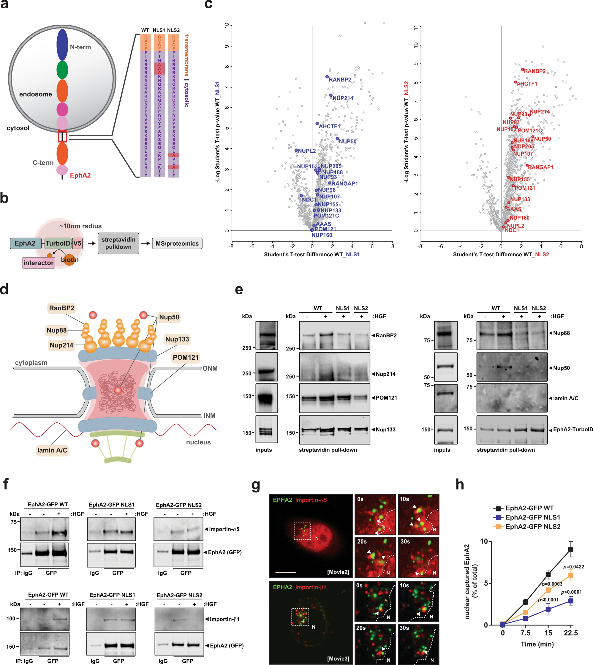
Fig. 3: EphA2 interacts with the nuclear import machinery via a nuclear localization sequence in its cytotail.

a Schematic diagram of the sequence of endosomally localized EphA2, indicating its predicted juxtamembrane NLS sequence and amino acid substitutions deployed to generate NLS1 and NLS2 mutants. b Schematic diagram of the EphA2-TurboID construct and workflow to determine the proximity interactome of EphA2. c H1299 cells stably expressing EphA2-TurboID constructs with wild-type EphA2 (WT) or mutated EphA2 NLSs (NLS1 and NLS2) were incubated with biotin for 1 h. Biotinylated proteins were isolated and analysed using MS-based proteomics (b). Scatter plots display the biotin-labelled protein enrichment (x-axis) commanded by wild-type EphA2 by comparison with EphA2s harbouring mutated NLS sequences (NLS1 and NLS2). Significance scores (−Log Student’s t-test p-value, n = 5 independent experiments) are plotted on the y-axes. Student’s t-test values > −Log 1.4 (<p = 0.05) are significant. Proteins annotated correspond to nuclear pore components that were identified in the proximity interactome. d Schematic diagram of the nuclear pore complex. Annotated proteins correspond to EphA2 proximity interactors confirmed in e. e Cells expressing EphA2-TurboID constructs were incubated with biotin in the presence or absence of HGF for 1 h. Biotinylated target proteins were analysed using western blotting. f Cells expressing the indicated GFP-tagged EphA constructs were incubated in the presence or absence of HGF for 5 min. EphA2-GFPs were immunoprecipitated and the presence of importins -α5 and -β1 was determined using western blotting. Blots are representative of four independent experiments. g Cells expressing EphA2-GFP (green) in combination with mCherry-importin-α5 (upper panels, red) or mCherry-importin-β1 (lower panels, red) were imaged by fluorescence time-lapse microscopy and movies collected (Supplementary Movies 2 and 3). Stills from these movies (selected at 10 s intervals) are displayed in the right panels. Scale bar, 10 μm. h Cells expressing the indicated GFP-tagged EphA2 constructs were treated with HGF for the indicated times and delivery of the tagged EphA2s to the nuclear fraction was determined using capture-ELISA as for Fig. 1d. Values are mean ± SEM, n = 5 independent experiments, statistical test is repeated-measures two-way ANOVA.