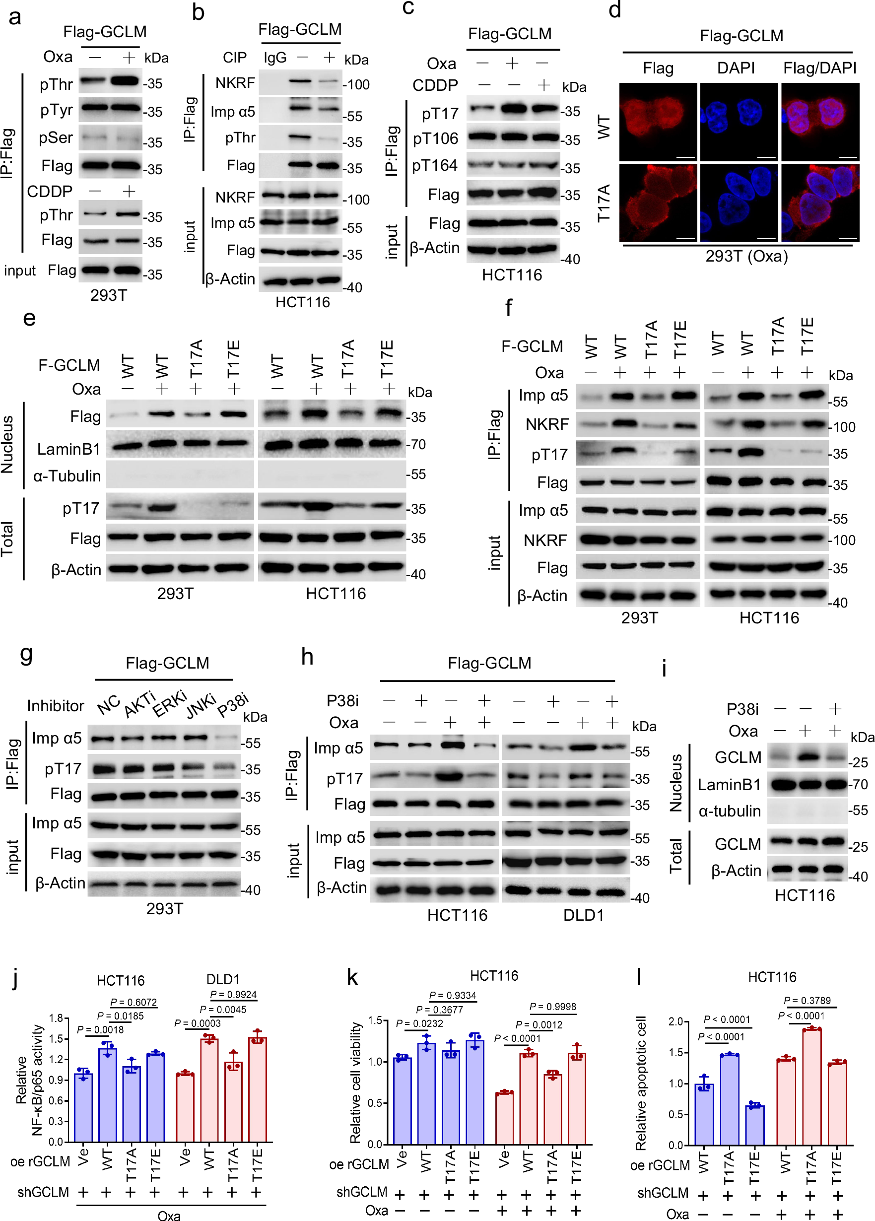
Fig. 5: P38 MAPK-mediated phosphorylation of GCLM participates in platinum drug-induced nuclear localization of GCLM.

a IP analysis showing the level of GCLM phosphorylated at threonine (pThr), serine (pSer) and tyrosine (pTyr) residues in 293 T cells treated with oxaliplatin or cisplatin (40 μM, 24 h). b Co-IP analysis showing the level of NKRF and importin α5 bound by GCLM in HCT116 cells treated with calf intestinal phosphatase (CIP) that resulted in GCLM dephosphorylation. c IP analysis showing the level of GCLM phosphorylated at Thr17, Thr106 and Thr164 in HCT116 cells treated with oxaliplatin or cisplatin (40 μM, 24 h). d IF staining showing the localization of Flag-GCLM in 293 T cells overexpressing Flag-tagged GCLM WT or T17A mutant with oxaliplatin treatment (40 μM, 24 h). Scale bar = 10 μm. e, f 293 T and HCT116 cells overexpressed the Flag-tagged GCLM WT or T17A, T17E mutant with or without oxaliplatin treatment (40 μM, 24 h). IB detection of nuclear and total GCLM expression (e) and Co-IP analysis showing the levels of importin α5 and NKRF interacting with GCLM (f). g 293 T cells were treated with the inhibitors of AKT (AKTi, MK-2206, 5 μM), ERK (ERKi, PD98059, 10 μM), JNK (JNKi, SP600125, 20 μM) or P38 MAPK (P38i, SB203580, 10 μM) for 24 h. Co-IP analysis showing the GCLM-importin α5 interaction and the level of GCLM phosphorylated at Thr17. h, i CRC cells were treated with control or P38 MAPK inhibitor (P38i, SB203580, 10 μM) in the presence or absence of oxaliplatin treatment (40 μM for HCT116, 80 μM for DLD1, 24 h). Co-IP analysis showing the level of importin α5 interacting with GCLM (h) and IB detection of nuclear and total GCLM expression (i). The transcriptional activity of NF-κB/p65 (j), cell viability (k) and apoptotic cells (l) in GCLM-knockdown HCT116 or DLD1 cells overexpressing rGCLM WT or T17A, T17E mutants with or without oxaliplatin treatment (40 μM, 24 h). IB experiments were repeated three times and n = 3 biologically independent experiments in (j–l). All the data are presented as the mean ± S.D. The P values were calculated by one-way ANOVA (j) and two-way ANOVA (k, l).