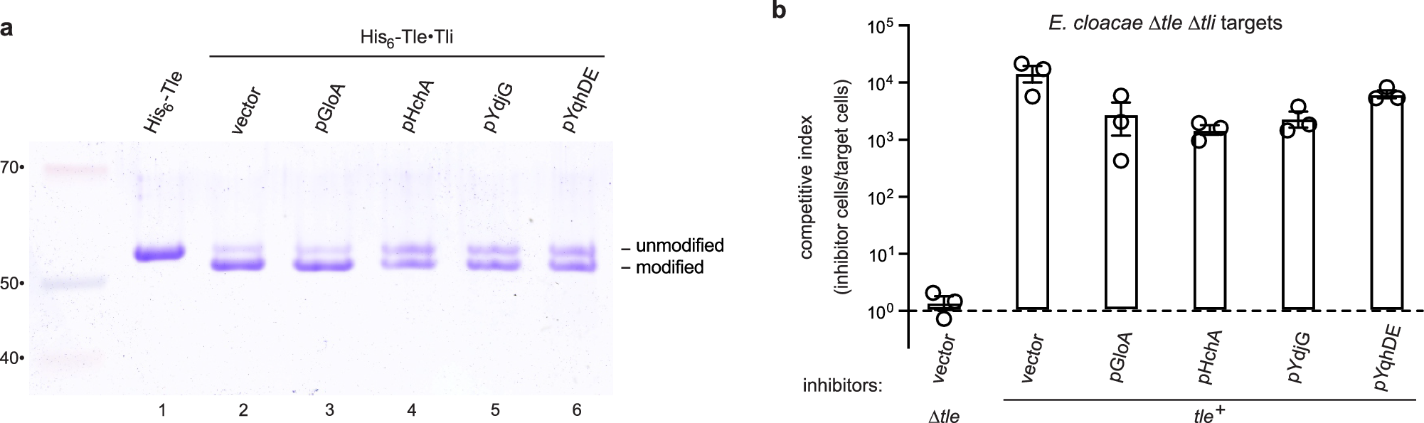
Fig. 4: Aldehyde reductases suppress Tle crosslinking.

a His6-Tle was produced with Tli in E. coli cells that overexpress the indicated methylglyoxal detoxification enzymes. His6-Tle was purified by Ni2+-affinity chromatography under denaturing conditions and analyzed by SDS-PAGE. Molecular mass markers (kDa) are on the left. b Competition co-cultures. E. cloacae inhibitor strains that overexpress methylglyoxal detoxification enzymes were co-cultured with E. cloacae ∆tle-tli target bacteria and viable cells enumerated as described in Methods. Competitive indices are averages ± standard error for three independent experiments. Source data are provided as a Source Data file.