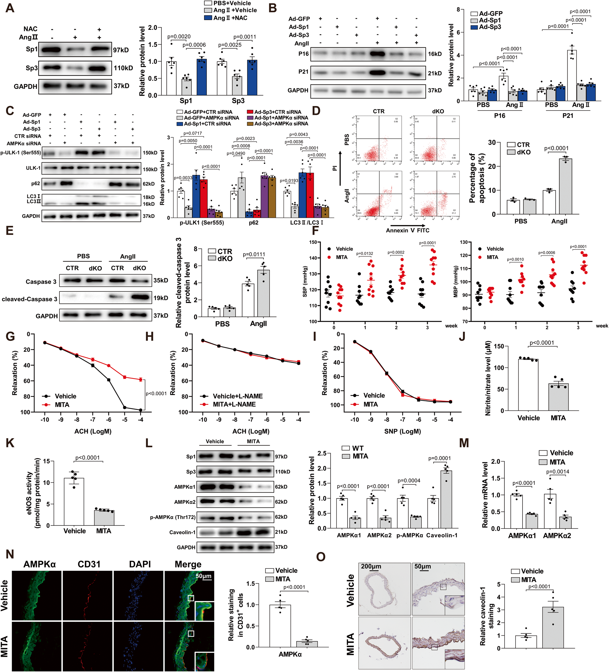
Fig. 4: Sp1 and Sp3 improve endothelial function via AMPKα.
From: Endothelial Sp1/Sp3 are essential to the effect of captopril on blood pressure in male mice

A WB of Sp1 and Sp3 protein levels in HUVECs with different treatments. n = 6. B WB of P16 and P21 protein levels in HUVECs with different treatments. n = 6. C WB of p-ULK1 (Ser555), ULK1, p62, and LC3 II/LC3 I in HUVECs with different treatments. n = 6. D MLECs from CTR and dKO mice with different treatments were stained with fluorescein isothiocyanate (FITC)-conjugated annexin V and propidium iodide (PI) and analyzed by flow cytometry. n = 3. E WB of caspase 3 and cleaved-caspase 3 protein levels in MLECs from CTR and dKO mice with different treatments. n = 5. F SBP and MBP in mice treated with vehicle or MITA. n = 9−10. G–I Vascular reactivity of mesenteric arteries from vehicle- or MITA-treated mice to Ach with or without L-NAME pretreatment (10–4 mol/L, 30 min) and SNP. n = 5. J Serum nitrite/nitrate level from vehicle- and MITA-treated mice. n = 5. K eNOS activity measured in MLECs from vehicle- and MITA-treated mice. n = 5. L WB of protein levels of Sp1, Sp3, AMPKα1, AMPKα2, p-AMPKα (Thr172), and caveolin-1 in MLECs from vehicle- and MITA-treated mice. n = 5. M qPCR analysis of AMPKα1 and AMPKα2 mRNA levels in MLECs from vehicle and MITA-treated mice. n = 5. N Representative IF staining of AMPKα in aortas from vehicle and MITA-treated mice. CD31 is an endothelial cell marker. Scale bar: 50 μm. Quantitative data analysis (right). n = 5. O Representative IHC staining for caveolin-1 in aortas from vehicle and MITA-treated mice, Scale bar: 200 μm/50 μm. Quantitative data analysis (right). n = 5. Data are presented as mean ± SEM. Two-tailed Student unpaired t test for (D), (E), (F), (J), (K), (L), (M), (N), and (O). One-way ANOVA followed by Bonferroni post hoc analysis for (A), (B), and (C). Two-way ANOVA followed by Bonferroni post hoc test for (G) to (I).