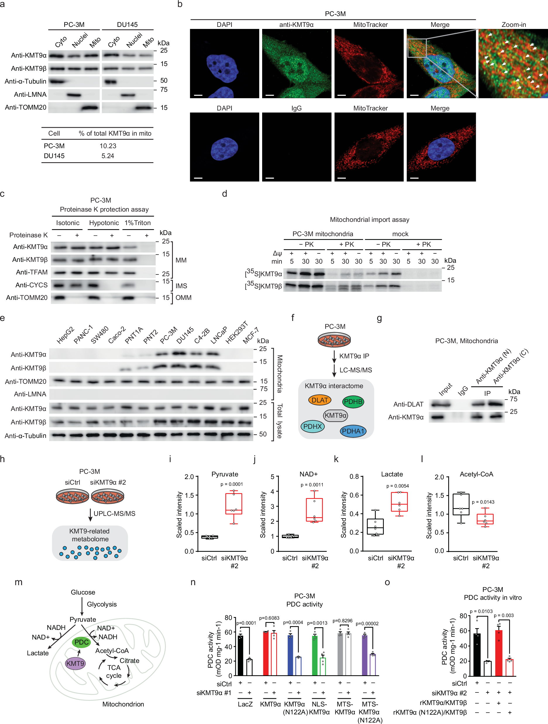
Fig. 1: KMT9 is localized in mitochondria and regulates PDC activity in PCa cells.

a Subcellular fractionation analysis of PC-3M or DU145 cells with quantification of mitochondrial KMT9α percentage. b Immunofluorescence staining of PC-3M cells showing KMT9α, mitochondria (MitoTracker), and nuclei (DAPI). Scale bar: 5 μm. c Proteinase K protection assay for mitochondria isolated from PC-3M cells. TFAM (mitochondrial matrix, MM), CYCS (intermembrane space, IMS), and TOMM20 (outer mitochondrial membrane, OMM) served as controls for compartmental digestion. d Import of [35S]-labeled KMT9α and KMT9β into mitochondria isolated from PC-3M cells. Δψ, membrane potential; PK, proteinase K. e Presence of KMT9α and KMT9β in mitochondrial extracts of diverse cancer and non-cancer cell lines was revealed by Western blot analysis using the indicated antibodies. f Schematic illustration of KMT9α interactome in PC-3M cells. g Co-immunoprecipitation using antibodies against either the N-terminus (N) or the C-terminus (C) of KMT9α showing the interaction between DLAT and KMT9α in mitochondrial lysates. (Input: 5% of total extract). h Schematic illustration of global metabolomics analyses in siCtrl or siKMT9α-treated PC-3M cells. i–l Relative abundance of pyruvate (i), NAD+ (j), lactate (k), and acetyl-CoA (l) identified by global metabolomics analyses in siCtrl or siKMT9α-treated PC-3M cells. m Schematic showing pyruvate conversion to acetyl-CoA by PDC in mitochondria. n PDC activity in PC-3M cells expressing different KMT9α variants with or without endogenous KMT9α depletion. o Restoration of PDC activity in vitro. Extracts of PC-3M cells transfected with siCtrl or siKMT9α were supplemented with recombinant wildtype KMT9 heterodimer (rKMT9α/KMT9β) or catalytically inactive heterodimer (rKMT9α (N122A)/KMT9β). i–l, n, o Data are shown as box plots (i–l n = 6 biological replicates; center line indicates median, box bounds show 25th and 75th percentiles, whiskers represent minimum and maximum values within 1.5 times the interquartile range) or mean + SD (n, o n = 4 biological replicates). Statistical significance was determined by two-sided Welch’s two-sample t-test with false discovery rate (FDR) correction (i–l) or two-sided Student’s t-test (n, o). (a–e, g, n, o). All experiments were independently repeated at least three times with similar results. Source data are provided as a Source Data file.