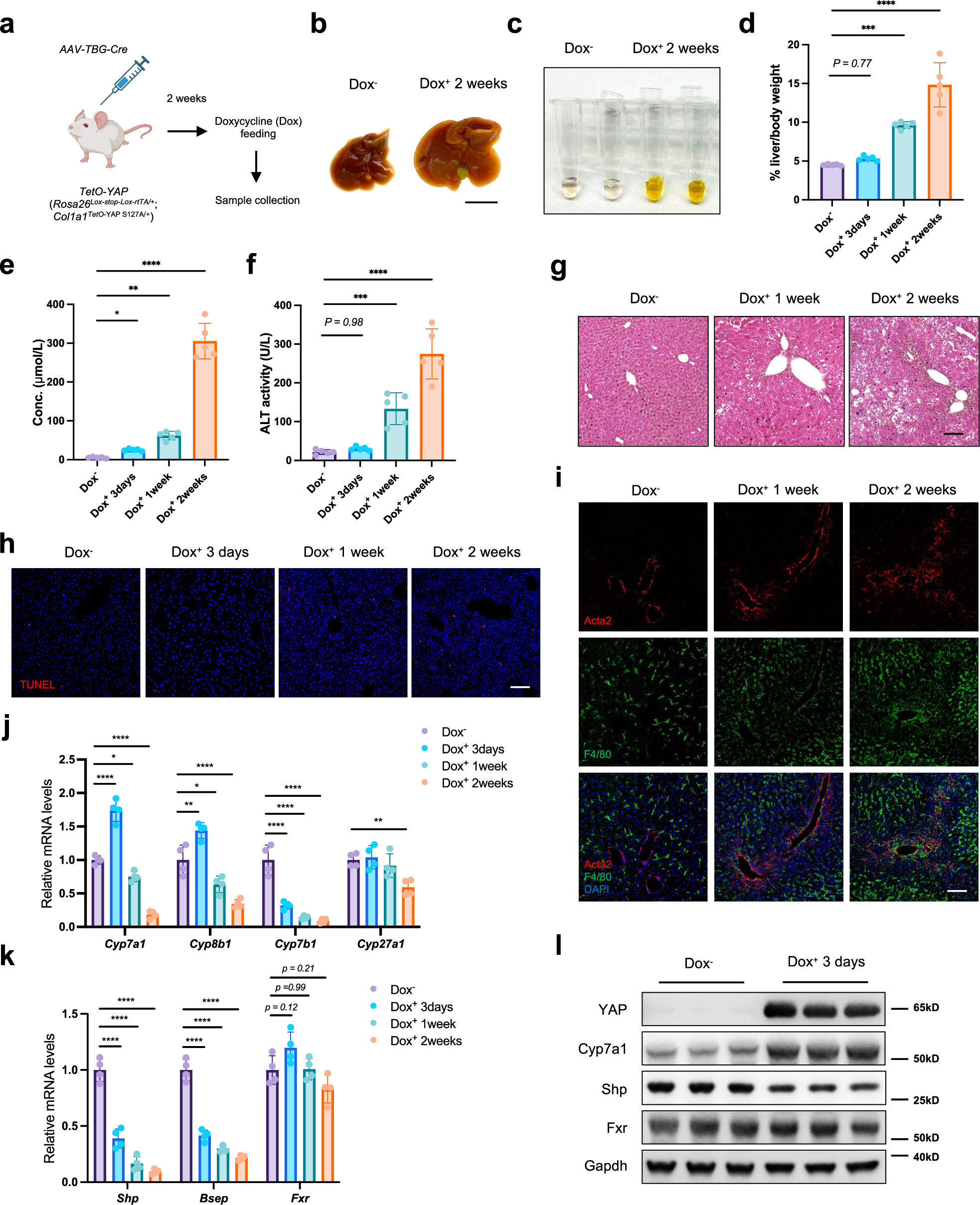
Fig. 1: YAP activation in hepatocytes induces severe cholestasis.

a Schematic diagram of the experimental procedure. YAP activation in hepatocytes is induced by AAV-TBG-Cre followed by doxycycline (Dox) water feeding. b Representative images of livers from the indicated mice. c Serum from the indicated mice. d Liver/body-weight ratios, ***P = 0.0001, ****P < 0.0001. e Serum BA concentration, *P = 0.049, **P = 0.0046, ****P < 0.0001. f Serum ALT, ***P = 0.0009, ****P < 0.0001. g Representative images of liver sections stained by H&E. h Representative images of TUNEL staining of liver samples. i Representative immunofluorescent images of liver samples. j, k qRT-PCR analysis of indicated genes in liver tissue. ****P < 0.0001, *P = 0.013 (j, Cyp7a1); **P = 0.003, *P = 0.011, ****P < 0.0001 (j, Cyp8b1); ****P < 0.0001 (j, Cyp7b1); **P = 0.006 (j, Cyp27a1); ****P < 0.0001 (k, Shp); ****P < 0.0001 (k, Bsep). l Western blotting analysis of liver tissue. Scale bars: 1 cm (b), 100 μm (g–i). n = 5 biological replicates in each group (d–f), n = 4 biological replicates in each group (j, k). Data are presented as Mean ± SD, P-values were determined by 1-way ANOVA with Sidak’s test (d–f, j, k). Similar results were obtained from three independent experiments (g–i, l). Source data are provided as a Source Data file. Image in (a) was created in BioRender (Jin, Y. (2025) https://BioRender.com/h79u623).