Correction to: Nature Communications https://doi.org/10.1038/s41467-021-26967-5, published online 18 November 2021
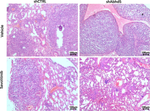
This Article contains an error in Figure 2j. A higher magnification of the shCTRL (Savolitinib) panel was inserted by mistake in the panel shCTRL (Vehicle).
The correct version of figure 2j is shown below.

This error has been corrected in the PDF or HTML versions of the Article.
Author information
Authors and Affiliations
Corresponding authors
Rights and permissions
Open Access This article is licensed under a Creative Commons Attribution 4.0 International License, which permits use, sharing, adaptation, distribution and reproduction in any medium or format, as long as you give appropriate credit to the original author(s) and the source, provide a link to the Creative Commons license, and indicate if changes were made. The images or other third party material in this article are included in the article’s Creative Commons license, unless indicated otherwise in a credit line to the material. If material is not included in the article’s Creative Commons license and your intended use is not permitted by statutory regulation or exceeds the permitted use, you will need to obtain permission directly from the copyright holder. To view a copy of this license, visit http://creativecommons.org/licenses/by/4.0/.
About this article
Cite this article
Gu, Y., Chen, Y., Wei, L. et al. Author Correction: ABHD5 inhibits YAP-induced c-Met overexpression and colon cancer cell stemness via suppressing YAP methylation. Nat Commun 14, 1875 (2023). https://doi.org/10.1038/s41467-023-37521-w
Published:
Version of record:
DOI: https://doi.org/10.1038/s41467-023-37521-w