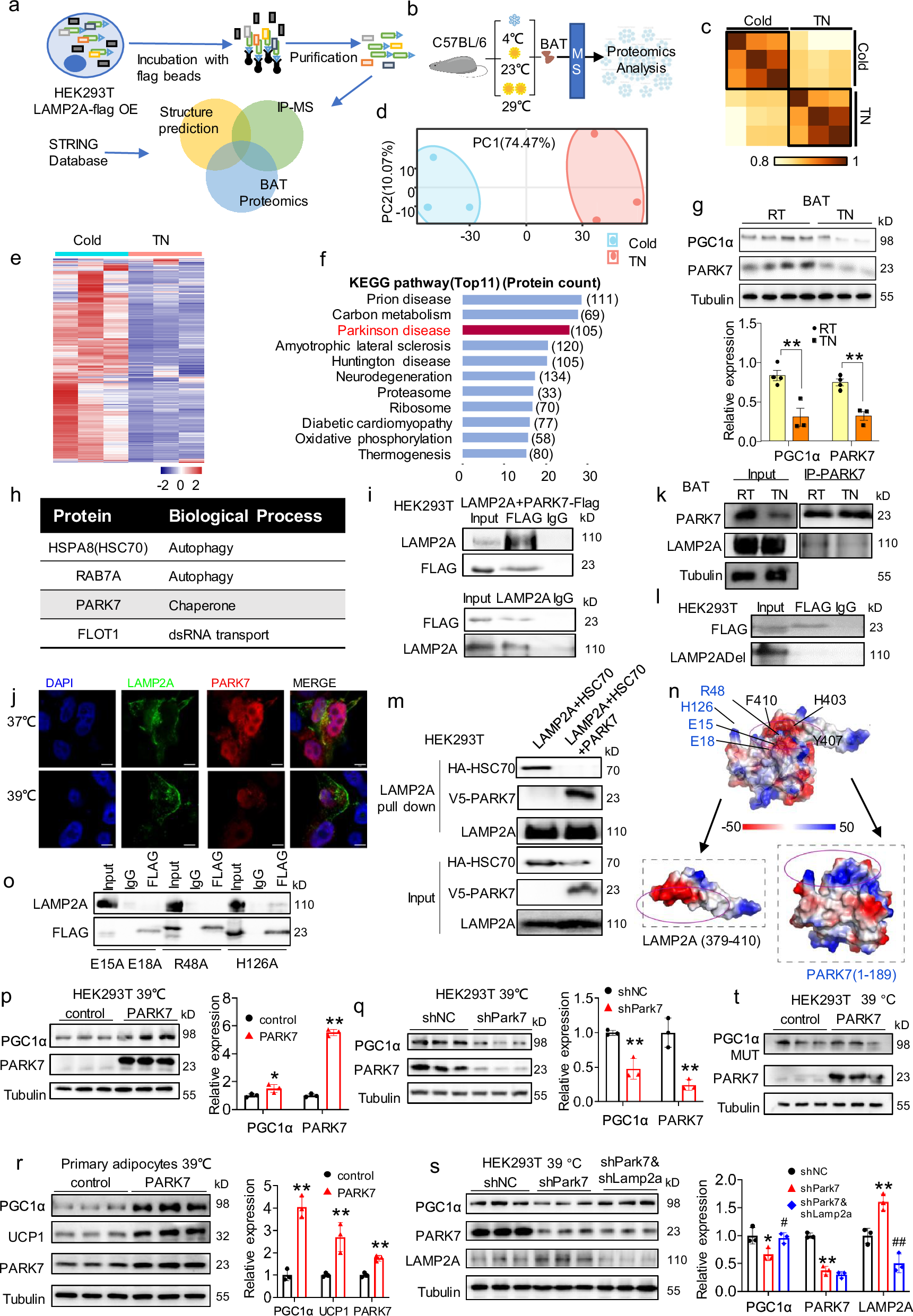
Fig. 3: PARK7 interacts with LAMP2A and regulates PGC1α degradation.

a The schematic of Co-IP mass spectrum, protein interaction prediction and brown adipose tissue (BAT) proteomics. b The schematic of proteomics. c Principal-component analysis of the BAT proteomics dataset. d Similarity matrix showing Spearman correlations for proteomics dataset profiles. Spearman correlation coefficient r is represented in color as indicated. e Heatmap of BAT proteomics data detected in cold and warm conditions. f KEGG pathway analysis of significantly different BAT proteins in cold condition vs warm condition. g Immunoblotting for PARK7, PGC1α protein levels in BAT from mice housed at room temperature (RT, 23 °C) or thermoneutrality (TN, 29 °C) and quantification (bottom) (representative of n = 3 independent experiments). h Overlapping the data from Co-IP mass spectrum and protein interaction prediction. i Co-IP analysis of FLAG and LAMP2A in HEK293T cells co-expressing Flag-Park7 and Lamp2a. j Colocalization analysis of PARK7 and LAMP2A at 37 °C and 39 °C in HEK293T cells. Scale bar, 5 µm. k Endogenous Co-IP analysis of PARK7 and LAMP2A in BAT from mice housed at RT and TN. l Co-IP analysis of FLAG and LAMP2A in HEK293T cells co-expressing Flag-Park7 and Lamp2aDel. m Co-IP analysis of the competitive combination of PARK7 and LAMP2A with HSC70 in HEK293T cells co-expressing Lamp2a and HA-Flag-Hsc70 with or without V5- Park7. n 3D structure prediction of mouse protein interaction between LAMP2A and PARK7. o Co-IP assays of PARK7 mutants R48A, E15AE18A, H126A and LAMP2A in HEK293T cells co-expressing Flag-Park7 mutants and Lamp2a. p, q Immunoblotting for PARK7 and PGC1α protein levels in HEK293T cells with overexpression or knockdown of Park7 in 39 °C for 24 h (representative of n = 3 independent experiments). r Immunoblotting for PARK7, PGC1α and UCP1 protein levels in primary brown adipocytes with overexpression of Park7 (representative of n = 3 independent experiments). s Immunoblotting for PGC1α, PARK7 and LAMP2A protein levels in HEK293T cells knockdown of Park7 and Lamp2a in 39 °C for 24 h (representative of n = 3 independent experiments). t Immunoblotting for PGC1α and PARK7 protein levels in HEK293T cells co-expressing PARK7 and PGC1α -MUT in 39 °C for 24 h (representative of n = 3 independent experiments). Statistical significance was assessed by unpaired Student’s t-test. All results were expressed as means ± SEM and **p < 0.01. Student’s two-tailed unpaired T-test for 2-group comparisons. Source data are provided as a Source Data file. Figures a, b were created using PowerPoint.