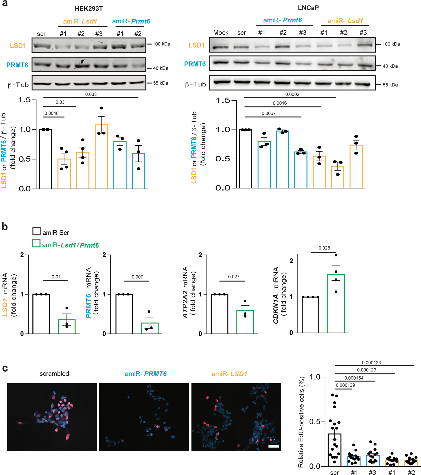
Fig. 9: Silencing of human LSD1 and PRMT6 modifies gene expression and prostate cancer cell proliferation.

a Western blots of LSD1 and PRMT6 in HEK293T and LNCaP cells transfected with vectors expressing scramble amiR or amiR-LSD1 and amiR-PRMT6. Shown is one representative experiment. HEK293T cells: n = 4 biological replicates for scramble, amiR-LSD1#1 and amiR-LSD1#2; n = 3 biological replicates for amiR-PRMT6#1 and amiR-PRMT6#2. LNCaP cells: n = 3 biological replicates for all the conditions. Quantification of the levels of LSD1 (yellow) and PRMT6 (blue) is shown at the bottom. b RT-PCR analysis of the indicated genes in HEK293T transfected with vectors expressing scramble amiR or amiR-LSD1#1 and amiR-PRMT6#3 (n = 3 biological replicates). c EdU cell proliferation assay performed in LNCaP cells transduced with lentiviral vectors expressing scramble amiR or amiR-LSD1 and amiR-PRMT6 (n = 19 fields scr, n = 15 fields for amiRs from three independent experiments). Nuclei were detected with Hoechst® 33342. Scale bar = 53 μm. Graphs show mean ± SEM; one-way ANOVA followed by Tukey HSD tests (a, c), and two-tailed Student t-test (b). Source data are provided as a Source data file.