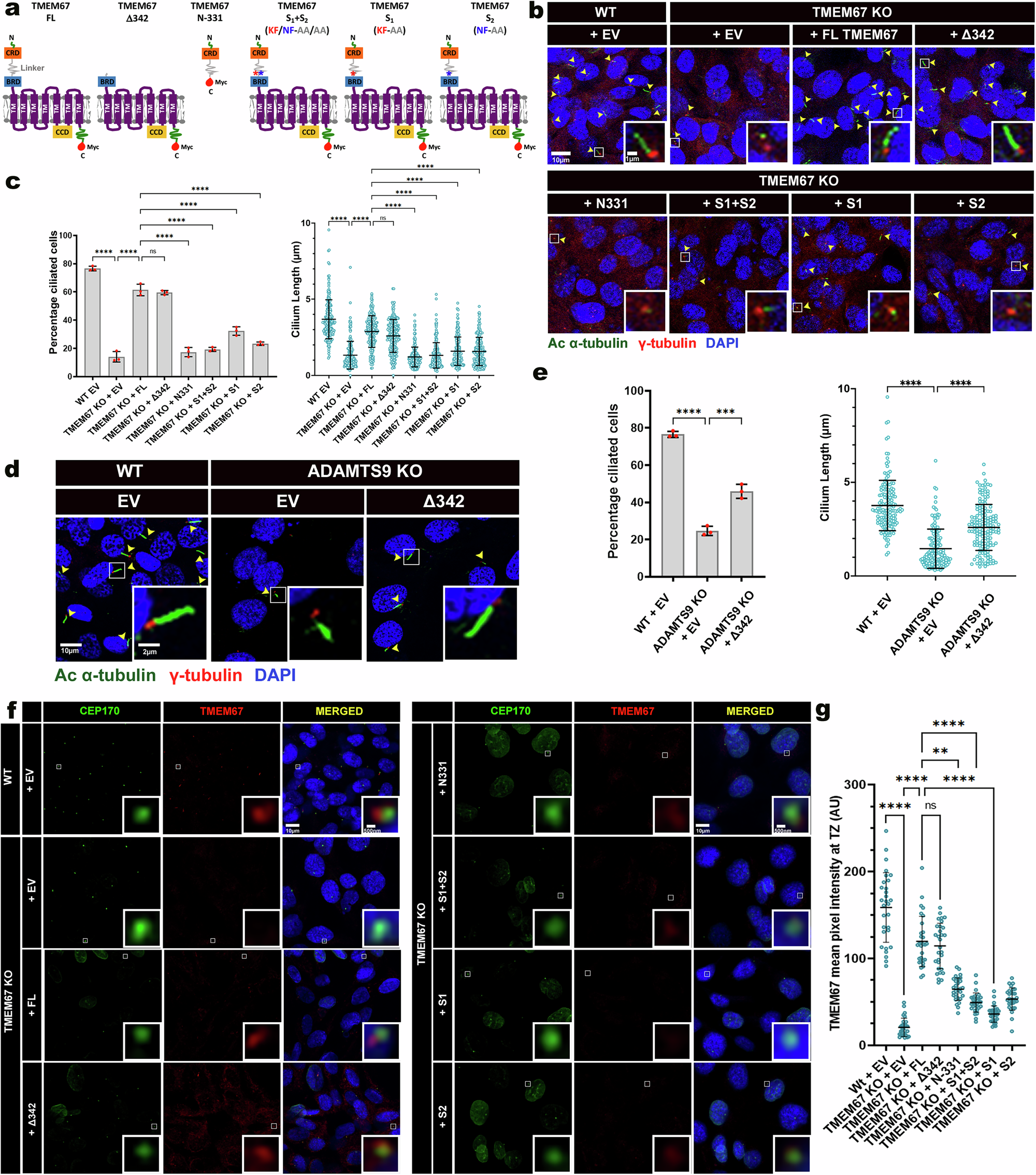
Fig. 2: ADAMTS9-mediated TMEM67 cleavage is required for ciliogenesis and TMEM67 TZ localization.

a TMEM67 constructs generated encoding full-length TMEM67 (FL), the C-terminal cleavage product (Δ342), N-terminal cleavage product (N-331), dual cleavage mutant (S1 + S2), individual mutation of cleavage site-1 (S1) and cleavage site-2 (S2) alone. A signal peptide sequence was added at the N-terminus of the TMEM67 Δ342 construct, not indicated in the illustration. b, c Wt or TMEM67 KO RPE-1 cells transfected with the indicated TMEM67 constructs showing primary cilia (yellow arrowheads) by acetylated α-tubulin (green) and γ-tubulin (red) staining (EV empty vector). Percentage of ciliated cells (n = 100) and cilium length (n = 150) quantification from 3 independent experiments are shown in (c). One-way ANOVA + Sidak’s multiple comparison test was used for the percentage of ciliated cells. **** indicates a p-value <0.0001; Kruskal–Wallis test + Dunn’s multiple comparison test used for cilium length. **** indicates a p-value <0.0001. Error bars indicate Mean ± S.D. d, e TMEM67 Δ342 transfection partially rescues ciliogenesis and cilium length of ADAMTS9 KO RPE-1 cells. Yellow arrowheads indicate primary cilia, acetylated α-tubulin (green), and γ-tubulin (red). Percentage of ciliated cells (n = 100) and cilium length quantification (n = 150) from 3 independent experiments are shown in (e). **** indicates a p-value <0.0001, ***<0.001 (p = 0.0002) in one-way ANOVA + Tukey’s multiple comparison test in percentage ciliated cell quantification, and **** indicates a p-value <0.0001 in Kruskal–Wallis test + Sidak’s multiple comparison test for cilium length. Error bars indicate Mean ± S.D. f, g TMEM67 commercial antibody (red) and CEP170 (green) immunostaining in Wt and TMEM67 KO cells transfected with indicated TMEM67 constructs (g). n = 30 cells for each group. Data from a single representative experiment from 3 independent experiments are shown. **** indicates a p-value <0.0001, **<0.01 (p = 0.0016) in two-sided Kruskal–Wallis test + Dunn’s multiple comparison test for statistical significance. Error bars indicate Mean ± S.D. Scale bars in (b, d, and f) are 10 μm and 1 μm in (b) insert, 2 μm in (d) insert, and 500 nm in (f) insert.