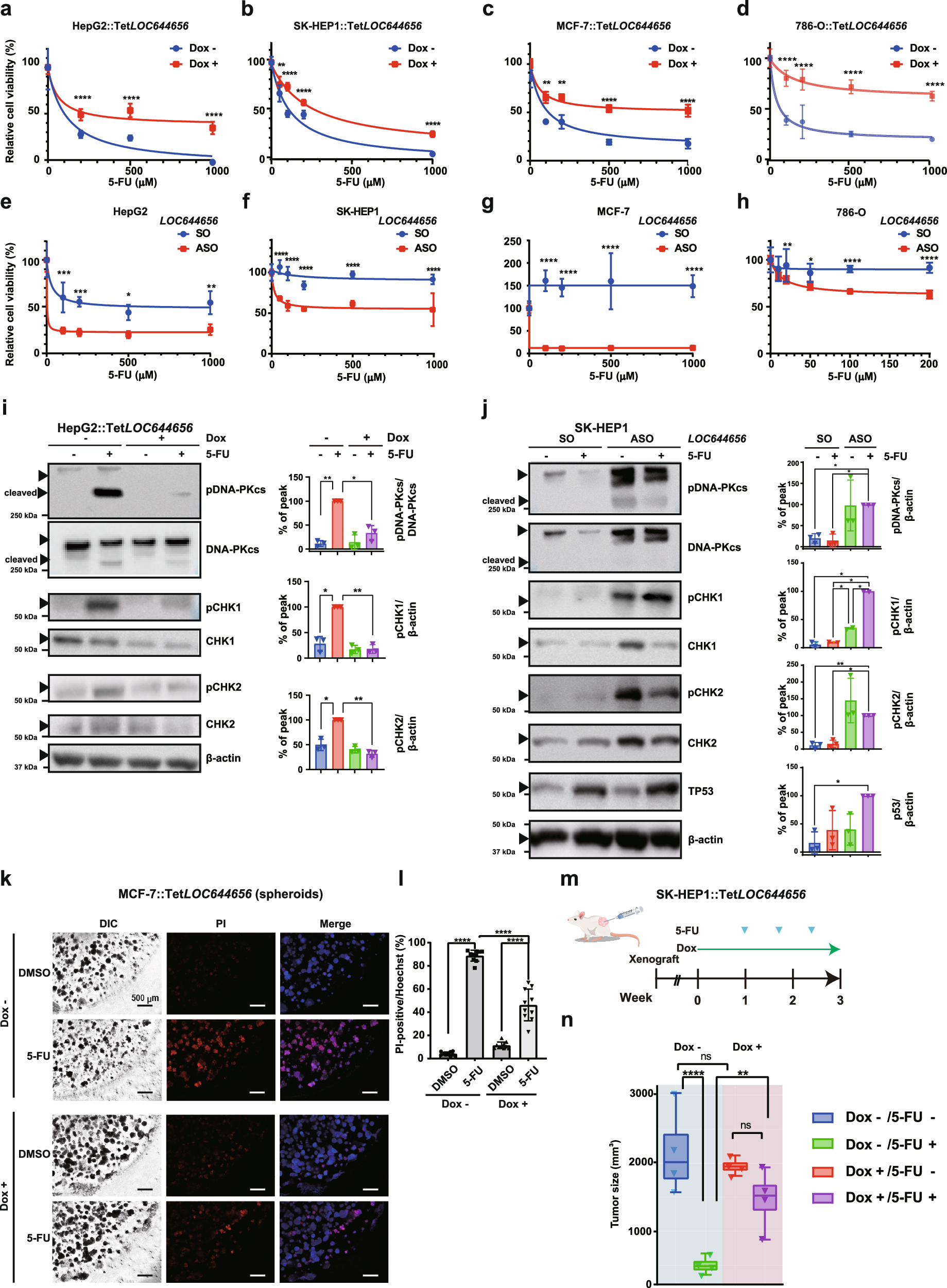
Fig. 7: LOC644656 expression prevents genotoxic stress-induced death of cancer cells.

