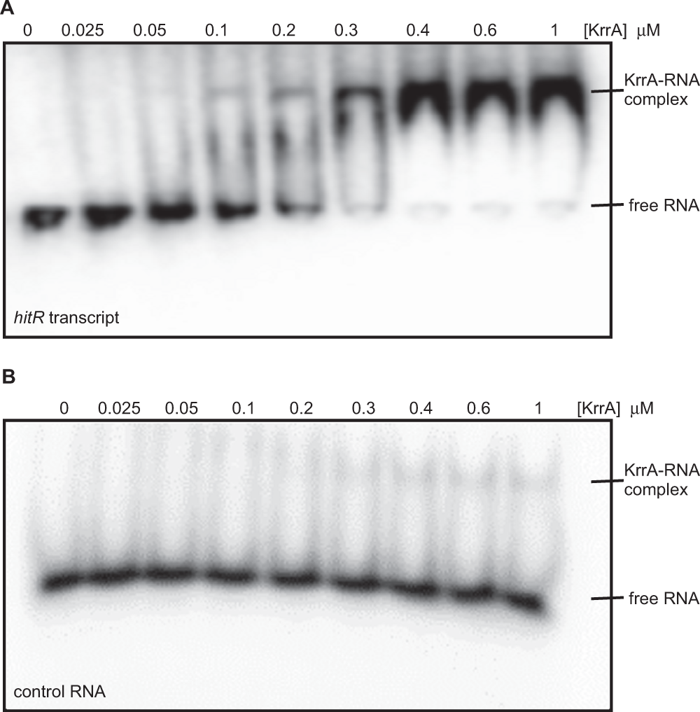
Fig. 4: KrrA binds to hitR transcript in vitro.
From: An RNA-binding protein acts as a major post-transcriptional modulator in Bacillus anthracis

A, B To examine whether KrrA binds to hitR transcript in vitro, an electrophoretic mobility gel shift assay was carried out using in vitro-transcribed and radioactively labeled hitR transcript (A) and control RNA (B) in the presence of increasing concentration of KrrA protein as indicated. The experiments were conducted at least three times and representative images are shown.