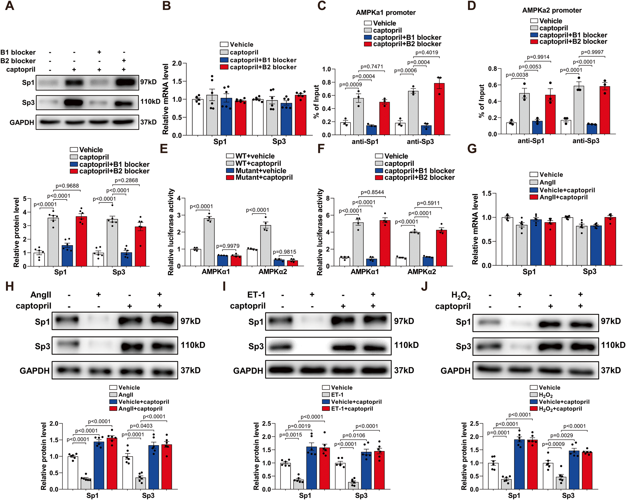
Fig. 7: Captopril activates Sp1 and Sp3 via bradykinin B1 receptor.
From: Endothelial Sp1/Sp3 are essential to the effect of captopril on blood pressure in male mice

A WB analysis of Sp1 and Sp3 protein levels in HUVECs with different treatments. n = 6. B qPCR analysis of Sp1 and Sp3 mRNA levels in HUVECs with different treatments. n = 6. C, D ChIP assays showing the binding of Sp1 or Sp3 to the AMPKα1 (C) and AMPKα2 (D) promoter in HUVECs with different treatments. n = 3. E Relative luciferase activity for the WT and mutant constructs of AMPKα1 and AMPKα2 promoter in HUVECs with vehicle or captopril. n = 4. F Relative luciferase activity for the WT constructs of AMPKα1 and AMPKα2 promoter in HUVECs with different treatments. n = 4. G qPCR analysis of Sp1 and Sp3 mRNA levels in HUVECs with different treatments. n = 3. H–J WB analysis of Sp1 and Sp3 protein levels in HUVECs with different treatments. n = 6. Data are presented as mean ± SEM. Two-way ANOVA followed by Bonferroni post hoc analysis for (A) to (J).