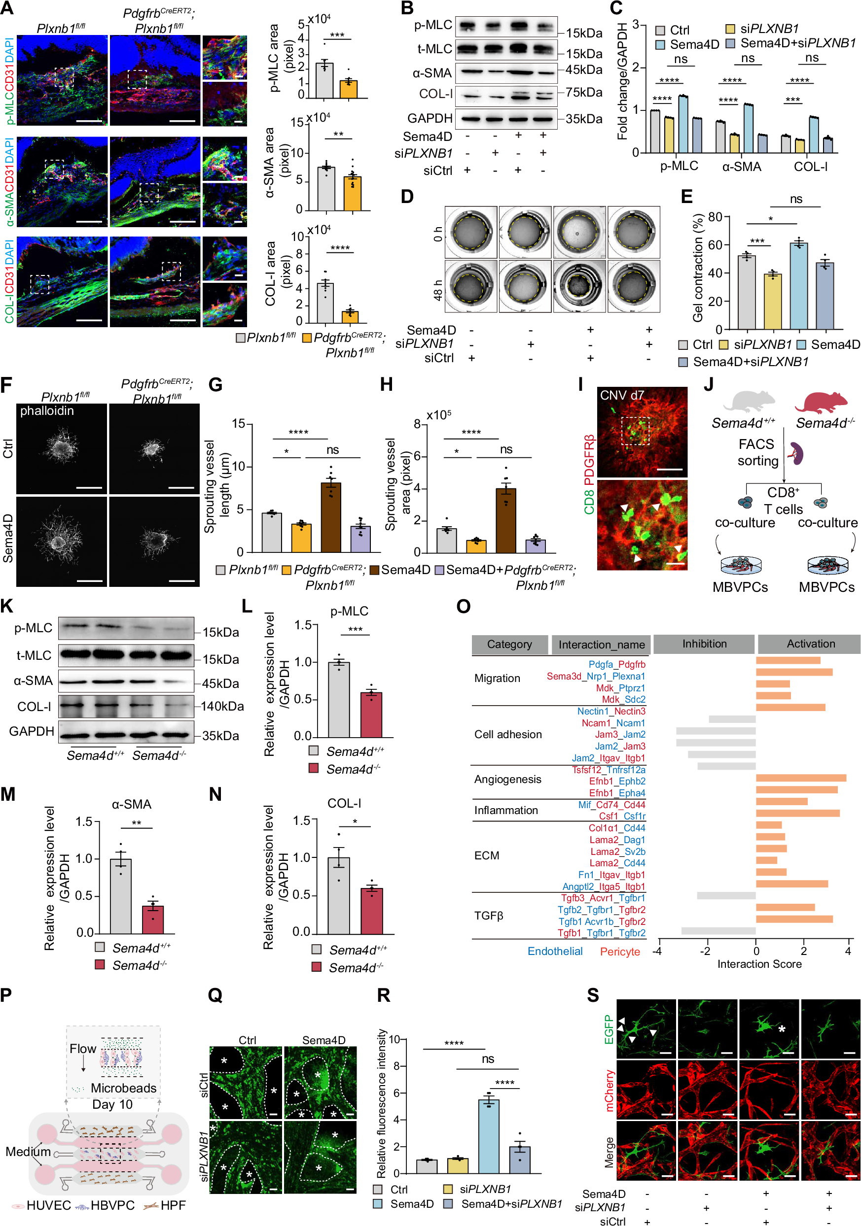
Fig. 5: PlexinB1 on Pericytes Mediates Smoking-Aggravated CNV.

A Immunofluorescence staining of frozen eye sections from Plxnb1fl/fl and PdgfrbCreERT2; Plxnb1fl/fl mice. p-MLC/α-SMA/COL-I (green), CD31 (red), and DAPI (blue) were stained. Quantification of p-MLC (n = 6/8), α-SMA (n = 8/12), and COL-I (n = 8/7). Mean ± SEM, P = 0.0005, 0.0017, < 0.0001 (two-tailed Student’s t test). B, C HBVPCs transfected with siCtrl or siPLXNB1 and treated with Sema4D or vehicle. Representative blots (B) and quantification (C) of p-MLC/α-SMA/COL-I expression (n = 4/4/4/4). Mean ± SEM, P = < 0.0001, < 0.0001, 0.4917, < 0.0001, < 0.0001, 0.8724, 0.0008, < 0.0001, 0.1785 (one-way ANOVA, Tukey’s test). D, E Contracted gel (D) and quantification (E) of HBVPCs treated as in (B) (n = 4/4/4/4). Mean ± SEM, P = 0.0007, 0.0389, 0.0944 (one-way ANOVA, Tukey’s test). F Laser-induced choroid explants from Plxnb1fl/fl and PdgfrbCreERT2; Plxnb1fl/fl mice stimulated with Sema4D or vehicle. Representative confocal images of phalloidin-stained explants. G, H Quantification of sprouting vessel length (G) and area (H) (n = 7/7/8/9). Mean ± SEM, P = 0.0218, < 0.0001, 0.9037, < 0.0269, < 0.0001, 0.9993 (one-way ANOVA, Tukey’s test). I RPE-choroid flat mounts showing CD8+ T cells and pericytes on CNV day 7. J Scheme of co-culture of CD8+ T cells (from Sema4d+/+ or Sema4d-/- mice) and MBVPCs for 48 h. K–N Representative blots (K) and quantification of p-MLC/α-SMA/COL-I (L–N) in MBVPCs treated as in (J) (n = 4/4). Mean ± SEM, P = 0.0004, 0.0013, 0.0255 (two-tailed Student’s t test). O Changes in pericyte-endothelial cell interactions in CNV and CNV+Smoke groups. The bar graph shows interaction probability. P Schematic of vascular leakage assay in microfluidic chips. Q, R Representative images (Q) and quantification (R) of leaked FITC-microbeads in ECM (asterisks) (n = 6/6/6/6). Mean ± SEM, P = < 0.0001, 0.1209, < 0.0001 (one-way ANOVA, Tukey’s test). S Representative images of the vascular network. Arrowheads indicate pericyte cellular processes, asterisk indicates detached pericyte. *P < 0.05, **P < 0.01, ***P < 0.001, ****P < 0.0001. Scale bars: 5 µm (A right, I lower), 50 µm (A left, middle, I upper, Q, S), 1 mm (F). Source data are provided as a Source Data file.