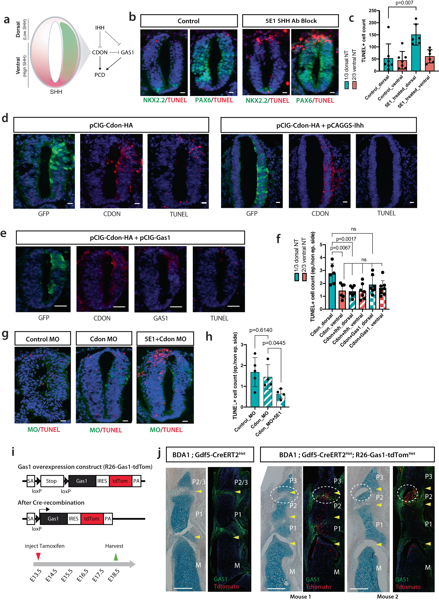
Fig. 6: IHH suppressed CDON-mediated apoptosis.

a Experimental strategy for examining the regulation of programmed cell death (PCD) by IHH, CDON, and GAS1. Dorsal: Dorsal one-third of the neural tube, Ventral: Ventral two-thirds of the neural tube. b Treatment of SHH antagonist, 5E1 resulted in increased TUNEL+ cells in the dorsal neural tubes compared to control. c Quantification of the number of TUNEL+ cells for b). d GFP tagged Cdon-expression plasmid was electroporated alone or with Ihh into chick neural tubes. CDON proteins and TUNEL+ cells were detected on sections counterstained with DAPI. e Cdon- and Gas1- expression plasmids were co-electroporated into chick neural tubes. f Bar chart showing fold-change of TUNEL+ cells counts of the chick neural tubes electroporated with Cdon-, Ihh- and/or Gas1- expression plasmids (d, e). One-way ANOVA was performed on all groups except the CDON dorsal group. g Electroporation of Cdon morpholino (MO) reduced the number of TUNEL+ cells induced by 5E1 treatment in the dorsal neural tubes compared to the untransfected side and neural tubes treated with control MO. Scale bars for b, d, e, g = 50 µm. h Bar chart showing fold-change of TUNEL+ cell counts of the dorsal chick neural tubes treated with control MO and Cdon MO with/without 5E1 treatment. Each point represented a count from a chick neural tube. i Experimental design for Gas1 overexpression in developing joints. Upon Cre-recombination in the presence of tamoxifen, Gas1, and IRES-tdTomato transgenes were expressed. j Overexpression of Gas1 in joints driven by Gdf5-CreERT2 led to formation of P2/P3 joint in BDA1 mouse (n = 2). Yellow arrows indicate the location of joints and a white dotted circle indicates the P2/P3 joint. Scale bar = 200 µm. For the bar chart in c, f, and h, each data point represents an independent biological replicate, bar height indicates mean and error bars indicate standard deviations. p-values are calculated with a two-sided student’s t-test. Source data are provided as a Source Data file.