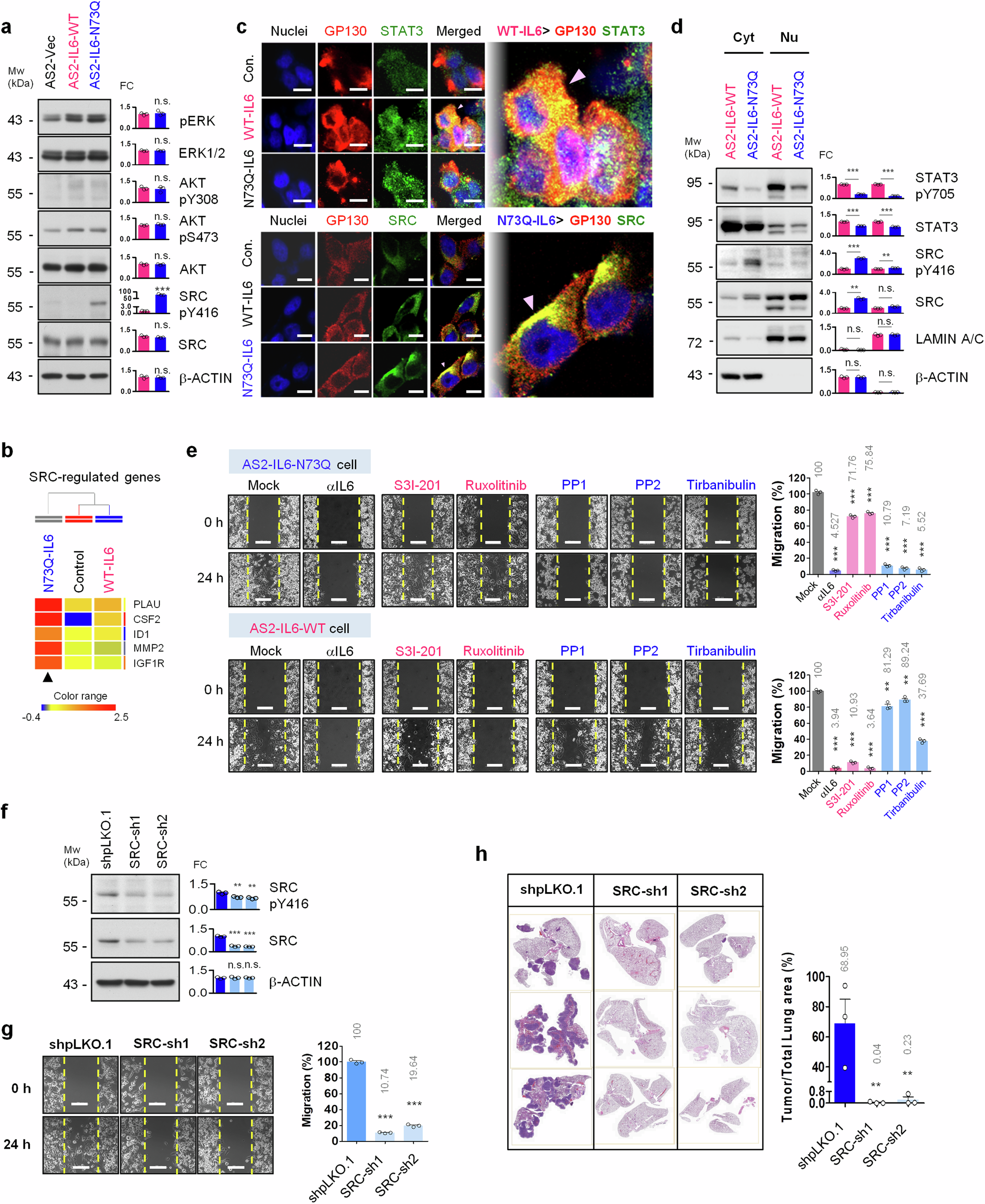
Fig. 4: deNG-IL6 Switches the GP130 Signaling Preference from the JAK-STAT3 Axis to the SRC-YAP Axis.

