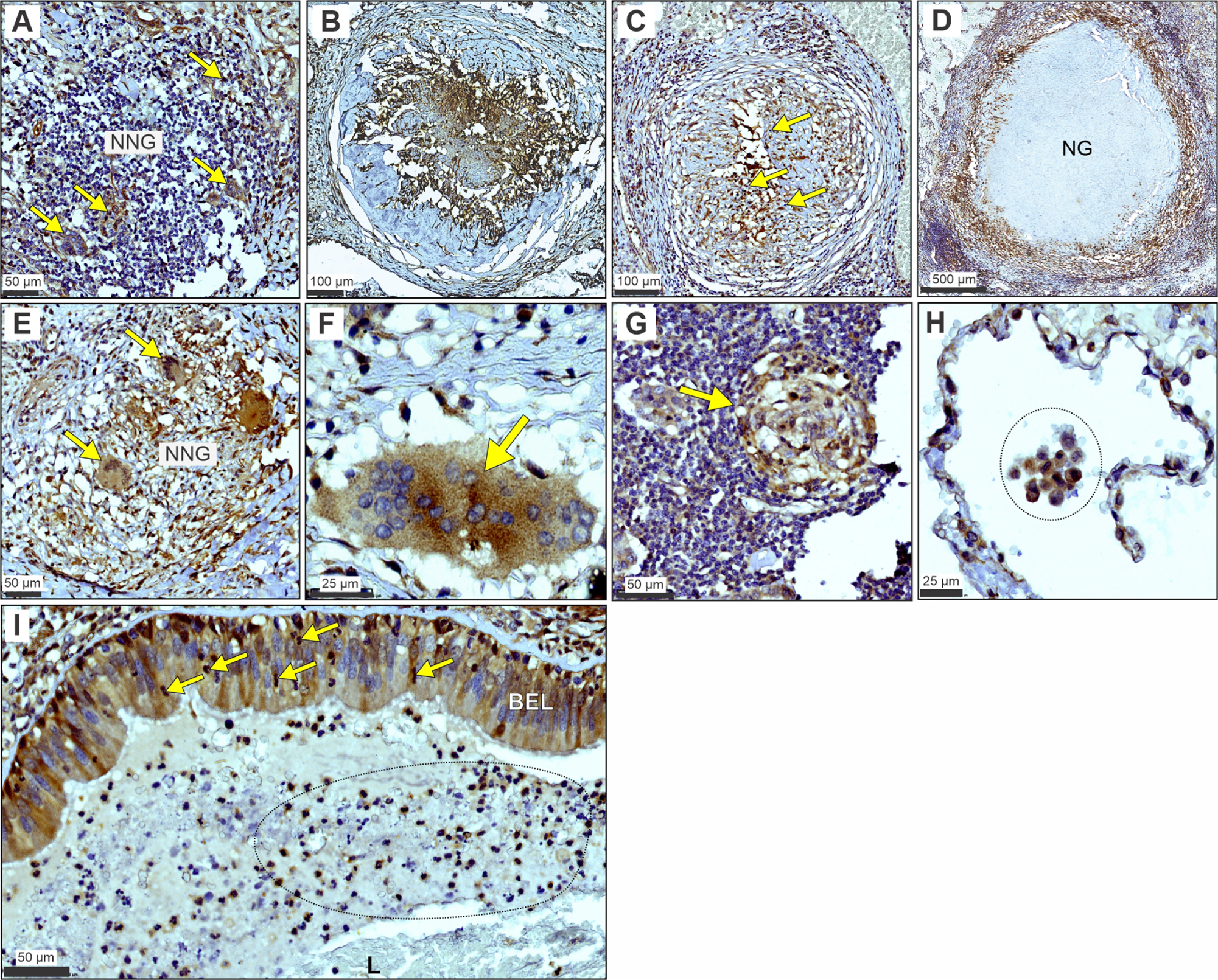
Fig. 1: LDHA immunostaining across the histopathological spectrum of human TB.
From: NAD(H) homeostasis underlies host protection mediated by glycolytic myeloid cells in tuberculosis

A Focal staining of LDHA (yellow arrows) within a non-necrotic granuloma (NNG). B Homogenous staining of LDHA within the necrotic center of an early necrotic granuloma. C Heterogeneous staining of LDHA within the necrotic center of a more developed necrotic lesion. Yellow arrows indicate pyknotic nuclei within the necrotic center. D Staining of LDHA in the granulation layer and surrounding granulomatous inflammation region of a necrotic granuloma (NG). E Medium- and (F) high-magnification images of giant cells immunostained for LDHA (yellow arrows) in the context of (E) a non-necrotizing granuloma (NNG) and (F) necrotizing granuloma. G LDHA staining of a lymphoid aggregate (yellow arrow) in a region proximal to a NG. H High-magnification image of LDHA staining in leukocytes (circled region) in an alveolus of a human TB patient. I LDHA staining in neutrophils (yellow arrows) crossing the positively-stained bronchial epithelial layer (BEL) in the context of inflammatory and necrotic debris (marked oval region) within the airway lumen (L). Tissue staining and staining controls obtained from three TB patients (Table S1) were performed at least three times independently post optimization.