vs WT), ***p = 0.0003 i. j Nuclear and cytosolic extracts were prepared from BMDMs of Noc4lfl/fl and Noc4lLKO mice and then analyzed for the expression levels of Noc4l, Histone and β-actin by immunoblot analysis. k Fluorescence analysis of BMDMs transfected with lentivirus of EGFP-Noc4l. l Fluorescence microscopy analysis of HeLa cells co-transfected by EGFP-NOC4L and mCheery-Rab5/7/11. Scale bar, 5 μm. m Immunofluorescence staining for Noc4l (3L7, red), Rab5 (green), and DAPI (blue) in BMDMs. Data are representative of independent three experiments (Fig. 5j−m). n, o Flow cytometry of TLR4 surface staining on PMs n or treated with 100 ng/mL LPS for 0, 90 min o from Noc4lfl/fl and Noc4lLKO mice (n = 3 per group). Gating strategy for flow cytometry was shown in Supplementary Fig. 6b. p Relative expression of IFNβ of BMDMs from Noc4lfl/fl and Noc4lLKO mice pre-treated with dynasore (80 μM) for 1 h and stimulated with LPS (100 ng/ml) for 6 h (n = 3 biological replicates). Two-way ANOVA. *p = 0.0287. q Concentration of TNFα in the supernatant secreted by BMDMs from Noc4lfl/fl and Noc4lLKO mice pre-treated with dynasore (80 μM) for 1 h and stimulated with LPS (100 ng/ml) for 6 h (n = 3 biological replicates). Two-way ANOVA. **p = 0.006 (CTL), **p = 0.002 (LPS). Data represented three independent experiments. All data are presented as mean ± SEM. *p < 0.05, **p < 0.01, ***p < 0.001. Source data are provided as a Source Data file.