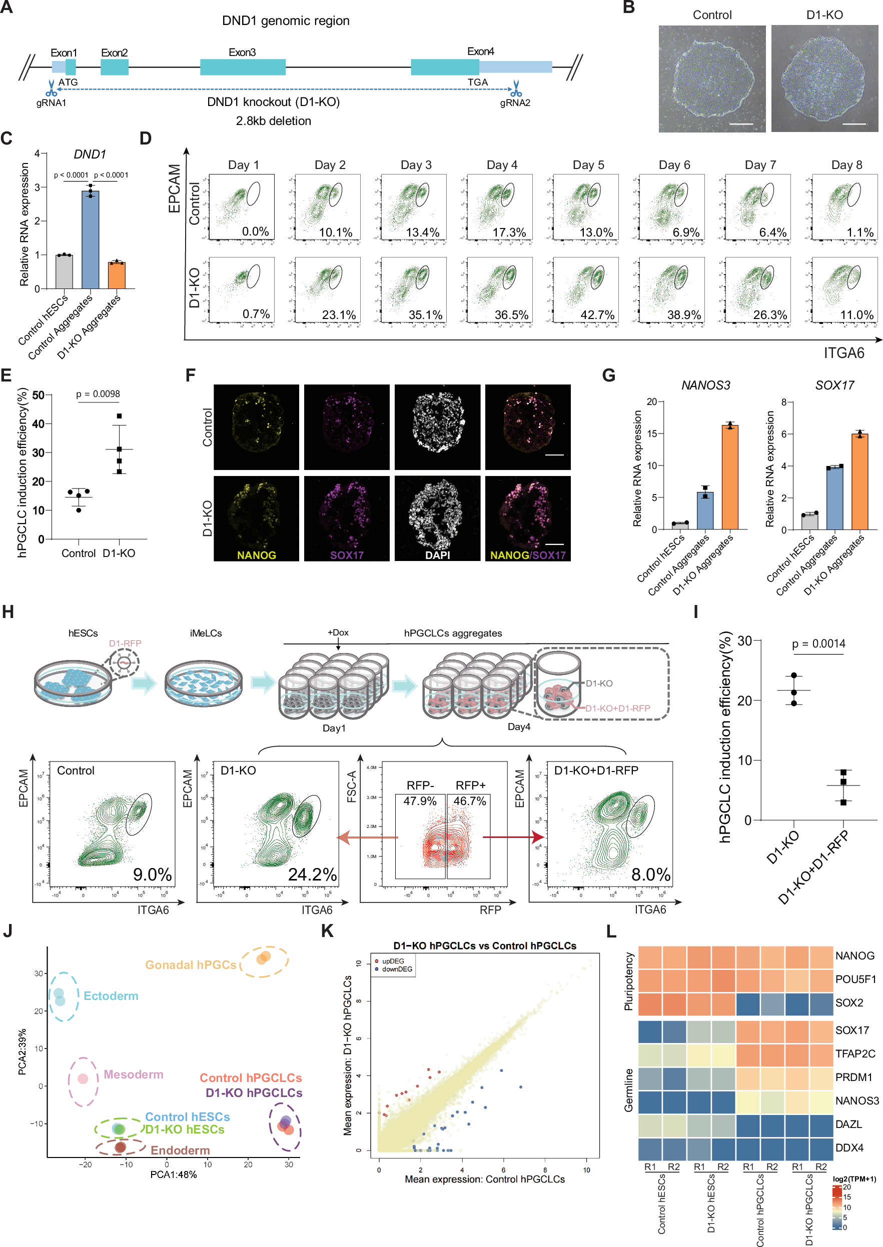
Fig. 1: D1 restricts the specification of hPGCLCs from hESCs.
From: RNA-binding proteins DND1 and NANOS3 cooperatively suppress the entry of germ cell lineage

A Illustration showing the knock-out of the genomic region of DND1 (D1-KO) based on CRISPR/Cas9 strategy. B The morphology of control and D1-KO hESCs. Scale bar: 200 μm. C RT-qPCR showing relative RNA expression of D1 in control hESCs, control, and D1-KO day 4 hPGCLC aggregates. Mean with standard deviation (SD) from n = 3 experiments. Unpaired t test; two-tailed P value. Source data are provided as a Source Data file. D FACS analysis showing the percentages of hPGCLCs from day 1 to day 8 from control and D1-KO hESCs. EPCAM: Epithelial cell adhesion molecule/CD326, ITGA6: Integrin alpha-6/CD49f. E Statistics of hPGCLC percentages induced from control and D1-KO hESCs. Mean with SD from n = 4 experiments. Unpaired t test; two-tailed P value. Source data are provided as a Source Data file. F Immunofluorescence of NANOG (yellow) and SOX17 (magenta) in control and D1-KO day 4 hPGCLC aggregates. Scale bar: 40 μm. Representative images from three independent experiments. G RT-qPCR showing relative expression levels of NANOS3 and SOX17 in control hESCs, control and D1-KO day 4 hPGCLC aggregates. Source data are provided as a Source Data file. H Top: Schematic illustration showing the rescue strategy in hPGCLC induction. Bottom: FACS analysis showing the percentages of hPGCLCs using control and D1-KO + D1-RFP hESCs. iMeLCs: incipient mesoderm/primitive streak-like cells. I Statistics of hPGCLC percentages induced from D1-KO (RFP negative) and D1-KO + D1-RFP (RFP positive) day 4 hPGCLCs. Mean with SD from n = 3 experiments. Unpaired t test; two-tailed P value. Source data are provided as a Source Data file. J PCA plot showing the transcriptomes of control and D1-KO hESCs, control and D1-KO day 4 hPGCLCs, gonadal hPGCs8, and hESC-derived endoderm, mesoderm, and ectoderm. K Plot showing the DEGs of control and D1-KO day 4 hPGCLCs. L Heatmap showing the expression of pluripotency and PGC marker genes in control and D1-KO hESCs, sorted control, and D1-KO day 4 hPGCLCs. R replicate. See also Supplementary Fig. 1.