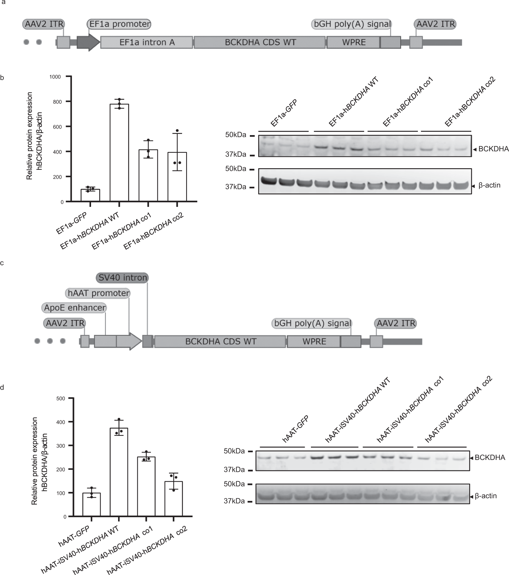
Fig. 2: Schematic representation of vector expression cassettes used in the study.
From: Neonatal gene therapy achieves sustained disease rescue of maple syrup urine disease in mice

a AAV8-EF1α-hBCKDHA vector genome consisting of an expression cassette including a ubiquitous human elongation factor 1-alpha promoter (hEF1a) with an extra intronic sequence, the hBCKDHA coding sequence, a WPRE sequence, and a polyadenylation signal (bGH poly(A)), flanked by AAV2 ITRs. b Western blot analyses of human BCKDHA in Huh7 cells transfected with EF1α GFP, EF1α hBCKDHA WT, EF1α hBCKDHA co1 (codon-optimized sequence 1) and EF1α hBCKDHA co2 (codon-optimized sequence 2) (n = 3 biological replicates for each condition). c AAV8-hAAT-hBCKDHA vector genome consisting of an expression cassette including hepatocyte-specific hAAT promoter composed of the ApoE enhancer and the human alpha 1 antitrypsin promoter (hAAT), a SV40 intronic sequence, the hBCKDHA coding sequence, a WPRE sequence and a polyadenylation signal (bGH poly(A)), flanked by AAV2 ITRs. d Western blot analyses of human BCKDHA in Huh7 cells transfected with hAAT GFP, hAAT iSV40 hBCKDHA WT, hAAT iSV40 hBCKDHA co1 (codon-optimized sequence 1), and hAAT iSV40 hBCKDHA co2 (codon-optimized sequence 2), the three of them carrying the SV40 intron (n = 3 biological replicates for each condition). All data are shown as means ± SD. Source data are provided as a Source data file.