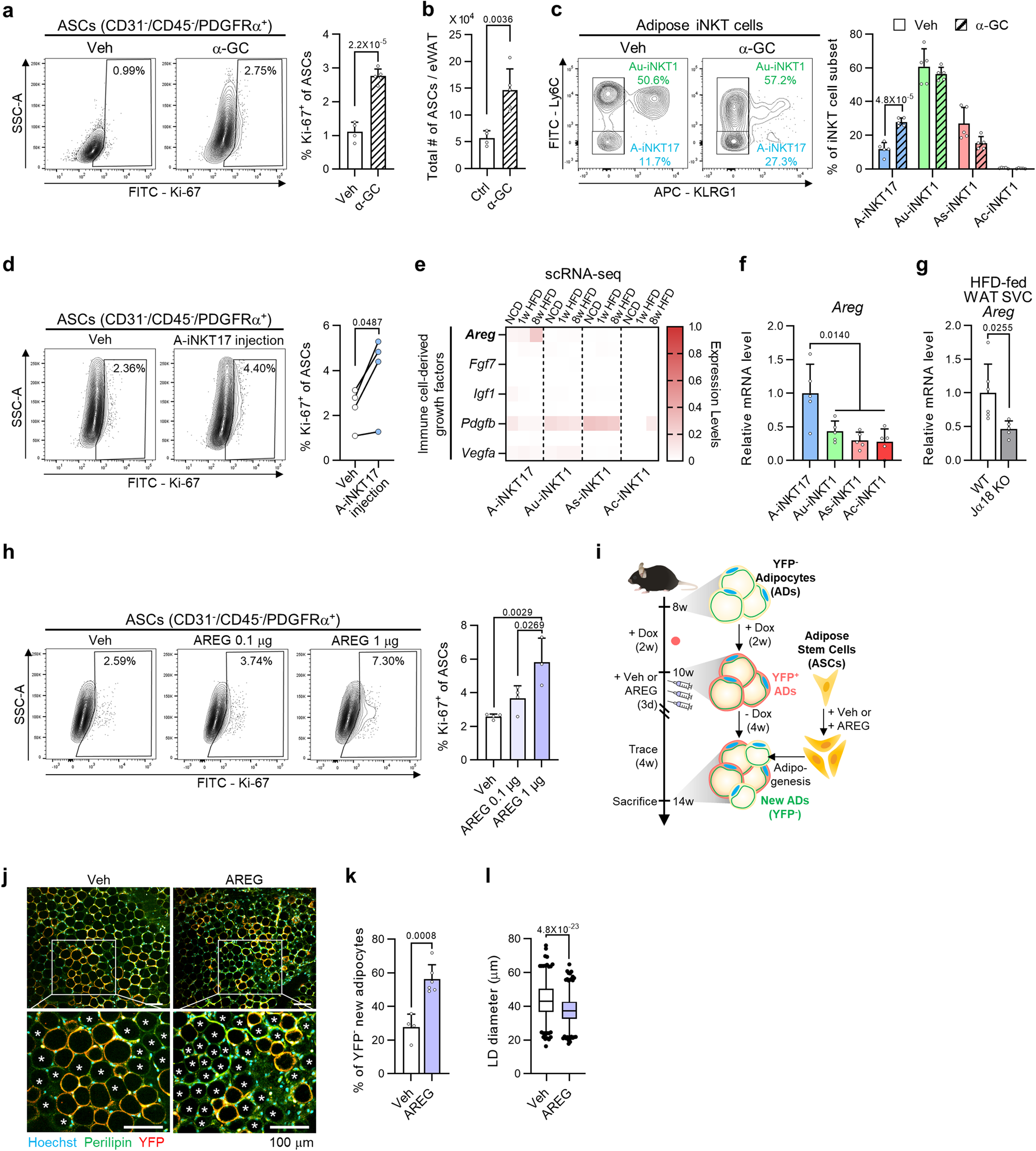
Fig. 5: A-iNKT17 cells stimulate adipose stem cell proliferation by secreting amphiregulin.

a Representative FACS plots and proportion of Ki-67+ among ASCs (CD31-/CD45-/PDGFRα+) from WT WAT 4-days after vehicle (n = 4) or α-GC injection (n = 5). b The total number of ASCs from WT WAT 1-week after vehicle (n = 4) or α-GC injection (n = 5). c Representative FACS plots and proportion of each adipose iNKT cell subpopulation among total adipose iNKT cells 4-days after vehicle or α-GC injection (n = 5 biologically independent mice). d Representative FACS plots and proportion of Ki-67+ among ASCs from WAT of 12-week HFD-fed Jα18 KO mice with or without A-iNKT17 cell injection (n = 4 biologically independent mice). Mice were sacrificed 4 days after injection. e Heatmap showing the expression levels of growth factors in adipose iNKT cell subpopulations. f Areg mRNA level in in vivo-expanded iNKT cell subpopulations sorted from 10-week-old male mice (n = 5 biologically independent samples). g Areg mRNA level in WAT SVFs from 8-week HFD-fed WT (n = 6) and Jα18 KO mice (n = 5). h Representative FACS plots and proportion of Ki-67+ among ASCs from WT WAT. Mice were injected with vehicle, AREG 0.1 μg (n = 4), or AREG 1 μg (n = 3). i Experimental scheme using C57BL/6J adipocyte lineage-tracing male mice. j Representative microscopic images of vehicle or AREG injected WAT 4 weeks after injection. Asterisks indicate perilipin+/YFP– new adipocytes. Scale bars, 100 μm. k Proportion of YFP– new adipocytes among total adipocytes from vehicle (n = 4) or AREG injected mice (n = 6). l Quantification of lipid droplet (LD) size of vehicle (n = 489) or AREG injected WAT (n = 527) in (j). Data are represented as mean ± SD except (l) represented as box and whiskers plot. In (l), the lower, central, and upper line represents the first (Q1), the second (median), and the third quartile (Q3), respectively. The whiskers extend from the box to the 2.5 and 97.5 percentile, respectively. n.s., non-significant. One-way ANOVA (f and h). Two-tailed unpaired Student’s t test (a–c, g, k, and l). Two-tailed paired Student’s t test (d).