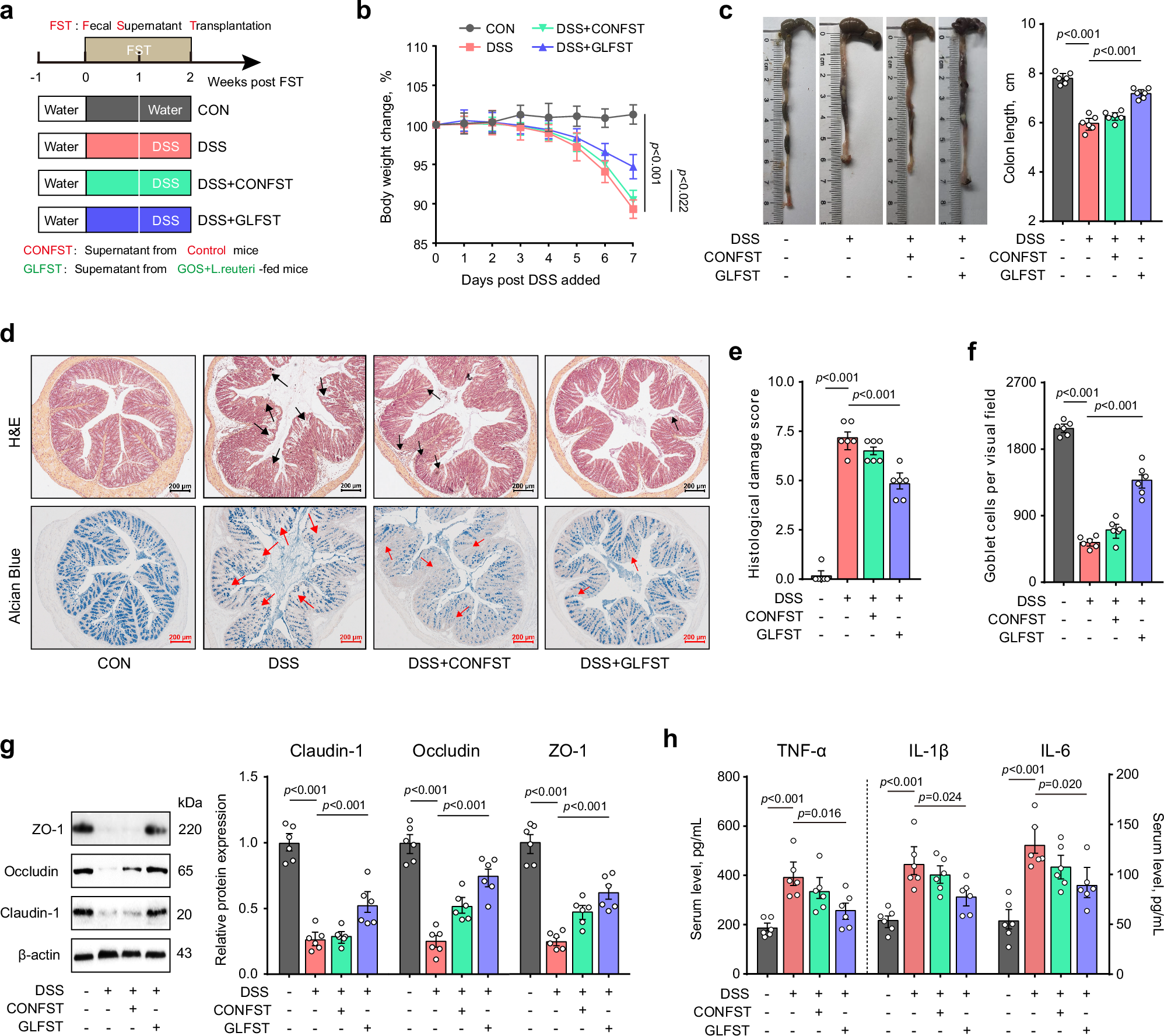
Fig. 4: Fecal supernatant of the symbiotic-supplemented mice alleviates the intestinal inflammation and barrier dysfunction.

After a week of acclimation, bacterial cell-free supernatant of the fecal microbiota was prepared from the mice fed standard chow (CONFST) or GOS/L. reuteri (GLFST) and orally administered to 8-week-old male C57BL/6 J mice (n = 6 per group) for two weeks. Colitis was induced in mice by providing 3% DSS in the second week. a, b Study design and body weight change in DSS-treated mice with/without treatment with CONFST or GLFST. c–f The length, H&E staining, Alcian blue staining, histological damage score, and goblet cells number in the colon of DSS-treated mice with or without treatment with CONFST or GLFST. Relative protein expressions of tight junction proteins in the colon (g) and serum concentrations of pro-inflammatory cytokines (h) of DSS-treated mice with or without treatment with CONFST or GLFST. Samples for western blot were derived from the same experiment and gels/blots were processed in parallel. One-way ANOVA with Tukey’s test was used for statistical analysis. Data were presented as mean ± SEM. Source data were provided as a Source Data file.