Fig. 3: Activation of FAO and CD47 with anti-phagocytosis in RR GBM cells and regrown tumors.
From: Fatty acid oxidation fuels glioblastoma radioresistance with CD47-mediated immune evasion

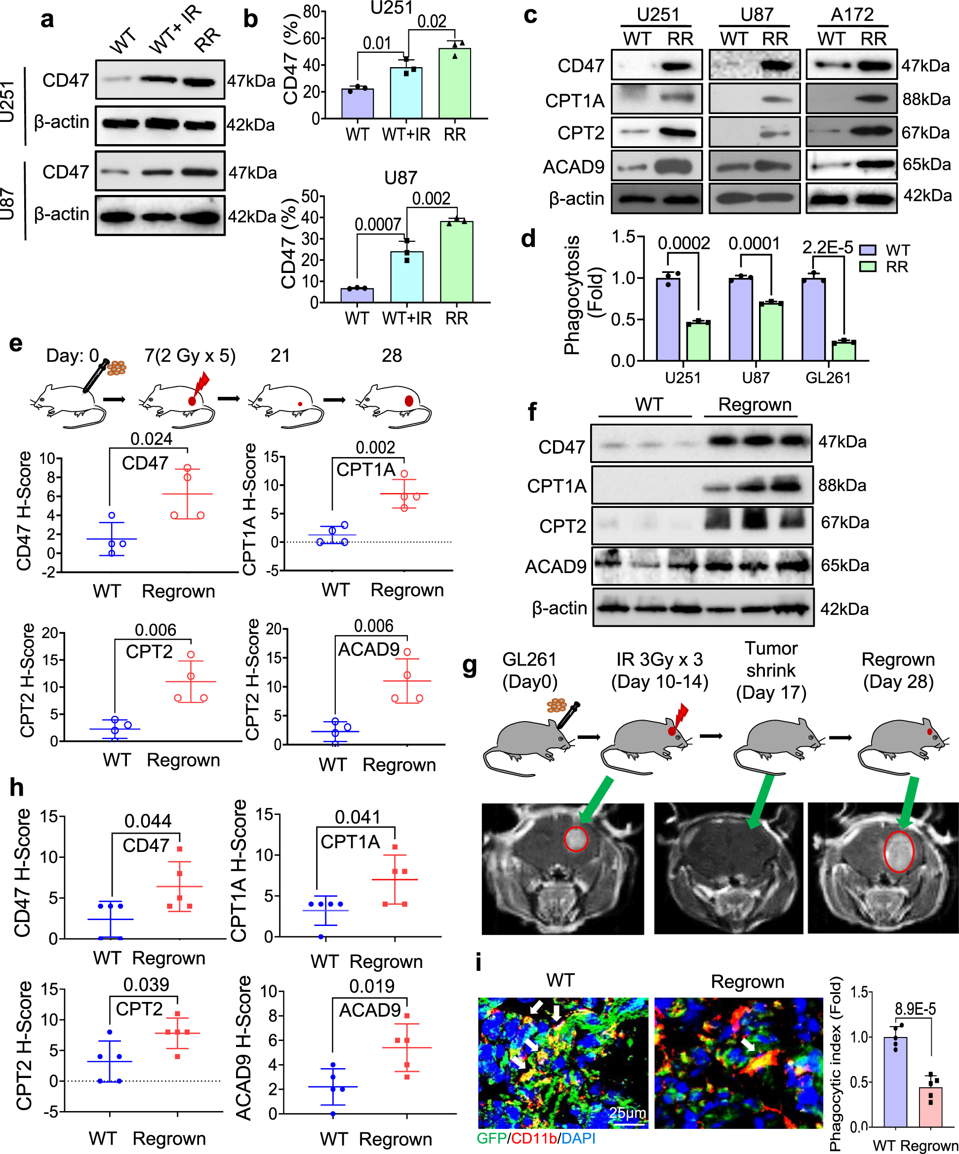
a Western blot of CD47 expression in WT, irradiated (5 Gy, 16 h) WT and RR GBM cells. (n = 3 experiments). b Increased CD47-expressing cell populations in a measured by flow cytometry (n = 3; ANOVA one-way test). c Western blot of CD47, CPT1A, CPT2, and ACAD9 in WT and RR GBM cells (U251, U87, and A172) (n = 3). d Macrophage phagocytosis of WT and RR GBM cells (U251, U87, and GL261) detected by flow cytometry (n = 3; unpaired two-tailed t-test). e Schematic for generating U251 xenograft tumors in nude mice with tumor radiation and IHC scoring for detecting the expression of CD47 (P = 0.02), CPT1A (P = 0.002), CPT2 (P = 0.006), and ACAD9 (P = 0.04) in untreated or regrown human GBM U251 tumors (n = 4; unpaired two-tailed t-test; *P < 0.05, **P < 0.01). f Enhanced expression of CD47 and CPT1A, CPT2, ACAD9 in three regrown U251 tumors after in vivo radiotherapy compared to three sham-irradiated control U251 tumors (n = 3 experiments). g Treatment protocol (upper panel) and MRI images (lower panel) of syngeneic mouse orthotopic GL261 tumors generated with inoculation of 2.5 × 105 GL261 cells double-labeled with Luc and GFP with in vivo radiotherapy of 3 Gy delivered daily for 3 days (total tumor radiation dose = 9 Gy). Representative images of regrown tumors at indicated time points were visualized by MRI. h IHC score of CD47 (P = 0.044) and CPT1A (P = 0.041), CPT2 (P = 0.039), and ACAD9 (P = 0.019) in regrown tumors (Day 28) compared to sham-irradiated controls (n = 5). An unpaired two-tailed t-test was applied. *P < 0.05. i Reduction of infiltrated macrophages and macrophage-mediated phagocytosis (indicated by arrows) in regrown tumors compared to WT tumors (green, tumor cells; red, infiltrated macrophages; quantitation of phagocytosis shown in the right; n = 5,). Significance was analyzed by a two-tailed t-test. Results represent means ± SD. Source data are provided as a Source Data file.