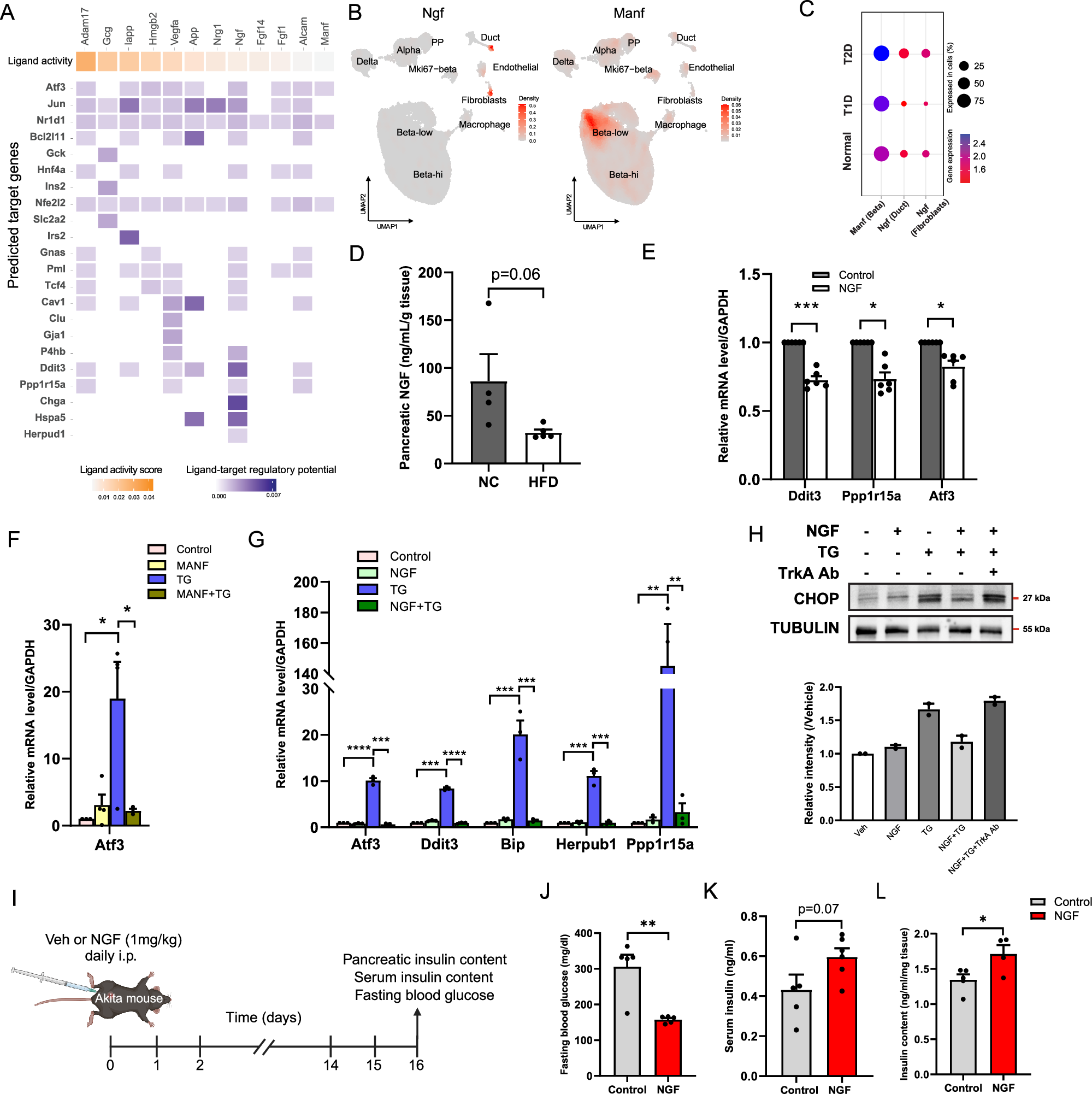
Fig. 6: Cell-cell communication analysis reveals the role of NGF in ameliorating excessive ER stress in β cells.
From: Heterogeneous enhancer states orchestrate β cell responses to metabolic stress

A Heatmap showing NicheNet predicted ligand-target pairs between beta cells and other cell types. B UMAP shows restricted expression patterns of Ngf and Manf. C Published single-cell gene expression data of Manf in β cells (left), Ngf in ductal cells, and fibroblasts (right two) from normal and diabetic mouse islets. D Pancreatic NGF content in male mice (B6) fed with normal chow (NC) and HFD for 16 weeks (n = 4 (NC) or 5(HFD) biologically independent samples). Data shown as mean ± S.E.M. Analysis was done using two-tailed Student’s t-test. E RT-qPCR of Ddit3, Ppp1r15a, and Atf3 expression in HFD-fed mice islets treated with or without NGF. Data are shown as mean ± S.E.M. (n = 6 biologically independent experiments). Analysis was done using two-tailed Student’s t-test. *p < 0.05, **p < 0.01, and ***p < 0.001. F RT-qPCR of Atf3 expression in TG-stressed MIN6 cells treated with or without MANF (100 ng/ml). Data are shown as mean ± S.E.M. (n = 3 biologically independent experiments (MANF + TG), n = 4 biological independent experiments (Ctrl, MANF, TG)). Analysis was done using two-tailed Student’s t-test. *p < 0.05, **p < 0.01, and ***p < 0.001. G RT-qPCR of Atf3, Ddit3, Hspa5, Herpub1, and Ppp1r15a in TG-stressed MIN6 cells treated with or without NGF (100 ng/ml). Data shown as mean ± S.E.M. (n = 4 biological independent experiments). Analysis was done using two-tailed student’s t-test. *p < 0.05, **p < 0.01, and ***p < 0.001. H Western blotting (top) and relative band intensity (bottom) showing CHOP (Ddit3) protein levels in TG-stressed MIN6 cells treated with or without NGF. I Schematic of experimental design for NGF administration in Akita mice. Created in BioRender. Wu, J. (2023) BioRender.com/a64z386. J 16-hour fasting blood glucose level of Vehicle or NGF-treated Akita mice. (n = 5 (control) or 5 (NGF) animals per group). K Ad lib serum insulin level measured by ELISA. (n = 5 (control) or 6(NGF) animals per group). L Whole pancreas insulin content measured by ELISA. All data are shown as mean ± S.E.M. (n = 5 (control) or 4 (NGF) animals per group). Analysis was done using two-tailed Student’s t-test. *p < 0.05, **p < 0.01. Source data and exact p values are provided as a Source Data file.