a–d Cell viability (CCK-8) assays for HepG2::TetLOC644656 (a), SK-HEP1::TetLOC644656 (b), MCF-7::TetLOC644656 (c), and 786-O::TetLOC644656 (d) cells ± Dox for 1 day, followed by 5-FU treatment for 24–72 h. Data are mean ± SEM (n = 3). Statistical analysis by two-sided two-way ANOVA with Tukey’s post hoc test. e–h Dose-response curves for HepG2 (e), SK-HEP1 (f), MCF-7 (g), and 786-O (h) cells transfected with LOC644656 sense oligonucleotides (SO) or antisense oligonucleotides (ASO) for 48 h, then treated with 5-FU for 24 h. Data are mean ± SEM (n = 3). Statistical analysis by two-sided two-way ANOVA with Tukey’s post hoc test. i, Immunoblot analysis of DNA damage response proteins in HepG2::TetLOC644656 cells ± Dox, then 5-FU. Data are mean ± SEM (n = 3). Statistical analysis by two-sided one-way ANOVA with Tukey’s post hoc test. The samples derive from the same experiment but different gels for each antibody were processed in parallel. Uncropped blots are provided in the Source Data file. j Immunoblot analysis of genotoxic stress-sensing proteins in SK-HEP1 cells transfected with SO or ASO for 48 h, then 5-FU for 12 h. Data are mean ± SEM (n = 3). Statistical analysis by two-sided one-way ANOVA with Tukey’s post hoc test. The samples derive from the same experiment but different gels for each antibody were processed in parallel. Uncropped blots are provided in the Source Data file. k, l 3D spheroid assay of MCF-7::TetLOC644656 cells ± Dox for 24 h, then 5-FU for 24 h. Spheroids were stained with propidium iodide (PI)/Hoechst. Data are mean ± SEM (n = 3). Statistical analysis by two-sided one-way ANOVA with Tukey’s post hoc test. m Schematic of the mouse xenograft experimental design. Cells were randomly allocated into four groups, and transplantation was independently performed by two investigators to minimize allocation bias. n Tumor size measurements in each treatment group. Data are mean ± SEM (n = 3). Statistical analysis by two-sided one-way ANOVA with Tukey’s post hoc test. Exact p-values and 95% confidence intervals: Panels a–d (viability assays): Panel a (HepG2): 0 vs 200 μM: p < 0.0001, 95% CI [−31.34, −11.03]; 0 vs 500 μM: p < 0.0001, 95% CI [−39.94, −19.62]; 0 vs 1000 μM: p < 0.0001, 95% CI [−47.23, −26.91]. Panel b (SK-HEP1): 0 vs 50 μM: p = 0.0039, 95% CI [−15.63, −2.230]; 0 vs 100 μM: p < 0.0001, 95% CI [−34.60, −21.20]; 0 vs 200 μM: p < 0.0001, 95% CI [−19.27, −5.406]; 0 vs 1000 μM: p < 0.0001, 95% CI [−27.68, −13.35]. Panel c (MCF-7): 0 vs 100 μM: p = 0.0014, 95% CI [−28.93, −5.778]; 0 vs 200 μM: p = 0.0012, 95% CI [−29.14, −5.985]; 0 vs 