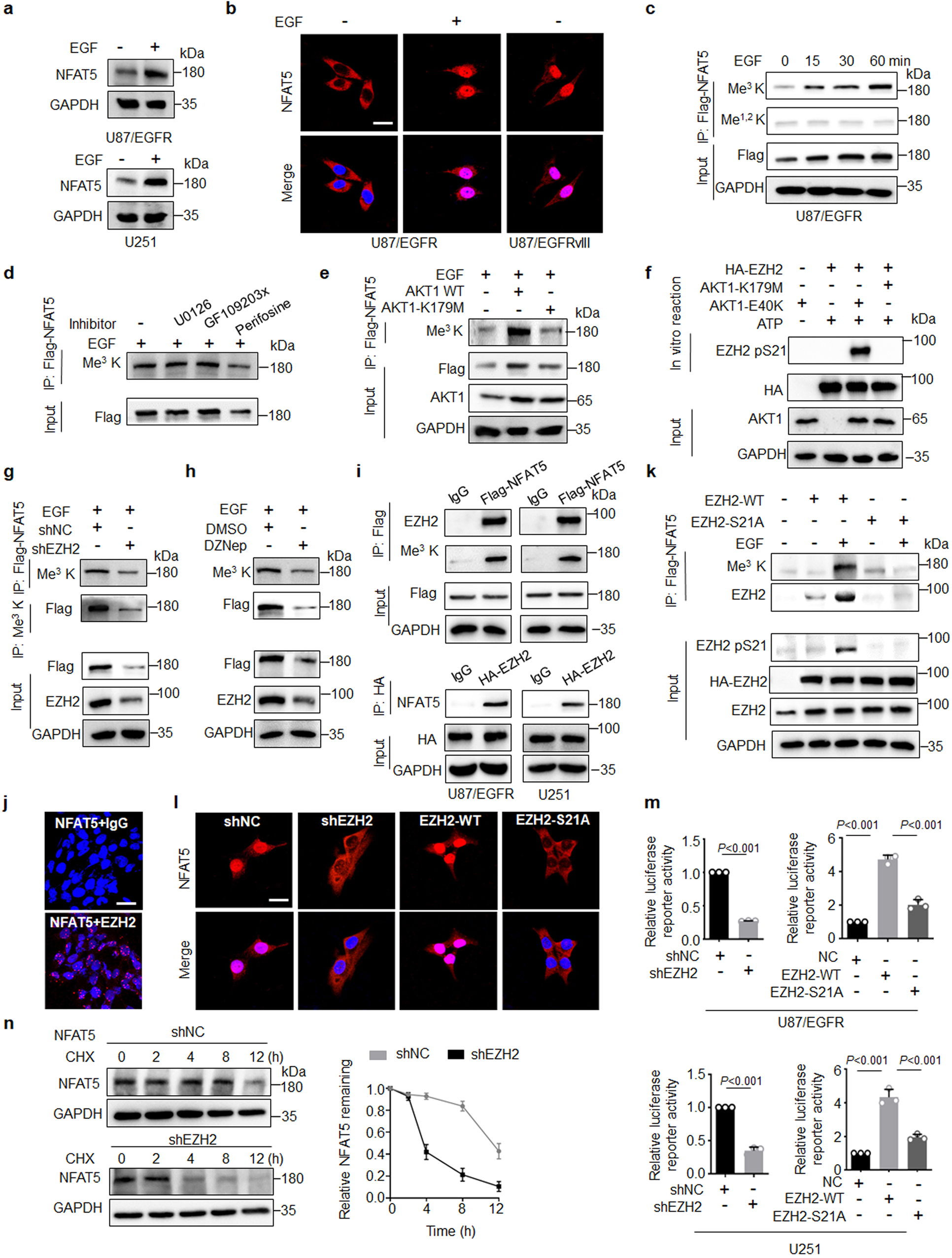
Fig. 3: EGF induces NFAT5 lysine methylation and activation dependent on EZH2.
From: Lysine methylation promotes NFAT5 activation and determines temozolomide efficacy in glioblastoma

a NFAT5 protein levels in U87/EGFR and U251 cells upon EGF stimulation. b IF staining the subcellular location of NFAT5 in U87/EGFRvIII cells and U87/EGFR cells with or without EGF treatment. Scale bar: 20 μm. One representative field of n = 30 independent cells was captured. c The effect of different incubation time of EGF treatment on the expression and lysine methylation levels of NFAT5 in U87/EGFR cells. d Levels of NFAT5 lysine methylation in U87/EGFR cells treated with 10 μM PKCα (GF109203X), 10 μM MEK1 (U0126), or 10 μM AKT1 (perifosine) inhibitors for 24 h followed by EGF (100 ng/mL) for 15 min. e AKT1 kinase activity was required for EGF induced NFAT5 tri-lysine methylation. U251 cells transduced with lentiviral vectors harboring Flag-tagged kinase-dead mutant AKT-K179M or AKT-WT sequences. f In vitro kinase assay revealed that AKT1-mediated EZH2 phosphorylation at Ser21 in U251 cells. g Knockdown of EZH2 by shRNA or a small molecule inhibitor (DZNep) treatment (h) reduced EGF-induced NFAT5 lysine methylation in U87/EGFR cells. DZNep, 3-Deazaneplanocin A. i Co-immunoprecipitation assay was performed to examine EZH2 as an interactor of NFAT5 in U87/EGFR and U251 cells. j The results of the in situ proximity ligation assay revealed the direct interaction between NFAT5 and EZH2 in U251 cells. Scale bar: 20μm. One representative field of n = 30 independent cells was captured. k EZH2 phosphorylation at Ser21 was critical for EZH2/NFAT5 interaction and NFAT5 methylation upon EGF stimulation. l IF staining of the subcellular location of NFAT5 transfected with shNC, shEZH2, EZH2-WT and EZH2-S21A in U251 cells treated with EGF. Scale bar: 20μm. One representative field of n = 30 independent cells was captured. m NFAT5 TAD reporter luciferase activity was measured in cells transfection with shNC, shEZH2 or NC, EZH2-WT and EZH2-S21A cells upon EGF treatment. n Degradation of NFAT5 was assessed by CHX treatment transfected with shNC or shEZH2 in U251 cell. Right, quantification of the NFAT5 intensity. a–n n = 3 independent experiments. Significance was calculated by (m) by one-way ANOVA with LSD-t. Data were presented as mean ± standard deviation. Marker unit for Western blots is kDa. Source data are provided as a Source Data file.