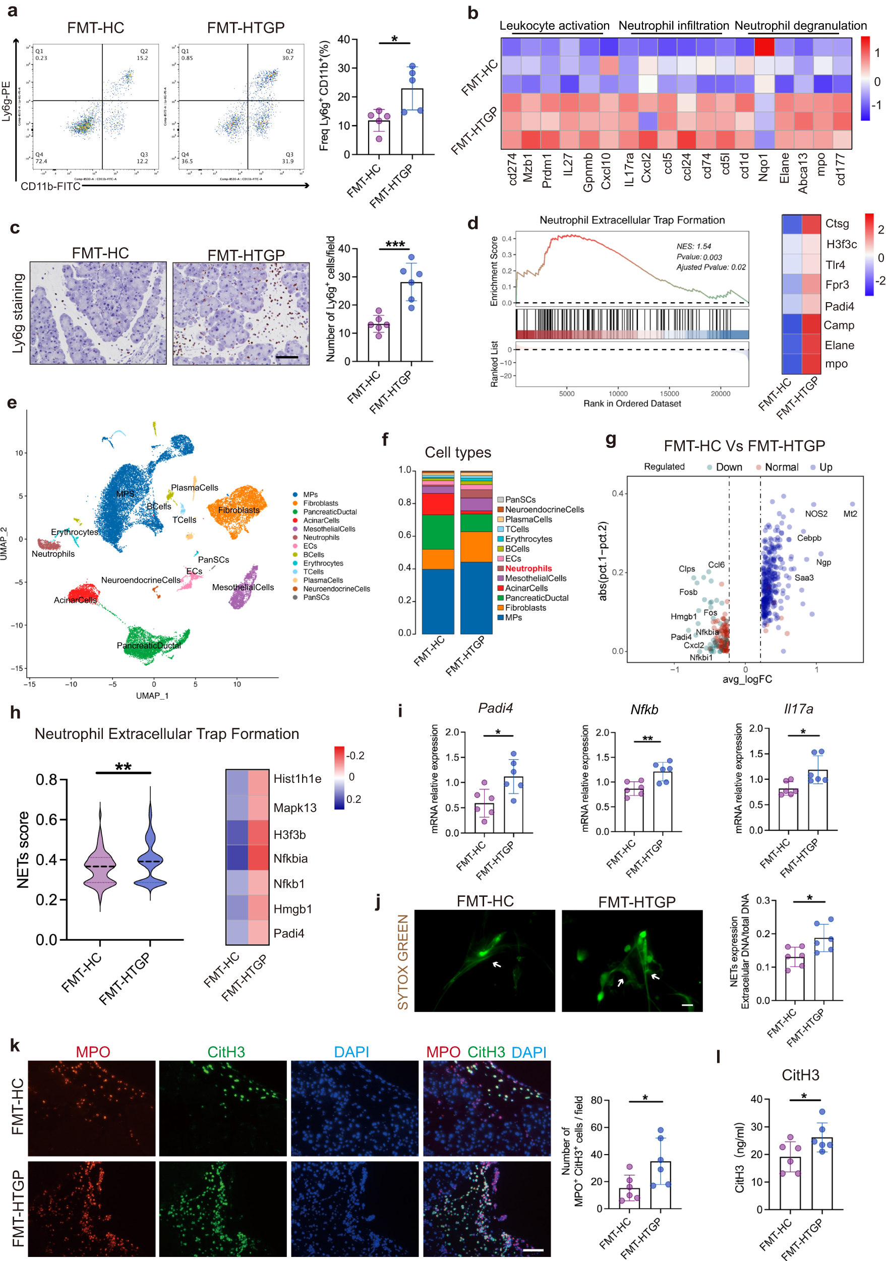
Fig. 3: Gut microbiota dampens HTGP progression by the reduction of neutrophil extracellular traps.

a Flow cytometric quantification and statistical analysis of neutrophils infiltration in the pancreas between FMT-HC and FMT-HTGP groups (n = 5, P = 0.018). b Different genes enriched in leukocyte activation, neutrophil infiltration and neutrophil degranulation pathways between FMT-HC and FMT-HTGP mice (FMT-HC, n = 3; FMT-HTGP, n = 3). c Representative images and quantification of Ly6g positive cells by IHC (Scale bar = 50 µm; n = 6, P = 0.0006). d GSEA snapshots of neutrophil extracellular traps formation pathway enrichment analysis and gene signatures enriched in neutrophil extracellular traps formation pathway between FMT-HC and FMT-HTGP mice. e A UMAP plot displaying distinct clusters of 29,082 cells obtained from FMT-HC and FMT-HTGP mice (n = 3 biologically independent animals per group). f Proportion of cell types. g Volcano plot showing differentially expressed genes in neutrophils between FMT-HC and FMT-HTGP mice. FC fold change. h Enrichment score of neutrophil extracellular traps formation pathway in the neutrophils between FMT-HC and FMT-HTGP mice, and identification of gene signatures associated with NETs formation (Padi4, Hmgb1, Nfkb1, Nfkbia, H3f3b, Mapk13 and Hist1h1e, P = 0.0032). i Quantitative RT-PCR tested expressions of Padi4, Nfkb, and Il17a in pancreas between FMT-HC and FMT-HTGP mice (n = 6) (Padi4: P = 0.0143; Nfkb: P = 0.0049; Il17a: P = 0.0148). j Representative immunofluorescence staining images of SYTOX to map NETs in neutrophils isolated from FMT-HC and FMT-HTGP mice. Green represents extracellular (ex) DNA, as stained by SYTOX Green (Scale bar = 25 µm, n = 6, P = 0.0204). k Representative immunofluorescence images and quantification of Mpo+CitH3+cells in the pancreas (Scale bar = 50 µm, n = 6, P = 0.0336). Green, CitH3 positive cell; Red, Mpo positive cell. l Serum CitH3 level by ELISA (n = 6, P = 0.0456). For intergroup comparison of unpaired data, two-tailed Student’s t-test was used for normal distribution and Mann–Whitney test was used for nonparametric data. Data was represented as mean ± SEM. *p < 0.05, **p < 0.01, ***p < 0.001. Source data are provided as a Source data file.