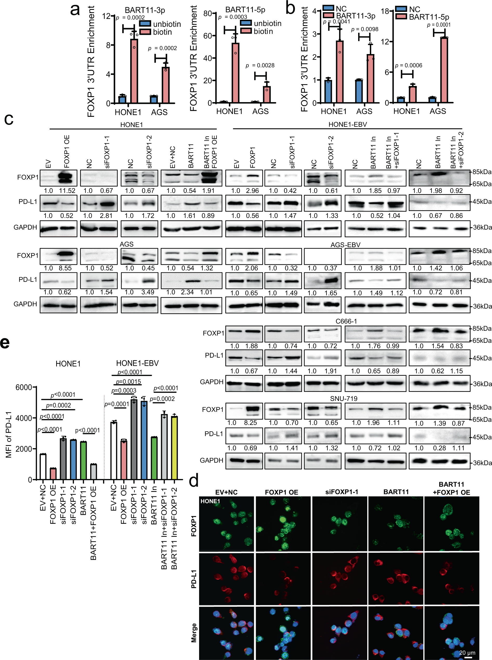
Fig. 3: EBV-miR-BART11 upregulates PD-L1 expression by targeting FOXP1.

a RNA pull-down assays followed by qRT-PCR were performed to examine the binding effect of EBV-miR-BART11-3p or EBV-miR-BART11-5p on the 3′-UTR of FOXP1 in HONE1 and AGS cells transfected with the biotin-labeled or unbiotin-labeled EBV-miR-BART11-3p or EBV-miR-BART11-5p probes. n = 3 biologically independent samples. b After transfection of EBV-miR-BART11-3p, EBV-miR-BART11-5p mimics, or negative control into EBV-negative HONE1 and AGS cells, anti-AGO2 antibody was used for RIP analysis followed by qRT-PCR to identify whether EBV-miR-BART11-3p or EBV-miR-BART11-5p could bind the FOXP1 3′-UTR via AGO2. n = 3 biologically independent samples. c Western blotting was used to examine whether EBV-miR-BART11 could regulate the PD-L1 protein via FOXP1 in HONE1, AGS, HONE1-EBV, AGS-EBV, C666-1, and SNU-719 cells transfected with the FOXP1 overexpression vector, siFOXP1, EBV-miR-BART11 mimics or inhibitors, or co-transfected with EBV-miR-BART11 mimics and the FOXP1 overexpression vector, or EBV-miR-BART11 inhibitors and siFOXP1. GAPDH was used as an internal control. d Immunofluorescence analysis was performed to identify whether EBV-miR-BART11 could regulate PD-L1 via FOXP1 in HONE1 cells transfected with the FOXP1 overexpression vector, siFOXP1, EBV-miR-BART11 mimics, or co-transfected with EBV-miR-BART11 mimics and the FOXP1 overexpression vector. FOXP1: green; PD-L1: red; merge: signal superimposed image of DAPI, FOXP1, and PD-L1; magnification: ×400; scale bars = 20 µm. e Flow cytometry was used to detect PD-L1 expression in HONE1 and HONE1-EBV cells transfected with the FOXP1 overexpression vector, siFOXP1, EBV-miR-BART11 mimics or inhibitors, or co-transfected with EBV-miR-BART11 mimics and the FOXP1 overexpression vector, or EBV-miR-BART11 inhibitors and siFOXP1. Each group was analyzed using three independent replicates, and the mean fluorescence intensity (MFI) of PD-L1 was calculated. The original result is shown in Supplementary Fig. 7d. Data are presented as mean ± s.d., and p-values are calculated by unpaired two-sided t-test in a, b, e. Source data are provided as a Source Data file.