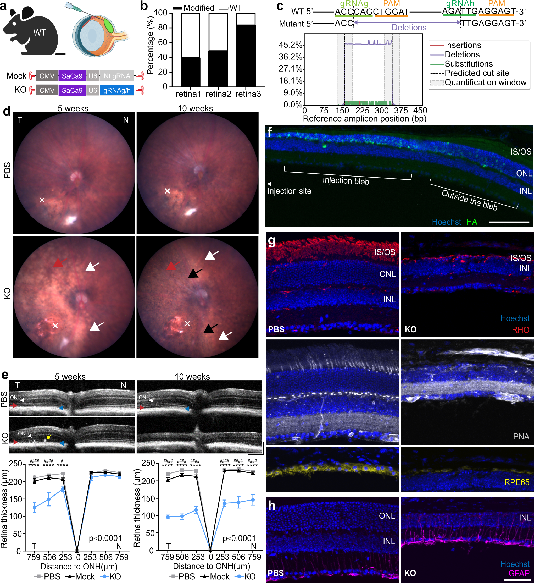
Fig. 2: Subretinal injection of two Prpf31-KO vectors results in severe structural changes in outer retina.

a Illustration of the experimental approach. AAV 7m8-CMV-SaCas9-U6-gRNAg/h (1.5 µl, 1.01E + 12 vg/ml, gRNAg:gRNAh = 1:1) was subretinally injected to WT mice. PBS or mock vector 7m8-CMV-SaCas9-Nt gRNA (1.5 µl, 4.39 + E12 vg/ml) was injected to control eyes. b Deep sequencing of genomic DNA from the injected area of the KO retina 5 weeks (p.i.) revealed 57.29 ± 23.24% editing of Prpf31 at the gRNAg/h target region (n = 3). c Mutations in edited Prpf31. The main editing event identified was a ~184 bp deletion between the predicted cut sites of the two gRNAs. d Fundus images. Injections were made at the temporal retina (×). At 5 weeks (p.i.), temporal retina of KO eyes showed retina pallor (white arrows). At 10 weeks (p.i.), the area of pallor expanded, and punctate black pigmentation (black arrows) and attenuated retinal blood vessels (red arrows) were observed in the injected area. (PBS n = 20, Mock n = 15, KO n = 37) e OCT of retina and quantification of total retina thickness (neural retina and RPE) (n = 6). White arrows, ONL; red arrows, IS/OS junction; blue arrows, RPE layer; yellow arrows, migrating RPE. ONH, optic nerve head; T, temporal; N, nasal. Scale bar vertical, 100 µm; Scale bar horizontal, 200 µm. f The expression pattern of HA-tagged Cas9/gRNA vector in the temporal retina of the KO eyes. Scale bar, 100 μm. g, h Retinal cross sections. KO retinas were lacking ONL and lost markers of rods (RHO in red), cones (PNA in grey) and RPE (RPE65 in yellow). GFAP (magenta) was upregulated in the KO retina. Scale bar, 50 μm. IS/OS = Inner segments/outer segments; ONL = outer nuclear layer; INL = inner nuclear layer. Data are shown as mean ± SEM. For retinal thickness, significance of the overall treatment factor was calculated by two-way ANOVA and shown as a P value in each plot. The significance of the treatment factor at each distance from the ONH was calculated by Sidak multiple comparisons test and marked as *P <. 05; **P <. 01; ***P <. 001; ****P <. 0001. Source data are provided as a Source Data file.