Fig. 5: In vivo efficacy of OA-administered B6_BP_dslf in bleomycin-induced IPF.
From: De novo design of highly selective miniprotein inhibitors of integrins αvβ6 and αvβ8

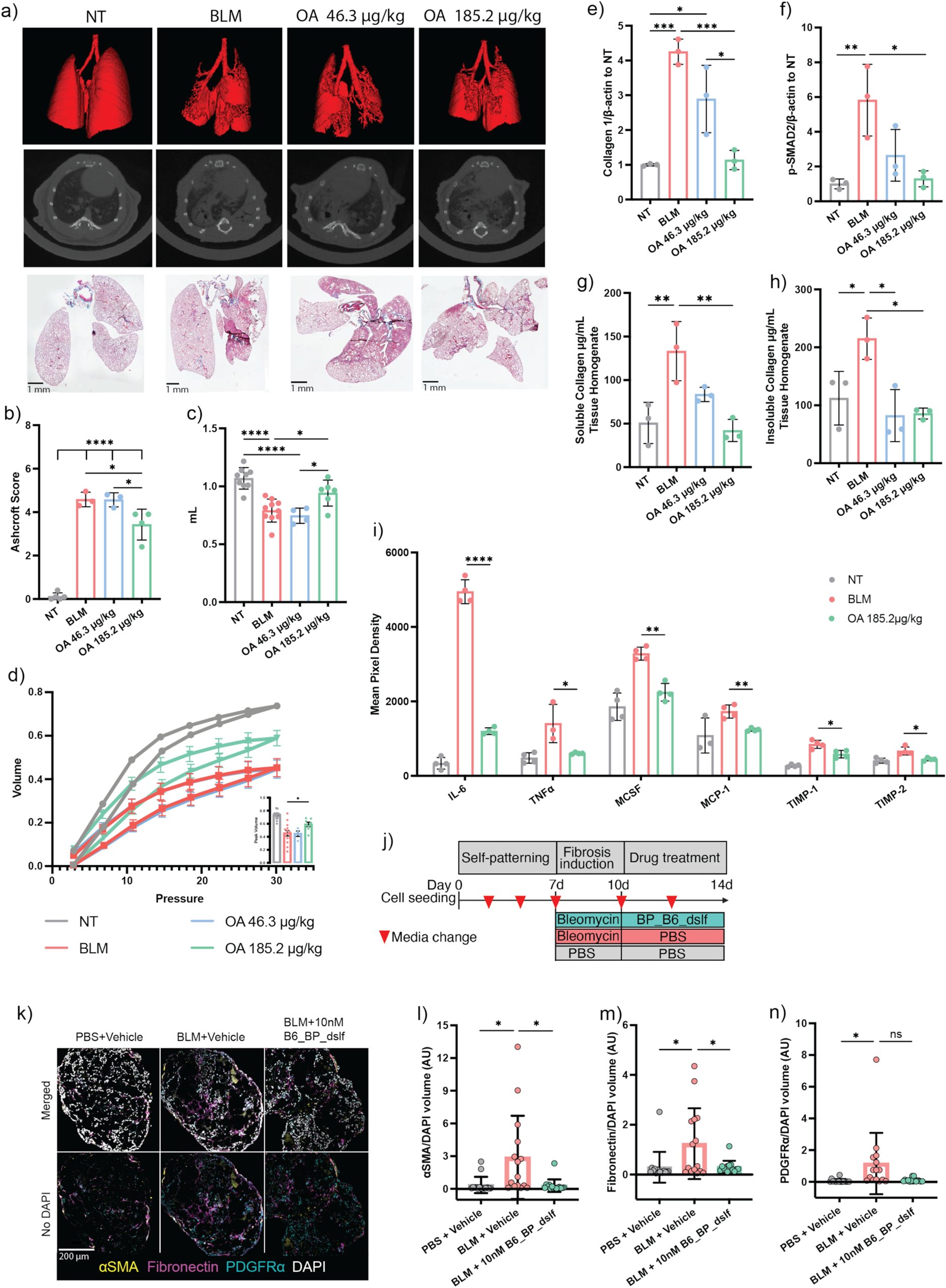
a Three dimensional renderings of HR-uCT scans (top panel), representative HR-uCT scans (middle panel), and representative Masson-trichrome images for nontreated (NT), bleomycin treated (BLM) and inhaled B6_BP_dslf groups. b Average Ashcroft Scoring of Masson-trichrome images (data represented as mean ± SEM, Tukey’s t-test, NT vs BLM P value = <0.0001, NT vs B6_BP_dslf 46.3 ug/kg P value = <0.0001, NT vs B6_BP_dslf 185.2 ug/kg P value = <0.0001, BLM vs B6_BP_dslf 185.2 ug/kg P value = 0.0214, B6_BP_dslf 46.3 ug/kg vs B6_BP_dslf 185.2 ug/kg P value = 0.0232). c Forced vital capacity as measured by SCIREQ flexiVent FX (data represented as mean ± SEM, Tukey’s t-test, NT vs BLM P value = <0.0001, NT vs B6_BP_dslf 46.3 ug/kg P value = <0.0001, BLM vs B6_BP_dslf 185.2 ug/kg P value = 0.034, B6_BP_dslf 46.3ug/kg vs B6_BP_dslf 185.2 ug/kg P value = 0.0386). d Pressure-Volume curves measured by SCIREQ flexiVent with peak volumes in the inset graph (data represented as mean ± SEM, Tukey’s t-test, BLM vs B6_BP_dslf 185.2 ug/kg P value = 0.0407). e Whole lung tissue homogenate western blot analysis of Collagen1 (data represented as mean ± SD, Tukey’s t-test, NT vs BLM P value = 0.0003, NT vs B6_BP_dslf 46.3 ug/kg P value = 0.0109, BLM vs B6_BP_dslf 185.2 ug/kg P value = 0.0005, B6_BP_dslf 46.3 ug/kg vs B6_BP_dslf 185.2 ug/kg P value = 0.0165) and