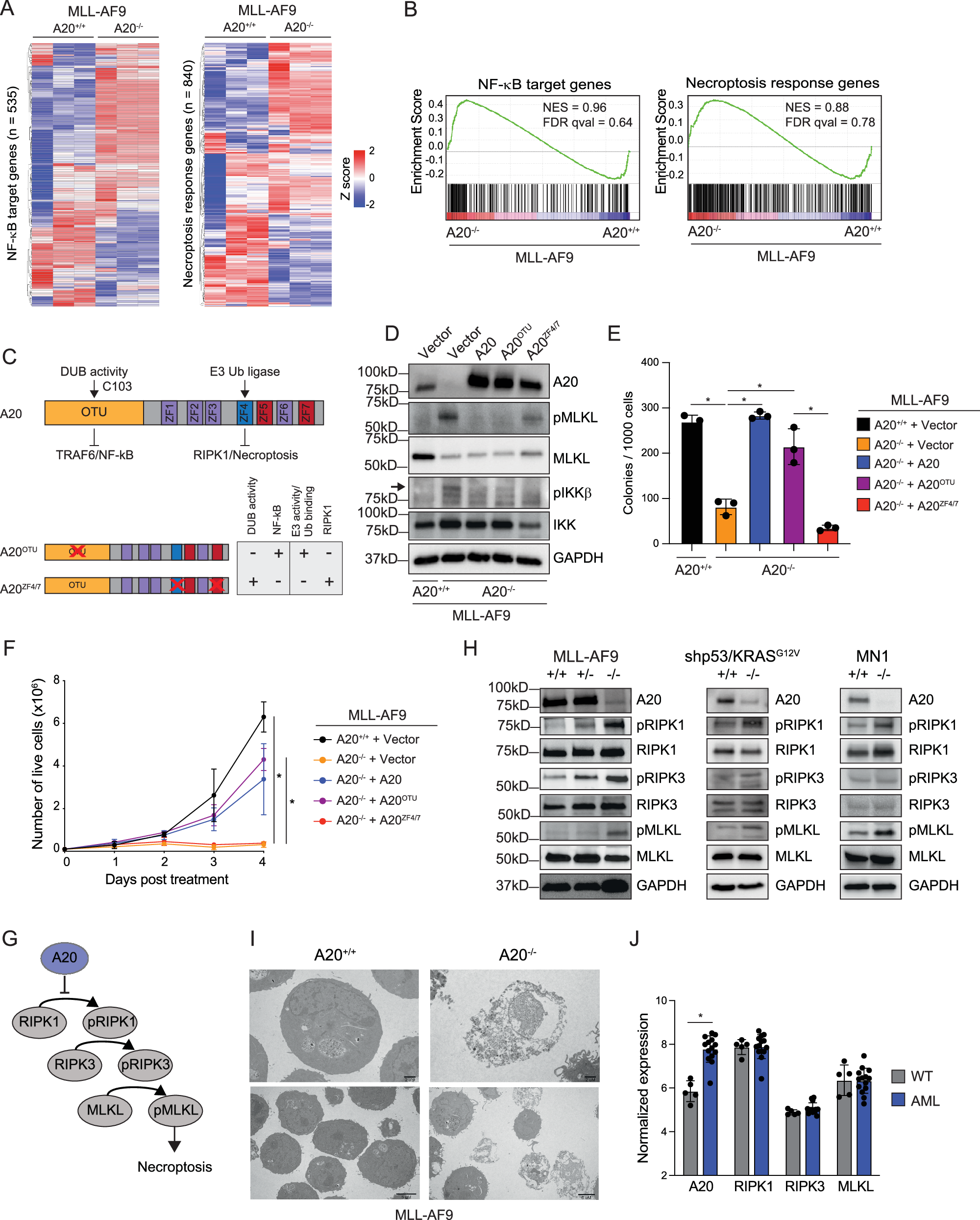
Fig. 4: A20 protects leukemic cells from necroptosis.

A Differentially expressed genes in A20+/+ and A20–/– MLL-AF9 cells (2-fold, P < 0.05, n = 3). B GSEA plots of NF-κB target genes and necroptosis response genes in A20+/+ and A20–/– MLL-AF9 cells. C Schematic of A20 functional domains. Deubiquitinase activity is conferred by C103 in the OTU domain and is lost in the A20OTU mutant. E3 ubiquitin ligase activity conferred by zinc finger 4 (ZF4), is required for RIPK1 activation and necroptosis and is lost in the A20ZF4/7 mutant. Immunoblot (D), colony forming assay (E), and proliferation assay showing live cells by trypan blue exclusion (F) in A20+/+ MLL-AF9 cells expressing empty vector and A20–/– MLL-AF9 cells expressing either empty vector, A20, A20OTU, or A20ZF4/7 (n = 3 technical replicates in 3 independent experiments). Student’s t test (unpaired, two-tailed) was used to determine significance in (E, F). G Necroptosis activation process. Necrosome effectors, RIPK1, RIPK3, and MLKL, are phosphorylated leading to necroptosis. A20 inhibits necroptosis by causing degradation of RIPK1 via the proteasome. H Immunoblot of necroptosis effectors in A20+/+ and A20–/– cells in MLL-AF9, shp53;KRASG12V, and MN1 leukemia models after 48 h of treatment with 4-OHT. Representative image from at least 2 independent replicates. I Transmission electron microscopy of A20+/+ and A20–/– MLL-AF9 cells after 24 h of treatment with 4-OHT (n = 2 independent experiments, each consisting of 3 technical replicates). J Expression of necroptosis effectors in AML patient GMPs versus healthy control GMPs (GSE35008 and GSE35010) (n = 5 healthy controls, n = 14 AML patients). Student’s t test (unpaired, two-tailed) was used to determine significance. Error bars represent the standard error of the mean. *P < 0.05; **P < 0.01; ***P < 0.001. In each of the immunoblots (D, H), all samples were derived from the same experiment, but different gels for each antibody were processed in parallel. Source data are provided as a source data file.