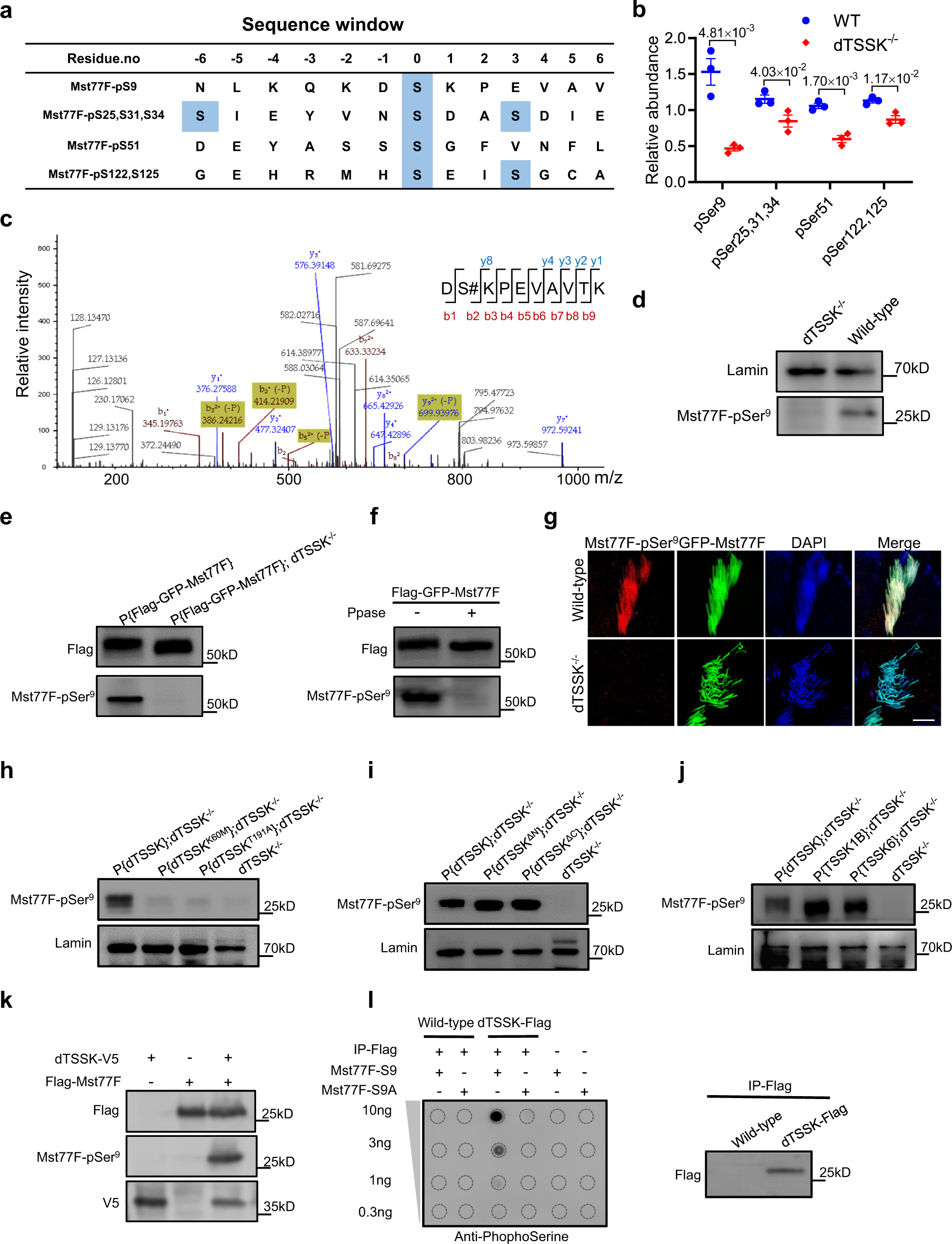
Fig. 6: Validation of Mst77F as a substrate of dTSSK in vitro and in vivo.

a Four phosphopeptides of Mst77F protein identified by phosphoproteomic analysis. The identified phosphorylated serine residues are marked in blue. b Plots showing differences in the relative abundance of these four phosphopeptides of Mst77F between wild-type (w1118) and dTSSK−/− flies (n = 3 per group). Data are mean ± SEM. Statistical analyses were performed by two-sided Student’s t test. c Detection of specific y (blue) and b (red) fragment ions allowed identification of the peptide sequence DSKPEVAVTK and assignment of the phosphorylation site to Mst77F-Ser9. Specifically, the presence of the y(8) fragment ion confirms the phosphorylation site at Ser9 of Mst77F. d WB analysis of testicular extracts of adult wild-type (w1118) and dTSSK−/− flies using an anti-Mst77F-pSer9 antibody to detect Mst77F phosphorylation. Lamin was used as a loading control. e WB analysis of testicular extracts expressing Flag-GFP-Mst77F protein in the wild-type (w1118) and dTSSK−/− background using anti-Flag and anti-Mst77F-pSer9 antibodies. The band size of the phosphorylated Flag-GFP-Mst77F fusion protein detected in the wild-type background is consistent with its predicted molecular weight of 50 kD. f WB analysis showing there is no detectable phosphorylation of the Flag-GFP-Mst77F fusion protein in the wild-type background after Ppase treatment. g IF showing phosphorylated Mst77F-Ser9 (red) in 64-cell spermatid nuclei in wild-type flies and no detectable phosphorylation in dTSSK−/− flies. Mst77F was marked with GFP. Nuclei were stained with DAPI. Scale bar, 10 μm. h–j WB analysis of testicular extracts of indicated flies. An anti-Mst77F-pSer9 antibody was used to detect Mst77F phosphorylation. Lamin was used as a loading control. k WB analysis of extracts of the indicated transfected Drosophila S2 cells. Mst77F phosphorylation is only detected in cells cotransfected with dTSSK and Mst77F. l dTSSK-mediated Mst77F-Ser9 phosphorylation detected by an in vitro kinase assay followed by dot blotting. Peptides corresponding to Mst77F-Ser9 are phosphorylated by purified dTSSK-Flag and detected using a commercial antiphosphoserine antibody (left panel). Detection of Flag fusion proteins shows the successful purification of dTSSK-Flag (right panel). Source data are provided as Source Data file.