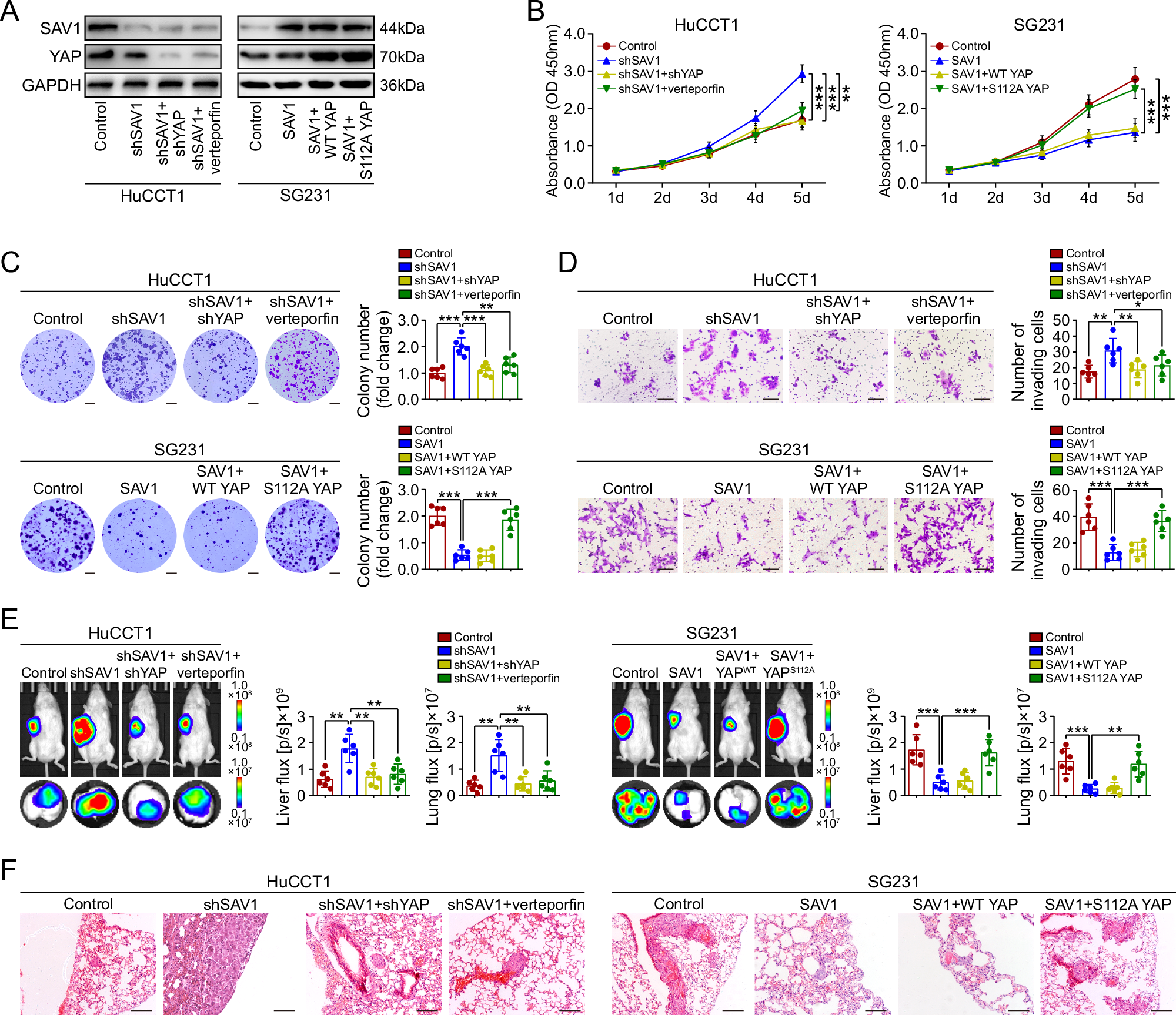
Fig. 7: SAV1 inactivation promotes ICC growth and metastasis by activating YAP.

A Western blot showed the expression of SAV1 and YAP in stably transfected ICC cells. B Proliferation of YAP knockdown or verteporfin (1 μg/ml) -treated HuCCT1 cells following SAV1 knockdown and of SG231 cells expressing wild-type YAP or S112A YAP following SAV1 overexpression compared with that of controls. Student’s t-test, two-sided, **P < 0.01, ***P < 0.001, n = 4, errors are in ±SD. C Colony formation activity of YAP-knockdown or verteporfin-treated HuCCT1 cells following SAV1 knockdown and of SG231 cells expressing wild-type YAP or S112A YAP following SAV1 overexpression compared with that of controls. The bar graphs illustrate quantification of the colony formation assay. Student’s t-test, two-sided, **P < 0.01, ***P < 0.001, n = 6, errors are in ±SD. Scale bar: 400 μm. D Invasion activity of YAP-knockdown or verteporfin-treated HuCCT1 cells following SAV1 knockdown and of SG231 cells expressing wild-type YAP or S112A YAP following SAV1 overexpression compared with that of controls. The graphs depict the number of invasive cells after 48 h. Student’s t-test, two-sided, *P < 0.05, **P < 0.01, ***P < 0.001, n = 6, errors are in ±SD. Scale bar: 100 μm. E, F Representative bioluminescence images of mouse liver tumors and pulmonary metastasis, and H&E stained images of metastatic nodules in lungs. The color-scale bar depicts the photon flux emitted from the mice. Student’s t-test, two-sided, **P < 0.01, ***P < 0.001, n = 6, errors are in ±SD. Scale bar: 100 μm. sh short hairpin RNA, WT wild-type, MT mutation-type. Source data are provided as a Source Data file.