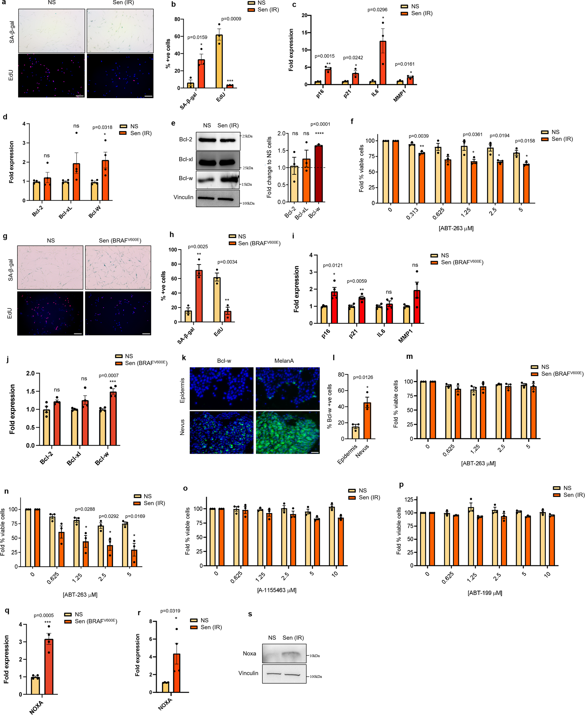
Fig. 1: Senescent melanocytes are resistant to BH3 mimetics despite upregulation of BCL-w and NOXA.
From: Targeting anti-apoptotic pathways eliminates senescent melanocytes and leads to nevi regression

a SA-β-gal/EdU images and b quantification of non-irradiated (NS) and irradiated senescent (Sen IR) melanocytes. Scale bar = 100 μM. c mRNA analysis of p16, p21, IL6, and MMP1. Expression was normalized using Cq values of tubulin. d mRNA expression of Bcl-2, Bcl-xL, and Bcl-w from irradiated melanocytes. Expression was normalized using Cq values of tubulin. e Protein expression and densitometry analysis of BCL-2, Bcl-xl, and Bcl-w from irradiated melanocytes. Vinculin was used as a housekeeping protein and expression was normalized to protein levels in non-irradiated non-senescent cells. f Viability of non-irradiated and irradiated melanocytes treated with indicated concentrations of ABT-263 for 24 h. g SA-β-gal/EdU images and h quantification of puromycin vector transduced (NS) and BRAFV600E vector transduced senescent (Sen BRAFV600E) melanocytes. Scale bar = 100 μM. i mRNA analysis of p16, p21, IL6, and MMP1. Expression was normalized using Cq values of tubulin. j mRNA expression of Bcl-2, Bcl-xL, and Bcl-w from irradiated melanocytes. Expression was normalized using Cq values of tubulin. k Immunofluorescence and l quantification of Bcl-w positive cells in human nevi. Melan-a was used to confirm the identification of melanocytes or nevus cells. Scale bar = 25 μM. m Viability of non-senescent and BRAFV600E transduced melanocytes treated with indicated concentrations of ABT-263 for 24 h. n Viability of non-irradiated and irradiated IMR-90 fibroblasts treated with indicated concentrations of ABT-263 for 24 h. Viability of non-irradiated and irradiated melanocytes treated with indicated concentrations of o A-1155463 or p ABT-199 for 24 h. mRNA analysis of NOXA in q BRAFV600E transduced and r irradiated melanocytes. Expression was normalized using Cq values of tubulin. s Protein expression of NOXA from irradiated melanocytes. Vinculin was used as a housekeeping protein. For all panels, n = 3 independent experiments except d, i, j, and q where n = 4 independent experiments, and s where results are representative of n = 2 independent experiments. Significance was calculated with a two-tailed student’s t test. Error bars = S.E.M. *p < 0.05, **p < 0.01 ***p < 0.001, ns = not significant.