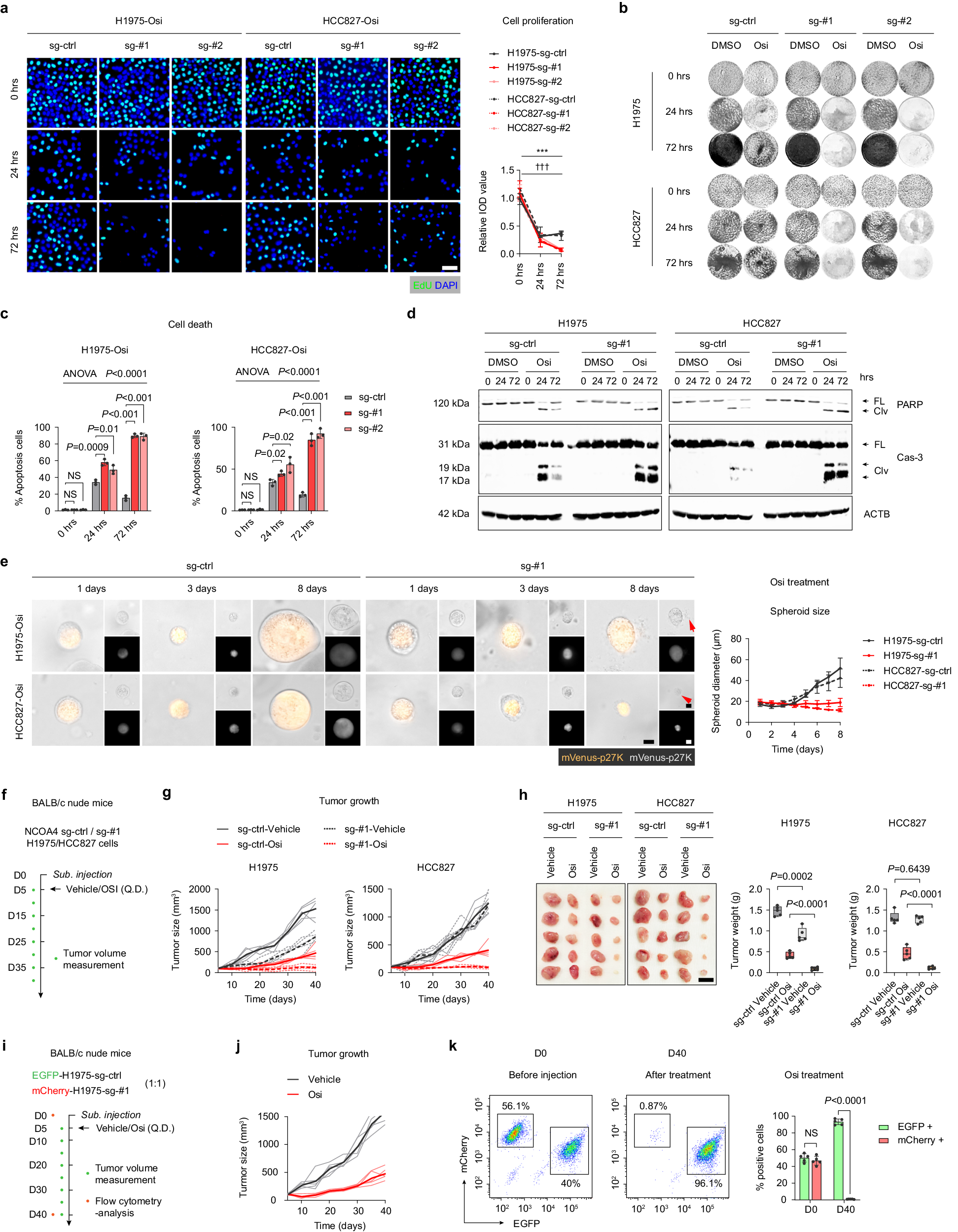
Fig. 6: Knockout of NCOA4 inhibits the formation of adaptative resistance by Osi in vitro and in vivo.

a NCOA4 sg-ctrl, sg-#1 or sg-#2 H1975 and HCC827 cells treated with Osi for 0 h, 24 h, or 72 h and incubated with EdU for 2 h. Representative experiment (n = 3 technical replicates; 3 independent experiments). Scale bar, 50 μm. b Colony formation assays of NCOA4 sg-ctrl, sg-#1 or sg-#2 H1975 and HCC827 cells treated with DMSO or Osi for 0 h, 24 h, and 72 h. Representative experiment (n = 3 technical replicates; 3 independent experiments). c Flow cytometry analysis of cell apoptosis of NCOA4 sg-ctrl, sg-#1 or sg-#2 H1975 and HCC827 cells treated with Osi for 0 h, 24 h, or 72 h. Representative experiment (n = 3 technical replicates; 3 independent experiments). d Immunoblotting analysis of apoptosis-related proteins poly ADP-ribose polymerase (PARP) and Capase-3 (Cas-3) in NCOA4 sg-ctrl or sg-#1 H1975 and HCC827 cells treated with DMSO or Osi for 0 h, 24 h, or 72 h (Representative images from 3 independent experiments). e Left, Representative images of NCOA4 sg-ctrl or sg-#1 H1975 and HCC827 cells treated with Osi in 3-D culture on day 1, day 3 and day 8. The red arrow shows broken cell membranes. Scale bar, 10 μm. Right, the growth curves of tumor cells. Representative experiment (n = 3 technical replicates; 3 independent experiments). f, g BALB/c nude mice were subcutaneous inoculated with NCOA4 sg-ctrl or sg-#1 H1975 and HCC827 cells and were given Vehicle (DMSO + saline) or Osi (nasal feeding, once a day) and follow-up (n = 5 mice each group). h Tumor weight was measured for the Vehicle-treated group and Osi-treated group (n = 5 mice each group). Scale bar, 1 cm. i, j BALB/c nude mice were subcutaneous inoculated with EGFP-labeled NCOA4 sg-ctrl or mCherry-labeled NCOA4 sg-#1 H1975 (mix in a ratio of 1: 1) cells and were given Vehicle (DMSO + saline) or Osi (nasal feeding, once a day) and follow-up (n = 5 mice each group). k Flow cytometry analysis of mice tumors from j at day 0 (before inoculating the mice) or at day 40 (n = 5 samples). Data are shown as mean ± SD and were analyzed by a two-way ANOVA a, c, h, k followed by a Dunnett-t test. NS no significance, *p < 0.05, **p < 0.01, ***p < 0.001. †††p < 0.001, which was employed to specifically demonstrate the distinction in HCC827 cells. For box plots, the boxes extend from the 25th to 75th percentiles, with the median depicted by a horizontal line. Source data are provided as a Source Data file.