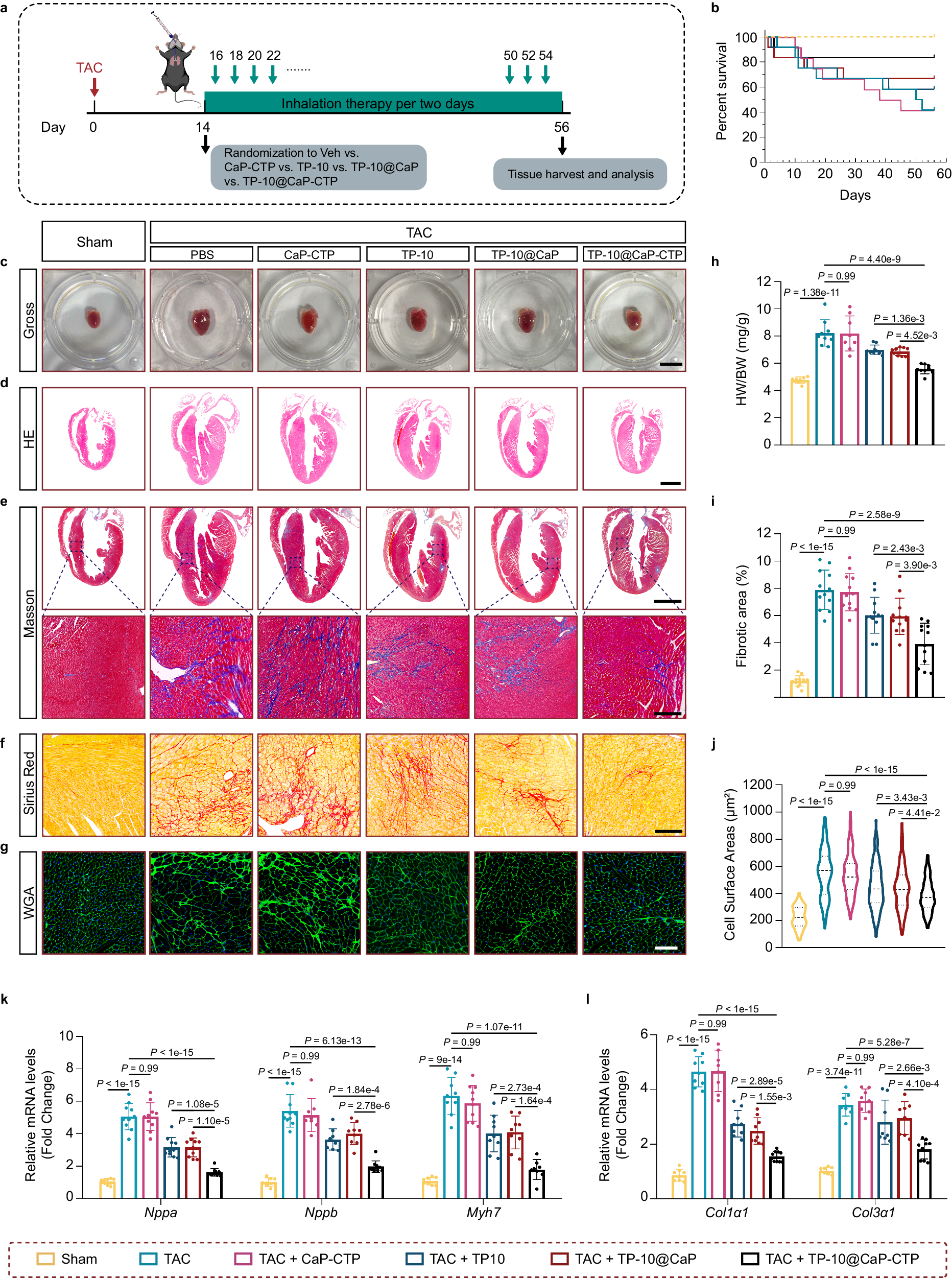
Fig. 6: Efficacy of inhaled TP-10@CaP-CTP in a pressure overload-induced heart failure mouse model.

a Schematic overview of inhalation treatment. Two weeks after TAC or sham operation, the mice were treated with PBS, TP-10 (0.75 mg/kg/2 days), CaP-CTP (2.5 mg/kg/2 days), TP-10@CaP (2.5 mg/kg/2 days) or TP-10@CaP-CTP (2.5 mg/kg/2 days) for six weeks via inhalation. b Survival curves of the TAC and sham-operated mice after the indicated treatments. n = 12. c Representative images of the gross appearances of whole hearts. Scale bar, 1 cm. d Representative images of heart vertical sections stained with H&E. Scale bar, 2 mm. e Representative Masson staining images. Scale bars, 2 mm (top) and 200 μm (bottom). f Representative Sirius red staining images. Scale bar, 200 μm. g Representative wheat germ agglutinin (WGA) staining images of mice. Scale bar, 100 μm. h Ratios of heart weight to body weight (HW/BW). n = 7, 9, 8, 9, 9 and 9 hearts respectively. i Statistical analysis of the fibrotic area of the myocardium. n = 12 mice in each group. j Statistical analysis of the cell surface areas. n = 130–136 CMs from 6–7 mice in each group. k, l mRNA levels of the indicated genes in heart tissue after the indicated treatments. n = 8–10 biologically independent samples in each group. The results are presented as the mean ± SD. Experiments were performed three times (d–g) with similar results. For h–l, statistical analysis was performed using one-way ANOVA with the Bonferroni multiple comparison correction. Source data are provided as a Source Data file.