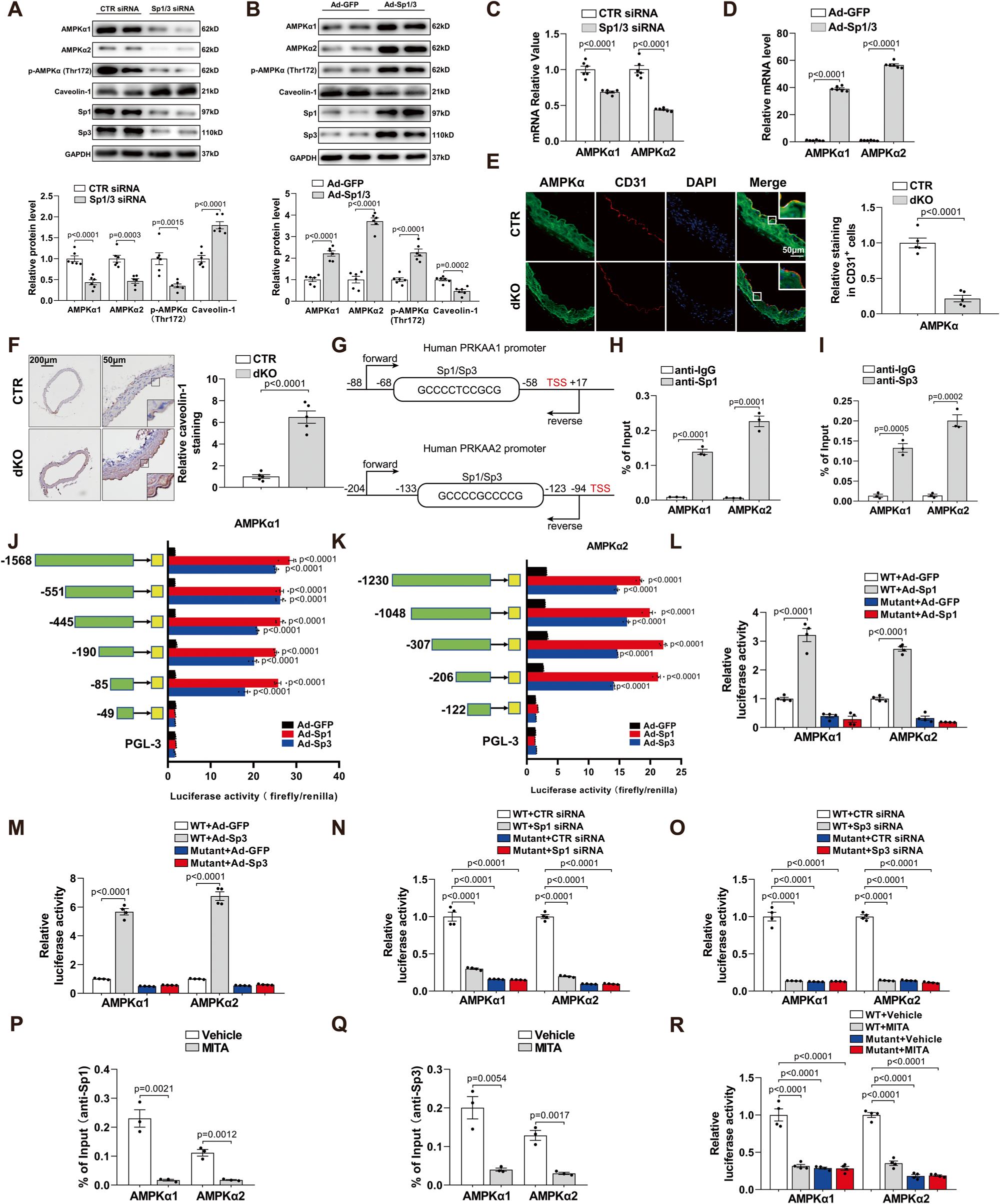
Fig. 3: Sp1 and Sp3 positively regulate AMPKα1 and AMPKα2 transcription.
From: Endothelial Sp1/Sp3 are essential to the effect of captopril on blood pressure in male mice

A WB analysis and C qPCR analysis of AMPKα1, AMPKα2, p-AMPKα (Thr172), caveolin-1 in HUVECs transfected with CTR siRNA or Sp1/3 siRNA. n = 6. B WB analysis and D qPCR analysis of AMPKα1, AMPKα2, p-AMPKα (Thr172), caveolin-1 protein levels in HUVECs infected with Ad-GFP or Ad-Sp1/3. n = 6. E IF staining of AMPKα in aortas. CD31 is an endothelial cell marker. Scale bar: 50 μm. Quantitative analysis (right). n = 5. F Immunohistochemical (IHC) staining for caveolin-1 in aortas. Scale bar: 200 μm/50 μm. Quantitative analysis (right). n = 5. G Schematic illustration of putative Sp1/Sp3 binding region on the promoter of human AMPKα1 and AMPKα2. Forward primer (forward) and reverse primer (reverse) for chromatin immunoprecipitation (ChIP) assay were indicated by arrows. ChIP assays showing the binding of Sp1 (H) or Sp3 (I) to the AMPKα1 and AMPKα2 promoters in HUVECs. n = 3. Luciferase activity shown by the indicated serial 5′ promoter deletions of AMPKα1 (J) and AMPKα2 (K) in HUVECs infected with Ad-GFP, Ad-Sp1, or Ad-Sp3. n = 4. L, M Relative luciferase activity for the wild-type (WT) and mutant constructs of AMPKα1 and AMPKα2 promoter in HEK293T cells infected with Ad-GFP, Ad-Sp1 (L) or Ad-Sp3 (M). n = 4. N, O Relative luciferase activity for the WT and mutant constructs of AMPKα1 and AMPKα2 promoter in HUVECs transfected with CTR, Sp1 (N) or Sp3 siRNA (O). n = 4. ChIP assays in HUVECs with or without mithramycin (MITA) using anti-Sp1 (P) or anti-Sp3 (Q) n = 3. R Relative luciferase activity for the WT and mutant constructs of AMPKα1 and AMPKα2 promoters in HUVECs with or without MITA. n = 4. Data are presented as mean ± SEM. Two-tailed Student unpaired t test for (A), (B), (C), (D), (E), (F), (H), (I), (P), and (Q). One-way ANOVA followed by Bonferroni post hoc analysis for (J), (K), (L), and (M). Two-way ANOVA followed by Bonferroni post hoc test for (N), (O), and (R).