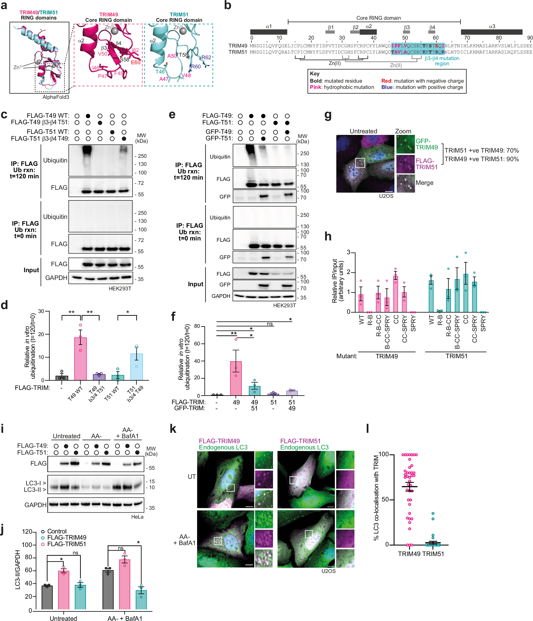
Fig. 5: TRIM49 and TRIM51 form an active:inactive pair that cross-regulate, with conflicting effects on autophagy.
From: Identification of RING E3 pseudoligases in the TRIM protein family

a AlphaFold3 structural predictions of RING domains of TRIM49 (pink) and TRIM51 (aqua) (predicted as dimers with Zn2+, monomers shown). b Sequence alignment of TRIM49 and TRIM51. c Western blots of FLAG-tagged wild-type (WT) or mutant TRIM49 and 51 proteins immunoprecipitated from HEK293T cells, which were then used in an in vitro ubiquitination assay with 1 μM UBE2D1 (n = 3). d Quantification of n = 3 independent experiments as described in (c). Circles: individual values, error bars: mean ± SEM (two-tailed t-tests, P values left to right: 0.0075, 0.0075 and 0.0433 (ns > 0.05, * < 0.05, ** < 0.01, *** < 0.001)). e Western blots of FLAG-tagged TRIM proteins immunoprecipitated from HEK293T cells, with or without co-expression of GFP-tagged TRIMs, that were used in an in vitro ubiquitination assay as described for (c) (n = 3). f Quantification of n = 3 independent experiments as described in (e). Circles: individual values, error bars: mean ± SEM (two-tailed t-tests, P values left to right: 0.0030, 0.2254, 0.0375, 0.0072 and 0.0268 (ns > 0.05, * < 0.05, ** < 0.01, *** < 0.001)). g Representative images showing the co-localisation of GFP-TRIM49 (green) with FLAG-TRIM51 (magenta) in U2OS cells, with DAPI-stained nuclei in blue (n = 3). Scale bars: 10 μm. h Quantification of western blotting of n = 3 independent experiments analysing the interaction of truncation mutants FLAG-TRIM49 and GFP-TRIM51 using co-immunoprecipitation (n = 3). Circles: individual values, error bars: mean ± SEM (Supplementary Fig. 7). i Western blots against whole cell lysates of HeLa cells either untreated or treated for 4 h HBSS (AA−) ± 50 nM Bafilomycin A1 (BafA1) (n = 3). j Quantification of western blots of LC3-II relative to GAPDH (relating to i) (n = 3). Circles: individual values, error bars: mean ± SEM (two-tailed t-tests, P values left to right: 0.0357, 0.7868, 0.1862 and 0.0498 (ns > 0.05, *<0.05, **<0.01, ***<0.001)). k Representative images showing the co-localisation of FLAG-TRIM49 or -TRIM51 (magenta) with endogenous LC3 (green) in U2OS cells (n = 3). Scale bars: 10 μm. l Quantification of percentage (%) of LC3 puncta that co-localise with either TRIM49 or TRIM51. Circles represent the proportion of LC3/TRIM co-localisation per cell (n = 3 independent experiments), error bars: mean ± SEM. Source data are provided as a Source Data file.