500 μM: p < 0.0001, 95% CI [−42.49, −19.34]; 0 vs 1000 μM: p < 0.0001, 95% CI [−42.34, −19.19]. Panel d (786-O): 0 vs 100 μM: p < 0.0001, 95% CI [−53.90, −29.02]; 0 vs 200 μM: p < 0.0001, 95% CI [−54.24, −29.36]; 0 vs 500 μM: p < 0.0001, 95% CI [−59.06, −34.18]; 0 vs 1000 μM: p < 0.0001, 95% CI [−55.18, −30.30]. Panels e–h (ASO effects): Panel e (HepG2): 0 vs 100 μM: p = 0.0002, 95% CI [15.13, 55.41]; 0 vs 200 μM: p = 0.0005, 95% CI [12.64, 52.92]; 0 vs 500 μM: p = 0.0149, 95% CI [3.588, 43.87]; 0 vs 1000 μM: p = 0.0023, 95% CI [8.777, 49.06]. Panel f (SK-HEP1): 0 vs 50 μM: p < 0.0001, 95% CI [22.42, 54.76]; 0 vs 100 μM: p < 0.0001, 95% CI [23.37, 55.72]; 0 vs 200 μM: p < 0.0001, 95% CI [13.00, 45.35]; 0 vs 500 μM: p < 0.0001, 95% CI [20.24, 52.38]; 0 vs 1000 μM: p < 0.0001, 95% CI [21.00, 53.34]. Panel g (MCF-7): 0 vs 100 μM: p < 0.0001, 95% CI [102.6, 195.7]; 0 vs 200 μM: p < 0.0001, 95% CI [88.06, 181.1]; 0 vs 500 μM: p < 0.0001, 95% CI [101.2, 194.3]; 0 vs 1000 μM: p < 0.0001, 95% CI [89.61, 182.7]. Panel h (786-O): 0 vs 20 μM: p = 0.0038, 95% CI [3.730, 27.16]; 0 vs 50 μM: p = 0.0132, 95% CI [2.018, 25.45]; 0 vs 100 μM: p < 0.0001, 95% CI [12.09, 35.52]; 0 vs 200 μM: p < 0.0001, 95% CI [16.17, 41.21]. Panel i (protein ratios): pDNA-PKcs/DNA-PKcs: lane 1 vs lane 2: p = 0.0033, 95% CI [−1.124, −0.6438]; lane 2 vs lane 4: p = 0.0446, 95% CI [0.03890, 1.297]. pCHK1/β-actin: lane 1 vs lane 2: p = 0.032, 95% CI [−1.288, −0.1482]; lane 2 vs lane 4: p = 0.0092, 95% CI [0.4796, 1.159]. pCHK2/β-actin: lane 1 vs lane 2: p = 0.0419, 95% CI [−0.9614, −0.04393]; lane 2 vs lane 4: p = 0.0087, 95% CI [0.4070, 0.9570]. Panel j (ASO effects on signaling): pDNA-PKcs/β-actin: lane 1 vs lane 4: p = 0.0166, 95% CI [−1.256, −0.3476]; lane 2 vs lane 4: p = 0.0264, 95% CI [−1.466, −0.2393]. pCHK1/β-actin: lane 1 vs lane 4: p = 0.0407, 95% CI [−1.771, −0.1221]; lane 2 vs lane 3: p = 0.0423, 95% CI [−0.4667, −0.02649]; lane 2 vs lane 4: p = 0.0211, 95% CI [−0.9051, −0.8952]; lane 3 vs lane 4: p = 0.0211, 95% CI [−0.8687, −0.4384]. pCHK2/β-actin: lane 1 vs lane 4: p = 0.0082, 95% CI [−1.233, −0.5412]; lane 2 vs lane 4: p = 0.0139, 95% CI [−1.282, −0.4078]. p53/β-actin: lane 1 vs lane 4: p = 0.044, 95% CI [−1.620, −0.05384]. Panel l (3D spheroid): DMSO Dox - vs 5-FU Dox -: p < 0.0001, 95% CI [−92.97, −75.85]; 5-FU Dox - vs 5-FU Dox +: p < 0.0001, 95% CI [33.64, 51.16]; DMSO Dox + vs 5-FU Dox +: p < 0.0001, 95% CI [−43.36, −25.84]. Panel n (xenograft): Dox - /5-FU - vs Dox -/5-FU +: p < 0.0001, 95% CI [1024, 2292]; Dox - /5-FU + vs Dox +/5-FU +: p = 0.0017, 95% CI [−1601, −332.8].