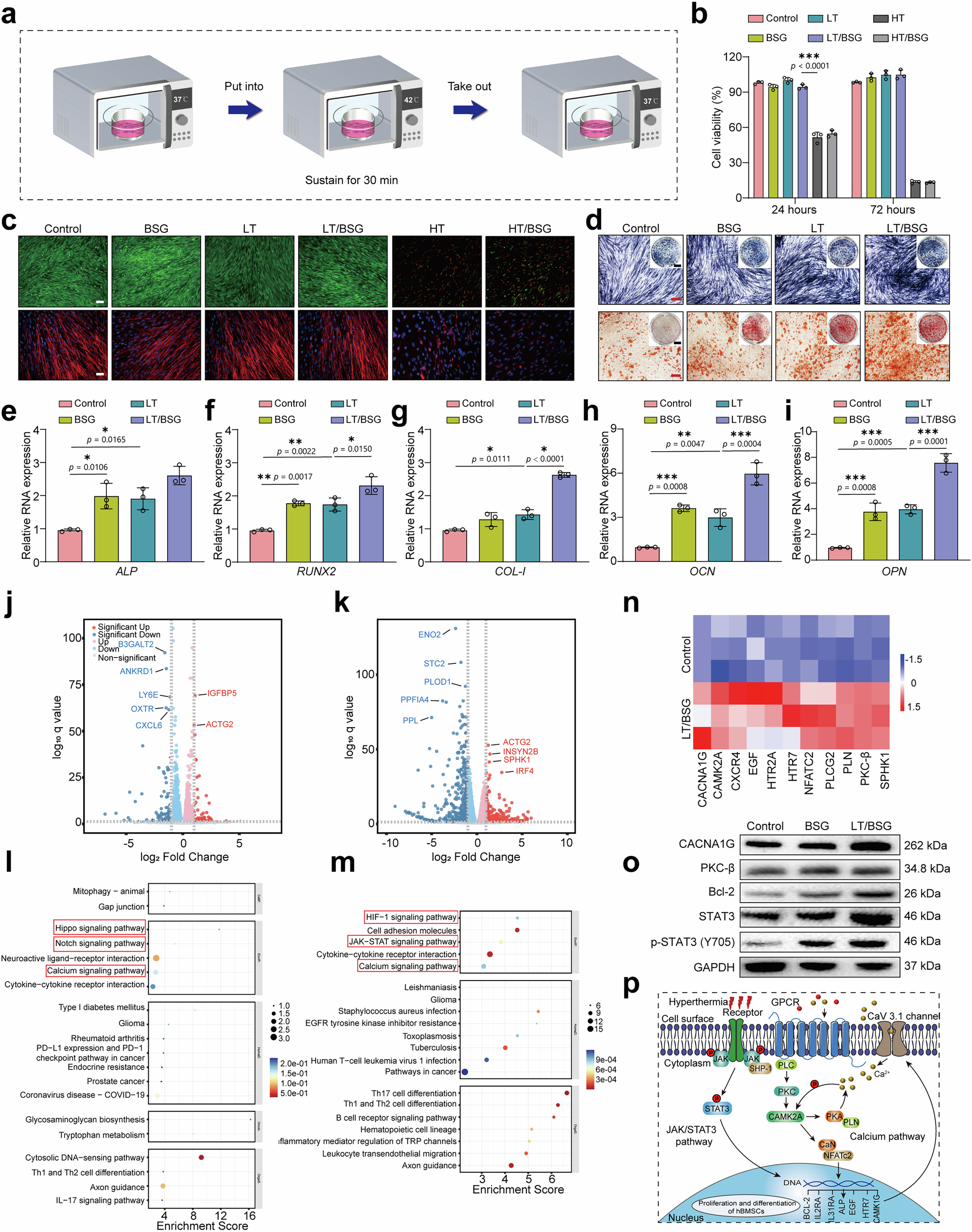
Fig. 7: In vitro osteogenic inductive activity of MH, BSG, and their combination, along with the associated biomolecular mechanisms.

a Schematic diagram of osteogenic inductive experiments conducted under hyperthermia in vitro. b Cytotoxicity of hBMSCs after culture with groups of BSG (37 °C), low temperature (LT)/BSG (42 °C), and high temperature (HT)/BSG (45 °C) for 24 h and 72 h, respectively; and hBMSCs cultured with regulated media at temperatures of 37 °C (control), 42 °C (LT), and 45 °C (HT) serving as the control groups. c Live/dead and cytoskeleton staining of hBMSCs after culturing for 24 h (scale bar = 500 μm). d ALP staining of hBMSCs (upper row) after culturing for 7 days, and ARS of hBMSCs (bottom row) after culturing for 14 days (black bar = 5 mm; red bar = 500 μm). e–g Expression of early osteogenic-related genes (ALP, RUNX2, and COL-1) in hBMSCs after culturing for 7 days. h, i Expression of middle to late osteogenic-related genes (OCN and OPN) in hBMSCs after culturing for 14 days. j Volcano plot showing DEGs of hBMSCs with a culture time of 7 days between the BSG group and the blank control group. k Volcano plot showing DEGs of hBMSCs between the LT/BSG group and the blank control group. l Alterations in upregulated signaling pathways for hBMSCs between the BSG group and the blank control group, as assayed by KEGG analysis. m Changes in upregulated signaling pathways for hBMSCs between the LT/BSG group and the blank control group, as assayed by KEGG analysis. n Heatmap of DEGs of hBMSCs in the calcium and JAK-STAT3 signaling pathways between the LT/BSG and the blank control groups. o Protein expression of hBMSCs in the calcium and JAK-STAT3 signaling pathways after culturing for 7 days analyzed by Western Blot. p Mechanism diagram illustrating the effect of the IMBSs therapy on hBMSCs. Statistical data in b, e–i, n are presented as means ± SD, n = 3 independent experiments; Statistical significance in b, e–i was calculated using two-way ANOVA method with Tukey’s multiple comparisons tests. *P < 0.05, **P < 0.01 and ***P < 0.001 were considered statistically significant, while nsP > 0.05 were considered not statistically significant.