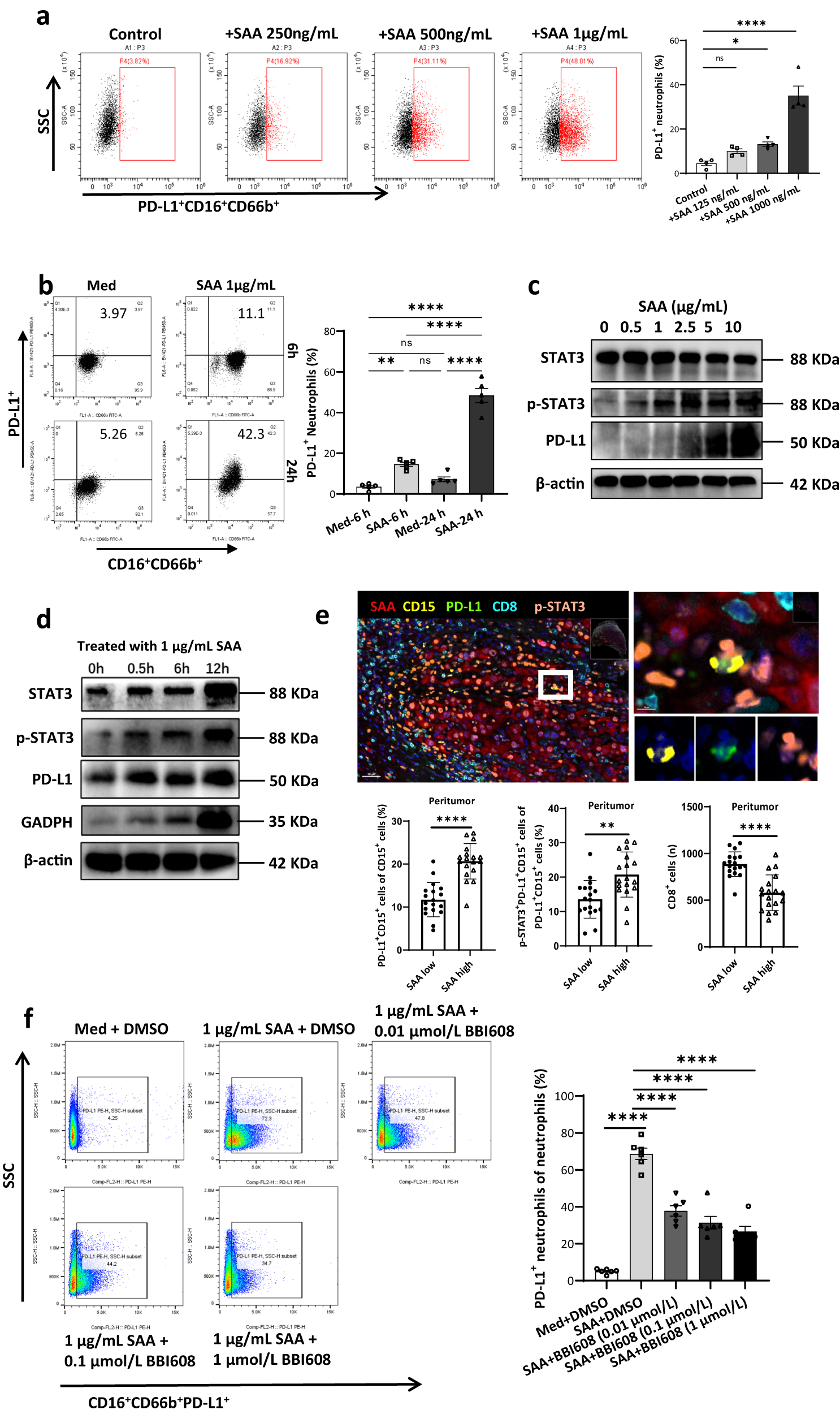
Fig. 3: The relationship of local SAA, nuclear p-STAT3, and PD-L1+ neutrophils.

a FACS analysis shows the PD-L1 expression on neutrophils exposed to different concentrations of SAA (0, 250, 500, and 1000âng/mL) for 24âh. Statistical analysis of PD-L1 expression on neutrophils indicates that SAA induced PD-L1 expression on neutrophils in a concentration-dependent manner. nâ=â4 biologically independent samples. b Flow cytometry images show that PD-L1 is rapidly upregulated after neutrophils are exposed to SAA (1000âng/mL) for 6âh. nâ=â5 biologically independent samples. c Western blots show the protein expression of PD-L1, STAT3, and p-STAT3 in neutrophils after being exposed to different concentrations of SAA (0, 0.5, 1, 2.5, 5, and 10âÎŒg/mL) for 24âh. nâ=â3 independent samples. d Western blots show that the protein expression of STAT3, p-STAT3, PD-L1, and GAPDH in neutrophils is upregulated at different time points (0.5, 6, and 12âh) after SAA exposure (1âÎŒg/mL). nâ=â3 independent samples. e The six-plex mIHC assay shows the co-expression of SAA (red), p-STAT3 (orange), and PD-L1 (green) in CD15+ (yellow) neutrophils from HCC peritumoral specimens. nâ=â18 patients. f In neutrophils exposed to SAA (1âÎŒg/mL) for 24âh, napabucasin/BBI608, a small molecular STAT3 inhibitor, can significantly reduce the PD-L1+ neutrophils via a dose-dependent manner (0.01, 0.1, and 1 ÎŒmol/L). nâ=â6 biologically independent samples. Statistical data presented in this figure show meanâ±âSEM. ns indicates Pâ>â0.05, *Pâ<â0.05, **Pâ<â0.01 and ****Pâ<â0.0001, by one-way ANOVA (a, b, f), or two-sided Studentâs t test (e). Source data and exact P values are provided as a Source Data file.