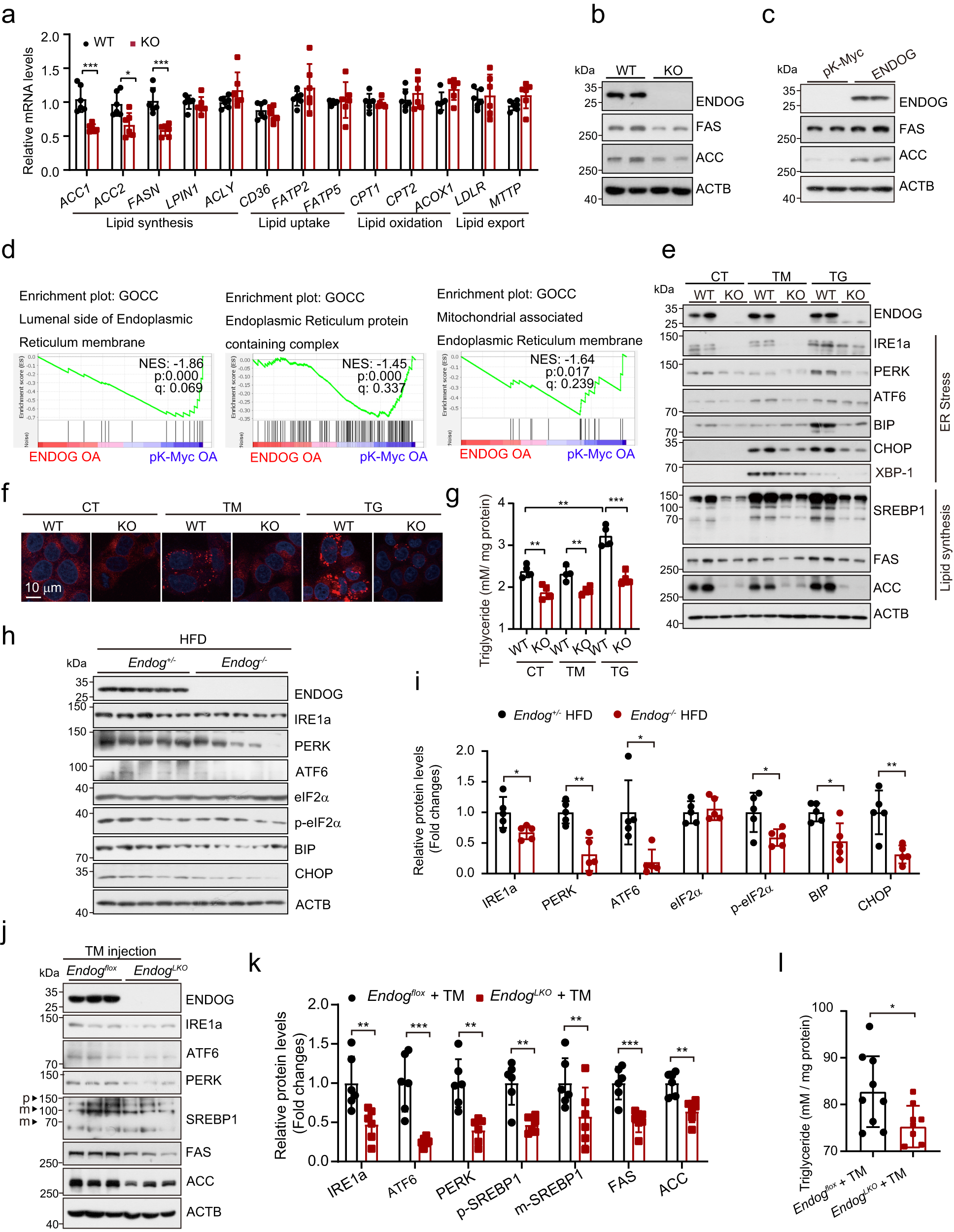
Fig. 5: ENDOG promotes lipid synthesis through the activation of ER stress.

a qPCR results of lipid metabolism genes in wild-type and ENDOG knockout HepG2 cells. n = 4 biologically independent samples. b, c Western blot analyses of lipid synthesis proteins in HepG2. WT, wild-type, KO: ENDOG knockout; pK-Myc or ENDOG plasmids were transfected for 48 h. d GSEA shows endoplasmic reticulum-related gene sets are rich in ENDOG overexpressed HepG2 cells. e Western blot analyses of ER stress-related proteins and lipid synthesis proteins in wild-type and ENDOG knockout HepG2 cells following treatment with 2 μg/ml tunicamycin (TG) and 1 μM thapsigargin (TG) for 24 h. f, g Representative images of Nile red and measurement of triglycerides. Wild-type and ENDOG knockout HepG2 cells following treatment with 2 μg/ml tunicamycin (TM) and 1 μM thapsigargin (TG) for 24 h. n = 4 biologically independent samples. h, i Western blots analyses of ER stress-related proteins in systemic and liver-specific ENDOG knockout female mice livers after the HFD. n = 5 mice each group. j, k Western blot analyses of ER stress-related proteins and lipid synthesis proteins in liver-specific ENDOG knockout female mice livers. Mice were fasting for 12 h and then intraperitoneally injected with tunicamycin (TM) 2 mg/kg body weight for 24 h. n = 6 mice each group. l Measurement of triglycerides in liver. Female mice were fasting for 12 h and then intraperitoneally injected with 2 mg/kg body weight for 24 h. n = 9 mice each group. Three experiments were repeated independently with similar results in (b, c, e). Statistical significance was determined by unpaired Student’s t-test (two-tailed) in (a, i, k, l); error bars are mean ± SD. Source data and exact P values are provided in a Source data file. *P < 0.05; **P < 0.01; ***P < 0.001.