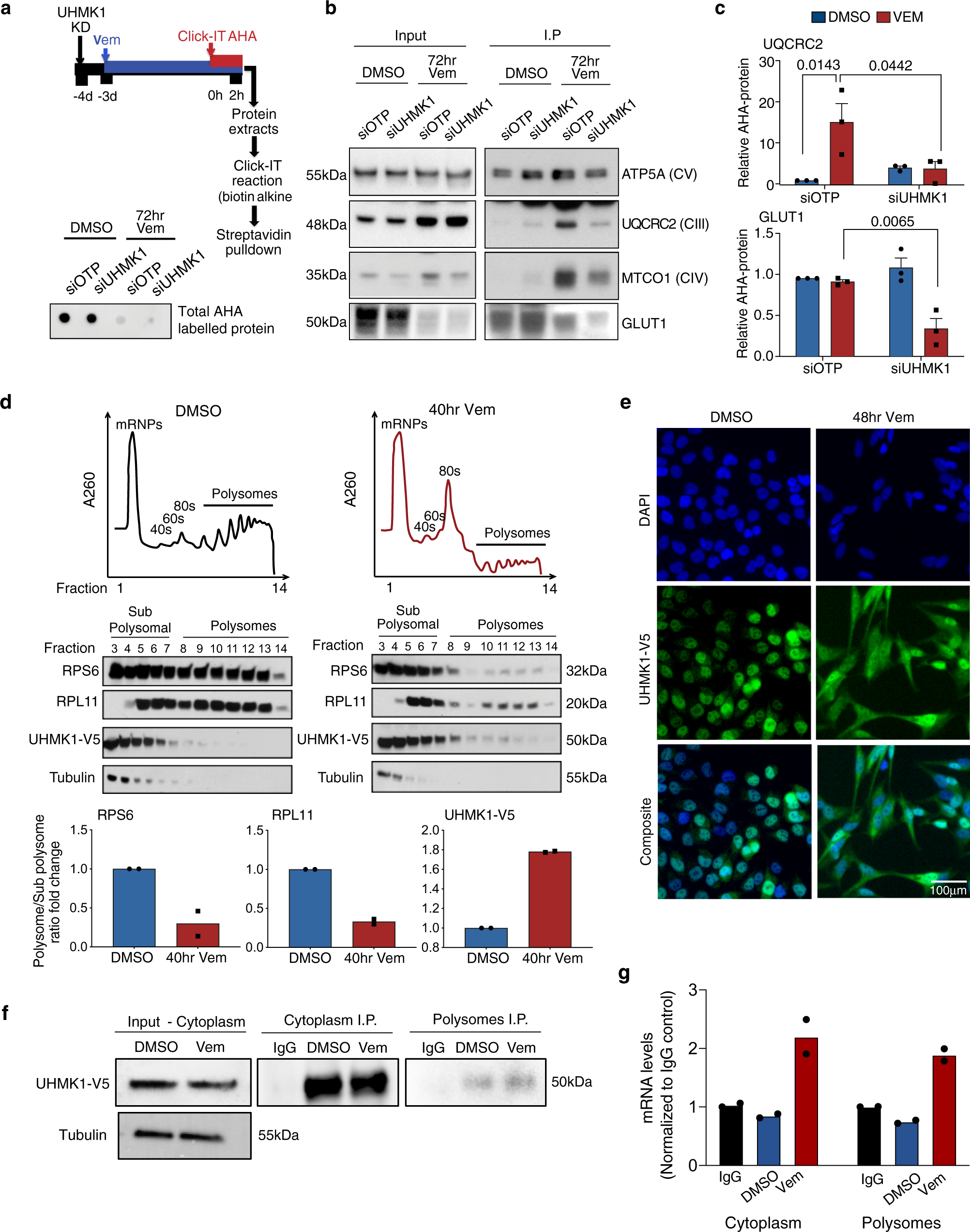
Fig. 6: UHMK1 associates with polysomes and regulates selective translation of mRNA encoding metabolic proteins following BRAFi.

a Schematic depicting the AHA-based de novo protein synthesis assay (top panel) and dot blot (bottom panel) showing total AHA labelled protein obtained from siOTP or siUHMK1 transfected cells following treatment with DMSO or 1 μM Vem for 72 h. Data are representative of n = 3 biologically independent experiments. b Protein lysates from input samples (left panel) and following streptavidin IP (right panel) were assessed using western blot analysis of the indicated proteins. ATP5A does not change with Vem treatment (see Fig. 2) and was used as a loading control. Data are representative of n = 3 biologically independent experiments. c Quantitation of AHA labelled protein shown in (b). Data represent mean ± SEM from n = 3 biologically independent experiments. Statistical significance was determined using a one-way ANOVA. d UHMK1-V5 expressing A375 cells were treated with DMSO or Vem for the indicated time, prior to polysome profiling. Representative profiles of n = 2 biologically independent experiments are shown (top panel). Proteins were precipitated from the sucrose fractions and the indicated proteins were analysed using western blotting (middle panel). Protein levels in sub polysome (fractions 3–8) vs polysome (fractions 9–14) fractions were calculated using densitometry, and sub polysome to polysome ratios were calculated (bottom panel). Data are representative of n = 2 biologically independent experiments. e UHMK1 localization was assessed using high content image analysis of UHMK1-V5 expressing A375 cells treated with DMSO or 1 μM Vem for the indicated time. Data are representative of n = 3 biologically independent experiments. f–g UHMK1-V5 expressing A375 cells were treated with DMSO or Vem for the indicated time, prior to polysome profiling as in (d). UHMK1-V5 protein was immunoprecipitated (IP) from the cytoplasm fraction (input) and polysome fractions (fractions 9–14 fractions) and samples were analysed using western blotting for the indicated proteins (f). Data are representative of n = 2 biologically independent experiments. The indicated mRNA transcripts were then analysed using RT-qPCR (g). Data represent mean of n = 2 biologically independent experiments. Source data are provided as a Source Data file.