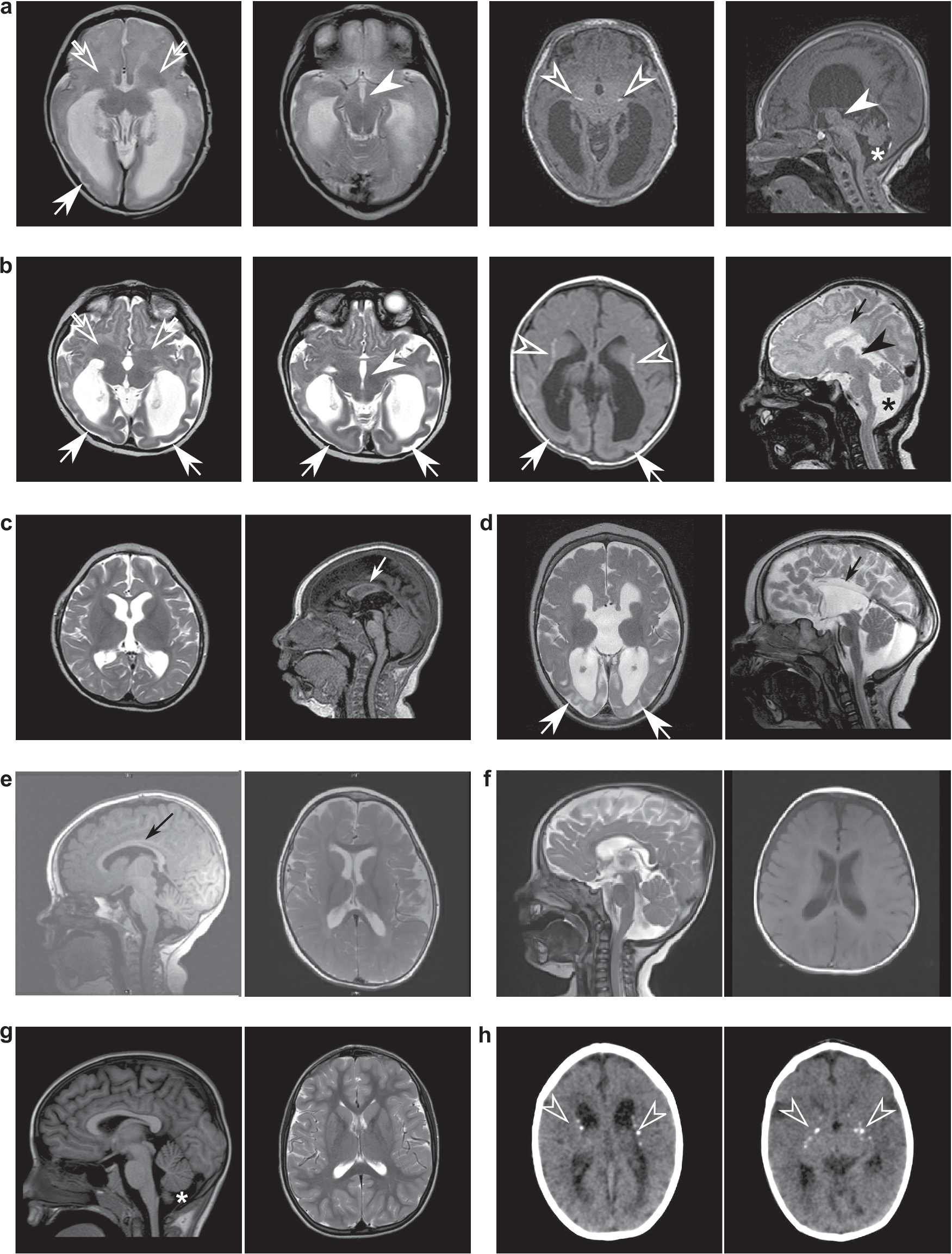
Fig. 2: Neuroanatomical heterogeneity in individuals with biallelic DENND5A variants.

Representative MRI slices from unrelated individuals with (a) homozygous p.Q1271R*67 variants (participant 5); (b) homozygous p.S728Qfs*34 variants (participant 14); (c) compound heterozygous p.K485E/p.R710H variants (participant 2); (d) compound heterozygous c.2283+1 G > T/p.K1007Efs*10 variants (participant 18); (e) compound heterozygous individual with variants c.950-20_950-17delTTTT/p.R1078Q (participant 9); (f) compound heterozygous individual with variants p.R1032T/p.T1039N (participant 30); and (g) compound heterozygous individual with variants p.K485E/p.R1159W (participant 8). h CT images from a homozygous individual with the variant p.V1202Afs*52 (participant 25). Arrows = posterior gradient of pachygyria/lissencephaly; open arrows = basal ganglia dysmorphism; arrowheads = diencephalic/mesencephalic junction dysplasia; open arrowheads = calcifications; small arrows = corpus callosum dysgenesis/agenesis; asterisks = cerebellar hypoplasia.