a Expression of proteins indicating the activation of ERK, AKT, and SRC in AS2-Vec, AS2-IL6-WT, and AS2-IL6-N73Q cells. n = 3 independent experiments, mean ± SEM, two-tailed unpaired t-test, pERK: n.s. p = 0.5646; ERK1/2: n.s. p = 0.9914; AKTpY308: n.s. p = 0.6477; AKTpS473: n.s. p = 0.0967; AKT: n.s. p = 0.7452; SRCpY416: ***p < 0.0001; SRC: n.s. 0.2598; β-ACTIN: n.s. p = 1.000. FC: fold change relative to AS2-IL6-WT. The samples derived from the same experiment but different gels for pERK, ERK1/2, AKTpY308, AKTpY473, AKT, SRCpY416, SRC, and β-ACTIN were processed in parallel. b Hierarchical clustering of N73Q-IL6-induced genes downstream of SRC identified by IPA. c Recruitment of STAT3 and SRC to WT-IL6- and N73Q-IL6-activated GP130 determined based on IF images acquired with an FV3000 microscope (60x). Images are representative of three technical replicates. Scale bars, 20 μm. d Expression of proteins indicating the activation of STAT3 and SRC in the cytosolic and nuclear fractions of the AS2-IL6-WT and AS2-IL6-N73Q cells. n = 3 independent experiments, mean ± SEM, two-tailed unpaired t-test, STAT3pY705: ***p < 0.0001, ***p < 0.0001; STAT3: ***p < 0.0001, ***p < 0.0001; SRCpY416: ***p < 0.0001, **p = 0.0065; SRC: ***p < 0.0001, **p = 0.0075; LAMIN A/C: n.s. p = 0.1567, n.s. p = 1.0000; β-ACTIN: n.s. p = 1.0000, n.s. p = 1.0000. FC: fold change relative to AS2-IL6-WT. The samples derived from the same experiment but different gels for STAT3pY705, STAT3, SRCpY416, SRC, LAMIN A/C, and β-ACTIN were processed in parallel. e Effect of IL6 antibody (5 μg/mL), JAK-STAT3 inhibitors (S3I-201 = 10 μM, ruxolitinib = 2.5 μM), and SRC inhibitors (PP1 = 10 μM, PP2 = 10 μM, tirbanibulin = 10 μM) on the migration of AS2-IL6-WT and AS2-IL6-N73Q cells through the space made by culture inserts. Images were obtained at 0 and 24 h. Scale bars, 200 μm. Quantitative results are next to the images. n = 3 independent experiments, mean ± SEM, two-tailed unpaired t-test, AS2-IL6-N73Q cells: ***p < 0.0001, ***p < 0.0001, ***p < 0.0001, ***p < 0.0001, ***p < 0.0001, ***p < 0.0001; AS2-IL6-WT cells: ***p < 0.0001, ***p < 0.0001, ***p < 0.0001, **p = 0.0026, **p = 0.0082, ***p < 0.0001. f Expression of SRC in the AS2-IL6-N73Q cells transduced with shSRC-bearing VSV-G particles. n = 3 independent experiments, mean ± SEM, one-tailed unpaired t-test, SRCpY416: **p = 0.0022, **p = 0.0011; SRC: ***p < 0.0001, ***p < 0.0001; β-ACTIN: n.s. p = 0.4500, n.s. p = 0.4267. FC: fold change relative to shpLKO.1. The samples derived from the same experiment but different gels for STAT3pY705, STAT3, SRCpY416, SRC, and β-ACTIN were processed in parallel. g Migration of the SRC-silenced AS2-IL6-N73Q cells. Scale bars, 200 μm. n = 3 independent experiments, mean ± SEM, one-tailed unpaired t-test, ***p < 0.0001, ***p < 0.0001. h In vivo metastasis of SRC-silenced AS2-IL6-N73Q cells injected intravenously into nude mice (n = 3 per cell type). TissueFAXS-acquired images of H&E-stained lungs are shown (left). The tumor area over the total lung area was quantified by HistoQuest. n = 3 animals in each group, mean ± SEM, one-tailed unpaired t-test, **p = 0.0062, **p = 0.0062. Source data are provided as a Source Data file.