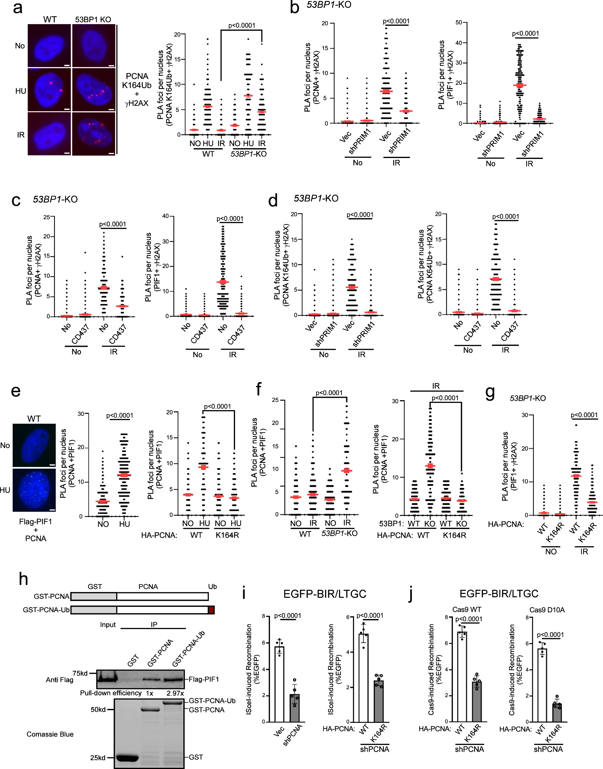
Fig. 5: Polα-primase activity is important for PCNA ubiquitination and PIF1 loading to deDSBs after IR to promote BIR.
From: 53BP1 deficiency leads to hyperrecombination using break-induced replication (BIR)

a PCNA ubiquitination (K164) at γH2AX sites was analyzed by PLA in U2OS WT and 53BP1-KO cells before or after treatment with HU (1āmM, 24āh) or IR (4āGy, 2āh after for PLA). Left: representative PLA images. Right: quantification of PLA foci per nucleus. Also see Supplementary Fig. 8a. Scale bar = 2 μm. (nā=ā300 cells). b Recruitment of PCNA (left) and PIF1 (right) to γH2AX sites was analyzed by PLA in U2OS 53BP1-KO cells expressing shRNA targeting PRIM1 upon IR (4āGy, 2āh after for PLA). Quantification of PLA foci per nucleus is displayed. Also see Supplementary Fig. 8b. (nā=ā310 cells). c Recruitment of PCNA (left) and PIF1 (right) to γH2AX sites was analyzed by PLA in U2OS 53BP1-KO cells in the presence of Polα inhibitor CD437 (10āμM) upon IR (4āGy, 2āh after for PLA). Quantification of PLA foci per nucleus is displayed. Also see Supplementary Fig. 8c. (nā=ā300 cells). d PCNA ubiquitination (K164) at γH2AX sites was analyzed by PLA in U2OS 53BP1-KO cells expressing shRNAs targeting PRIM1 (left) or in the presence of Polα inhibitor CD437 (10āμM, right) upon IR (4āGy, 2āh after for PLA). Quantification of PLA foci per nucleus is displayed. Also see Supplementary Fig. 8d. (nā=ā306 cells). e PLA was performed to assay for the interactions of stably expressing Flag-PIF1 with endogenous PCNA in U2OS cells (left and middle) or with expressed HA-PCNA-WT and HA-PCNA-K164R (right) with or without HU treatment (1āmM, 24āh). Left: representative PLA images. Right: quantification of PLA foci per nucleus. Also see Supplementary Fig. 8e. Scale bar =2 μm. (nā=ā300 cells). f PLA was performed to assay for the interactions of stably expressing Flag-PIF1 with endogenous PCNA in U2OS WT and 53BP1-KO cells (left) or with expressed HA-PCNA-WT and HA-PCNA-K164R (right) with or without IR (4āGy, 2āh after for PLA). Quantification of PLA foci per nucleus is displayed. Also see Supplementary Fig. 8f. (nā=ā300 cells). g Recruitment of PIF1 to γH2AX sites was analyzed by PLA in U2OS cells expressing HA-PCNA-WT or K164R with endogenous PCNA depleted by shRNA upon IR (4āGy, 2āh after for PLA). Quantification of PLA foci per nucleus is displayed. Also see Supplementary Fig. 8g. (nā=ā296 cells). a to g: Three experiments were performed with ā¼100 nuclei analyzed in each experiment. Quantification of PLA foci per nucleus from a total of ~300 nuclei are displayed. h A schematic drawing depicts GST-PCNA and GST-PCNA-Ub (top). Pull-down experiments were performed using GST-PCNA, GST-PCNA-Ub or GST and Flag-PIF1 expressing in 293āT cells. Anti-Flag Western blotting and Coomassie blue staining for GST proteins are shown (bottom). The relative fold of Flag-PIF1 Western signals over GST-PCNA or GST-PCNA-Ub is indicated as pull-down efficiency. i and j BIR frequency was determined in U2OS (EGFP-BIR/LTGC) cells expressing PCNA shRNA with vector as a control 5 days after I-Sce1 expression (i, left), or in cells expressing HA-PCNA-WT or HA-PCNA-K164R with endogenous PCNA depleted by shRNA, 5 days after I-Sce1 expression (i, right) or Cas9WT (j, left) and Cas9D10A (j, right) expression. (nā=ā5 replicates). Source data are provided as a Source data file.