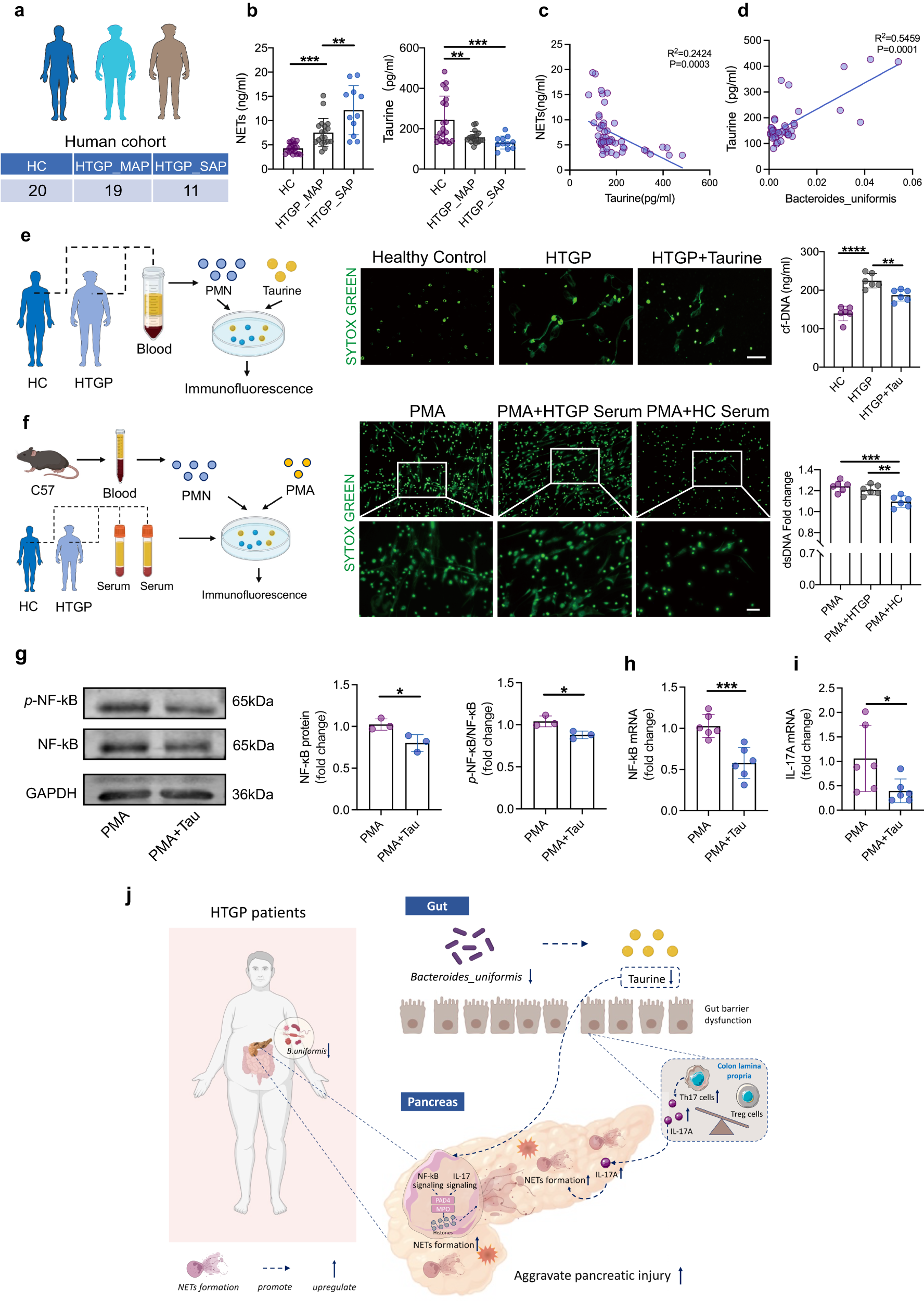
Fig. 7: Taurine blocks NETs and restrains inflammatory response in HTGP patients.

a Information of HC (n = 20) and HTGP patients, including HTGP_MAP (n = 19) and HTGP_SAP (n = 11), according to the 2012 revised Atlanta criteria. b Correlation analyses between serum NETs levels and the severity of HTGP, and serum taurine levels and disease severity (HC, n = 20; HTGP_MAP, n = 19; HTGP_SAP, n = 11) (NETs: HC vs HTGP_MAP, P = 0.0042, HTGP_MAP vs HTGP_SAP, P = 0.0006; Taurine: HC vs HTGP_MAP, P = 0.003, HC vs HTGP_SAP, P = 0.001). c Correlation analysis between serum taurine and NETs levels. d Correlation analysis between taurine level and Bacteroides uniformis abundance. e Representative immunofluorescence staining images of SYTOX to map NETs in the neutrophils isolated from HTGP patients and healthy volunteers with PMA or taurine stimulation (Scale bars = 50 µm, n = 6) (HC vs HTGP, P < 0.0001; HTGP vs HTGP + Tau, P = 0.0061). Quantification of NETs release by measuring supernatant DNA level. f Representative images of SYTOX to map NETs in mice neutrophils stimulated by PMA, in the presence of healthy donors’ serum or HTGP patients’ serum (Scale bars = 25 µm, n = 6) (PMA vs PMA + HC, P = 0.0006; PMA + HTGP vs PMA + HC, P = 0.0049). g Representative western blot images and quantitative comparison of total and phosphorylation of NF-κB protein within neutrophils stimulated by PMA or PMA + Tau (n = 3 biologically independent samples per group) (NF-κB protein, P = 0.0338; Phosphorylation of NF-κB protein, P = 0.0237). h The relative Nfkb mRNA expression in the neutrophils stimulated by PMA or PMA + Tau (n = 6 biologically independent samples per group, P = 0.0009). i The relative Il17a mRNA expression in the neutrophils stimulate by PMA or PMA + Tau (n = 6 biologically independent samples per group, P = 0.047). j Gut microbiota aggravates neutrophil extracellular traps-induced pancreatic injury in HTGP. P values were determined by two-tailed ordinary one-way ANOVA with the Tukey post hoc test or Student’s t-test. Data was represented as mean ± SEM. *p < 0.05, **p < 0.01, ***p < 0.001. Source data are provided as a Source data file.