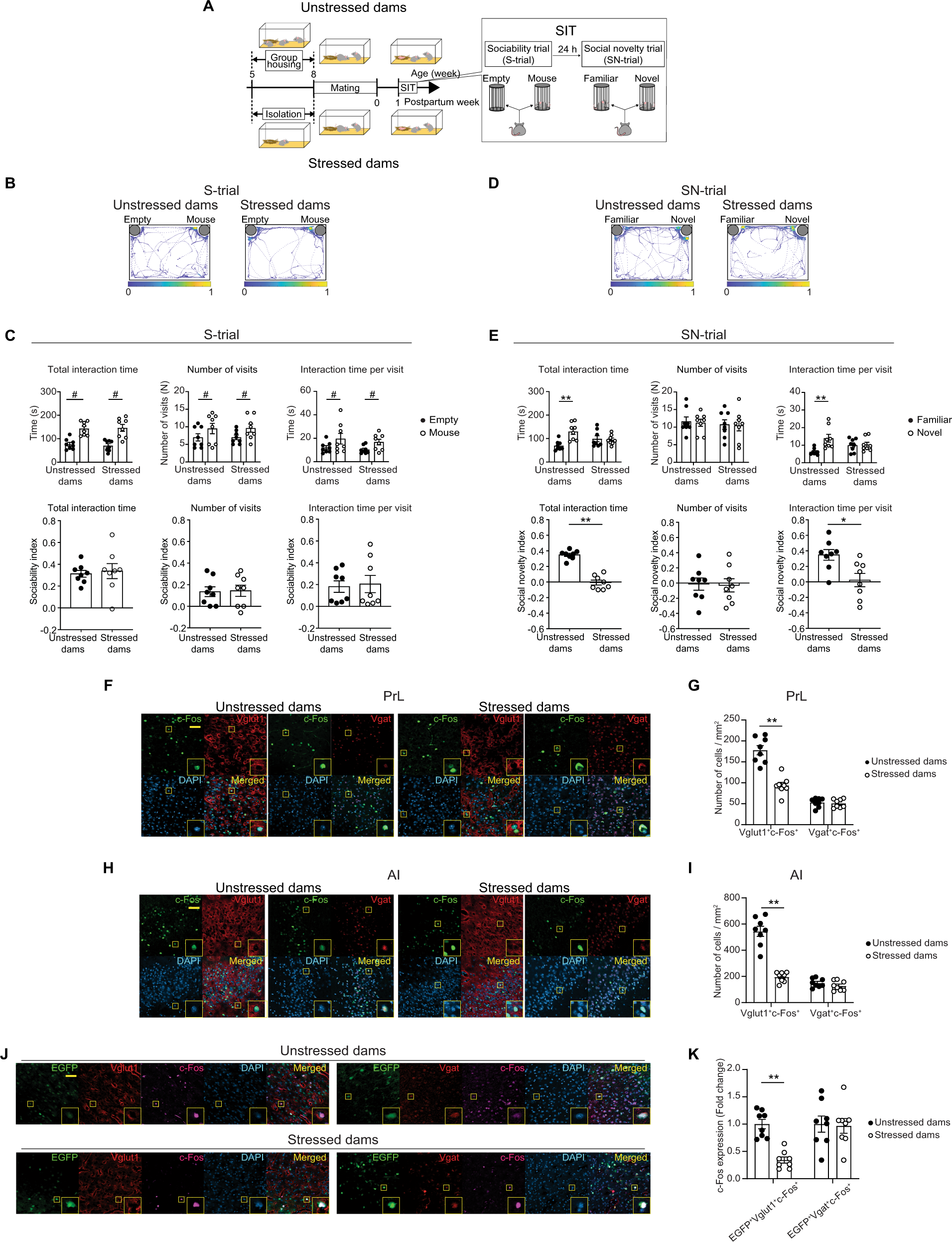
Fig. 1: Social isolation in late adolescence (SILA) induced postpartum behavioral changes in social novelty (SN)-trial and reduced neural activity in the anterior insula (AI) and prelimbic cortex (PrL).
From: Adolescent stress impairs postpartum social behavior via anterior insula-prelimbic pathway in mice

A Experimental design for social interaction test (SIT) experiments. B Representative heatmaps of the mouse track during sociability (S)-trials. C Unstressed and stressed dams showed sociability toward a mouse in the S-trials (two-way mixed ANOVA). N = 8 mice. D Representative heatmaps of the mouse track during the SN-trials. E Stressed dams did not show a novel mouse preference in the SN-trials, compared to unstressed dams (two-way mixed ANOVA). Social preference indexes for S- and SN-trials were shown in Fig. 1C, E (Student’s t-test, Cohen’s D = 4.766 for total interaction time in the SN-trial, and Cohen’s D = 1.478 for interaction time per visit in the SN-trial). N = 8 mice. F Representative images of c-Fos+ (green), Vglut1+ or Vgat+ (red), DAPI (blue), and colocalized cells in PrL of unstressed or stressed dams. Scale bar, 50 µm. G Stressed dams showed a decreased number of Vglut1+c-Fos+ cells, but not Vgat+c-Fos+, in PrL after the SN-trial (two-way mixed ANOVA). N = 8 mice. H Representative images of c-Fos+ (green), Vglut1+ or Vgat+ (red), DAPI (blue), and colocalized cells in AI of unstressed or stressed dams. Scale bar, 50 µm. I Stressed dams showed a decreased number of Vglut1+c-Fos+ cells, but not Vgat+c-Fos+, in AI after the SN-trials (two-way mixed ANOVA). N = 8 mice. J Representative images of EGFP+ (green), c-Fos+ (far red), Vglut1+ or Vgat+ (red), DAPI (blue), and colocalized cells in AI of unstressed or stressed dams injected with AAV-retro-hSyn-EGFP into PrL. Scale bar, 50 µm. K Stressed dams showed a decreased number of EGFP+Vglut1+c-Fos+ cells, but not EGFP+Vgat+c-Fos+, in AI after the SN-trial. Scale bar, 50 µm. (two-way mixed ANOVA). N = 8 mice. All data were represented as mean ± SEM. * = post hoc Bonferroni, p < 0.05. ** = post hoc Bonferroni, p < 0.01. # = ANOVA main effect for the brain region, p < 0.05. See Supplemental Table 3 for details on the statistical analyses.