f p-SMAD2 (data represented as mean ± SD, Tukey’s t-test, NT vs BLM P value = 0.0082, BLM vs B6_BP_dslf 185.2 ug/kg P value = 0.0117) show a dose-dependent reduction of these pro-fibrotic markers following B6_BP_dslf OA treatment. g Soluble (data represented as mean ± SD, Tukey’s t-test, NT vs BLM P value = 0.0078, BLM vs B6_BP_dslf 185.2 ug/kg P value = 0.0043) and h Insoluble (data represented as mean ± SD, Tukey’s t-test, NT vs BLM P value = 0.0382, BLM vs B6_BP_dslf 46.3 ug/kg P value = 0.01, BLM vs B6_BP_dslf 185.2 ug/kg P value = 0.0117) collagen levels are lower following B6_BP_dslf OA treatment. i Cytokine array analysis of common cytokines implicated in inflammation and IPF (all data represented as mean ± SD, all NT vs. BLM are significant, p-value < 0.05). j Time course of hFLO organoid growth, bleomycin induction, and 10 nM B6_BP_dslf treatment. k Fluorescent confocal microscopy imaging of hFLO sections immunostained with pro-fibrotic markers αSMA, fibronectin, and PDGFRα. (l–n are presented as bar graphs with mean ± SD, N = 15 cell aggregates were used per treatment, *P < 0.05 determined using two-tailed Welch’s t-test, box and whiskers show the mean and the maximum and minimum values) Volumetric analysis of (l) αSMA (PBS vs BLM P value = 0.0238, BLM vs BLM + 10 nM B6_BP_dslf P value = 0.0205) (m) fibronectin (PBS vs BLM P value = 0.0285, BLM vs BLM + 10 nM B6_BP_dslf P value = 0.0242, and n PDGFRα (PBS vs BLM P value = 0.0451) normalized to DAPI signal. *p-value < 0.05, **p-value < 0.01, ***p-value < 0.001, ****p-value < 0.0001.