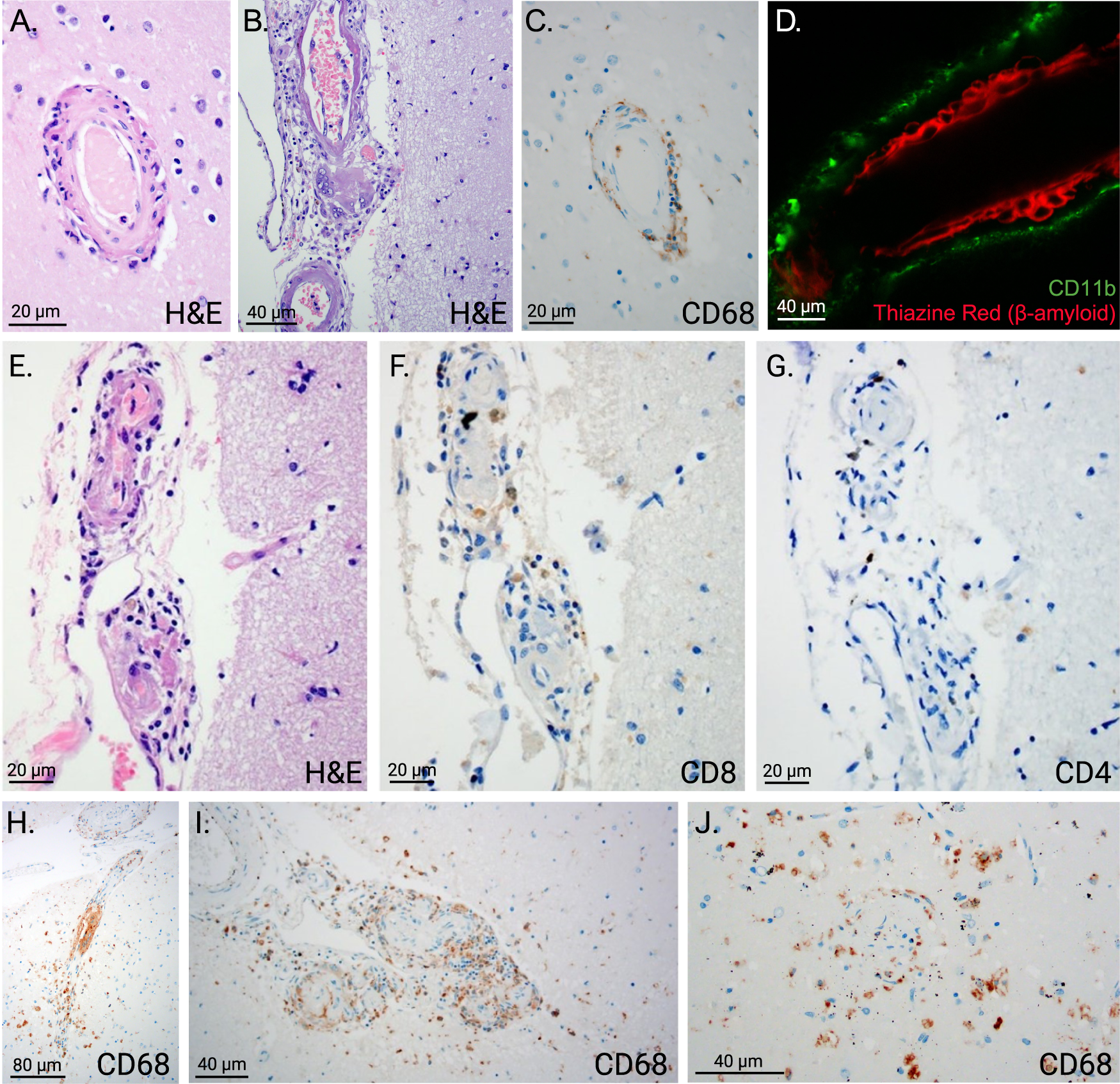
Fig. 3: Characterization of cell types in perivascular inflammation.

A Hematoxylin and eosin staining (H&E) demonstrates inflammatory perivascular infiltrates, 20 µm scale bar. B Multinucleated giant cells are visible in this image, 40 µm scale bar. C CD68 (CD stands for Cluster of Differentiation) immunostaining shows that many of the inflammatory cells are macrophages and/or activated microglia, 20 µm scale bar. D CD11b, a marker of microglia and macrophages, shows numerous macrophages in the perivascular space around a vessel with heavy β-amyloid deposition (shown by red staining with Thiazine red), 40 µm scale bar. Images E–G show that the perivascular inflammatory infiltrate also contains T-cells, although they are less abundant than macrophages, 20 µm scale bars. Image E shows hematoxylin and eosin staining of an inflamed vessel, F CD8 staining and G. CD4 staining of the same vessel. Images H–J show patterns CD68 immunoreactivity which involve the leptomeninges (H & I), perivascular spaces (H & I), and parenchyma (all three images), 80 µm scale bar in H and 40 µm scale bars in I and J.