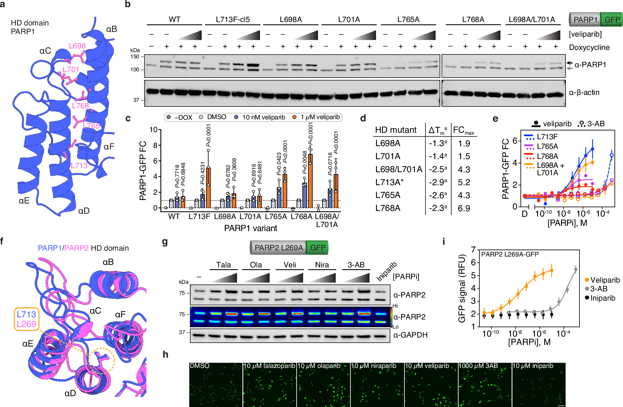
Fig. 2: Delineation and expansion of CeTEAM-permissive mutations with PARP1/2.
From: Coupling cellular drug-target engagement to downstream pharmacology with CeTEAM

a Leucine residues of interest (magenta) within the PARP1 HD domain (PDBID: 7KK2, made with Protein Imager93). b A representative western blot of inducible C-terminal GFP-tagged PARP1 variants in U-2 OS cells incubated with DMSO, 10 nM, or 1 µM veliparib for 24 hours. Black arrow – PARP1-GFP; gray arrow – endogenous PARP1. c Quantitation of PARP1-GFP variant fold change relative to DMSO control (light gray) following 10 nM (blue) or 1 µM veliparib (orange; related to a). GFP abundance normalized to β-actin and no (–) DOX controls are shown for each variant. Means of n = 3 ± SD. Means of n = 2 shown for –DOX controls. P values shown for two-way ANOVA with multiple comparisons to each DMSO control (Dunnett’s test; F [DFn, DFd]: FInteraction [12, 42] = 4.899, FRow Factor [6, 42] = 10.15, FColumn Factor [2, 48] = 52.01). d Comparison of HD mutant thermal stability changes from Langelier et al. to fold change (over DMSO control) after 1 µM veliparib treatment (from c). a – denotes reported values from Langelier et al., * – thermal stability change reported for L713A. e Live-cell fluorescence fold change of functional PARP1-GFP CeTEAM variants with veliparib (solid) or 3-AB (open/dashed) dose response after 24 hours. Means shown ± SEM (for nL713F–v: 4, nL713F–3AB: 3); means and range for all others (n = 2). f Overlay of PARP1 (blue, PDBID: 7KK2) and PARP2 (magenta, PDBID: 3KCZ) HD domains with L713/L269 denoted (made with Protein Imager93). g A representative western blot (from n = 2) demonstrating stabilization of constitutive PARP2 L269A-GFP in U-2 OS cells by various PARPi after 24 hours (3-AB – 100 µM and 1 mM, iniparib – 20 µM, all others – 10 nM and 1 µM). A psuedocolor density depiction in RFU is also shown. h Example GFP fluorescence micrographs of PARP2 L269A-GFP after 24-hr PARPi treatment. Nuclei are demarcated by outlines and scale bar = 100 µm. i Live-cell PARP2 L269A-GFP fluorescence following 24-hr dose-response with either veliparib (orange), 3-AB (gray), or iniparib (black). Means of n = 5 ± SEM. FC fold change, RFU relative fluorescence units.